Skip to Content
Merck
CN

ZRB1310

Anti-GluR1 Antibody, clone 1C11, ZooMAb® Rabbit Monoclonal

greener alternative

recombinant, expressed in HEK 293 cells

Synonym(s):

AMPA-selective glutamate receptor 1, GluA1, GluR-A, GluR-K1, Glutamate receptor 1, Glutamate receptor ionotropic AMPA 1

Sign In to View Organizational & Contract Pricing.

Select a Size

Change View

About This Item

NACRES:
NA.41
UNSPSC Code:
12352203
Conjugate:
unconjugated
Clone:
1C11, monoclonal, recombinant monoclonal
Application:
ICC, IF, IHC (p), WB
Citations:
-
Technical Service
Need help? Our team of experienced scientists is here for you.
Let Us Assist


biological source

rabbit (recombinant)

Quality Level

recombinant

expressed in HEK 293 cells

conjugate

unconjugated

antibody form

purified antibody

antibody product type

primary antibodies

clone

1C11, monoclonal, recombinant monoclonal

product line

ZooMAb® learn more

form

lyophilized

mol wt

calculated mol wt ~101.51 kDa, observed mol wt ~101 kDa

species reactivity

human, mouse, rat

packaging

antibody small pack of 25 μL

greener alternative product characteristics

Waste Prevention
Designing Safer Chemicals
Design for Energy Efficiency
Learn more about the Principles of Green Chemistry.

enhanced validation

recombinant expression
Learn more about Antibody Enhanced Validation

sustainability

Greener Alternative Product

technique(s)

immunocytochemistry: suitable, immunofluorescence: suitable, immunohistochemistry (formalin-fixed, paraffin-embedded sections): suitable, western blot: suitable

isotype

IgG

UniProt accession no.

greener alternative category

shipped in

ambient

storage temp.

2-8°C

target post-translational modification

unmodified

Gene Information

human ... GRIA1(2890)
mouse ... Gria1(14799)
rat ... Gria1(50592)

General description

Glutamate receptor 1 (UniProt: P42261; also known as GluR-1, AMPA-selective glutamate receptor 1, GluR-A, GluR-K1, Glutamate receptor ionotropic-AMPA 1, GluA1) is encoded by the GRIA1 (also known as GLUH1, GLUR1) gene (Gene ID: 2890) in human. Four different AMPA receptors have been described and are designated as GluR1, GluR2, GluR3, and GluR4. These receptors mediate fast excitatory neurotransmission in the brain and are involved in multiple brain functions, including cognition, movement, learning, and memory. Each of the AMPA receptor subunit can exist in either ′flip′ or ′flop′ form and the efficacy of glutamate is believed to be higher at the ′flip′ form. These receptors contain four sites where an agonist can bind. The binding site is formed by the N-terminal tail and the extracellular loop between transmembrane domains three and four. Upon agonist binding, these two loops move towards each other, which opens the pore. GluR-1 is a multi-pass membrane protein that is synthesized with a signal peptide (aa 1-18), which is subsequently cleaved off. It is widely expressed throughout the nervous system and can exist in homotetrameric or heterotetrameric form. Tetramers may be formed by the dimerization of dimers. GluR-1 has several phosphorylation sites on the intracellular carboxy terminus. Many of these sites play a role in receptor regulation and synaptic plasticity. This ZooMAb recombinant monoclonal antibody, generated by our propriety technology, offers significantly enhanced specificity, affinity, reproducibility, and stability over conventional monoclonals. (Ref.: Lee, HK., et al. (2010). J. Physiol. 103(1); 479-489).
We are committed to bringing you greener alternative products, which adhere to one or more of The 12 Principles of Green Chemistry.This antibody is Preservative-free, produced without the harm or sacrifice of animals and exceptionally stable to allow for ambient shipping and storage if needed and thus aligns with "Waste Prevention", "Designing Safer Chemicals" and "Design for Energy Efficiency". Click here for more information.
ZooMAb antibodies represent an entirely new generation of recombinant monoclonal antibodies.

Each ZooMAb antibody is manufactured using our proprietary recombinant expression system, purified to homogeneity, and precisely dispensed to produce robust and highly reproducible lot-to-lot consistency. Only top-performing clones are released for use by researchers. Each antibody is validated for high specificity and affinity across multiple applications, including its most commonly used application. ZooMAb antibodies are reliably available and ready to ship when you need them.

Learn more about ZooMAb here.

Immunogen

KLH-conjugated linear peptide corresponding to 13 amino acids from the C-terminal region of human Glutamate receptor 1 (GluR1).

Application

Anti-GluR1, clone 1C11 ZooMAb, Cat. No. ZRB1310, is a recombinant rabbit monoclonal antibody that detects Glutamate Receptor 1 and has been tested for use in Immunocytochemistry, Immunofluorescence, Immunohistochemistry (Paraffin), and Western Blotting.
Western Blotting Analysis: A 1:1,000 dilution from a representative lot detected GluR1 in human and mouse brain tissue lysate.

Immunocytochemistry Analysis: A 1:100 dilution from a representative lot detected GluR1 in E18 rat cortical cells.

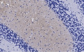
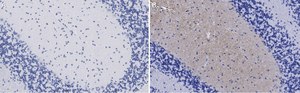
Immunohistochemistry (Paraffin) Analysis: A 1:100 dilution from a representative lot detected GluR1 in rat brain tissue sections.

Immunofluorescence Analysis: A 1:100 dilution from a representative lot detected GluR1 in rat brain frozen tissue sections.

Note: Actual optimal working dilutions must be determined by end user as specimens, and experimental conditions may vary with the end user.

Biochem/physiol Actions

Clone 1C11 is a ZooMAb rabbit recombinant monoclonal antibody that specifically detects Glutamate Receptor 1. it targets an epitope within 13 amino acids from the C-terminal, cytoplasmic domain.

Physical form

Purified recombinant rabbit monoclonal antibody IgG, lyophilized in PBS with 5% Trehalose, normal appearance a coarse or translucent resin. Contains no biocide or preservatives, such as azide, or any animal by-products. Larger pack sizes provided as multiples of 25 μL.

Preparation Note

Recommend storage of lyophilized product at 2-8°C; Before reconstitution, micro-centrifuge vials briefly to spin down material to bottom of the vial; Reconstitute each vial by adding 25 μL of filtered lab grade water or PBS; Reconstituted antibodies can be stored at 2-8°C, or -20°C for long term storage. Avoid repeated freeze-thaws.
Reconstitute lyophilized antibody pellet with 25μL of ultrapure water or Phosphate Buffered Saline (PBS). Please refer to our reconstitution protocol and the specific application guidance on the suggested starting dilutions and sample type.

Legal Information

ZooMAb is a registered trademark of Merck KGaA, Darmstadt, Germany

Disclaimer

Unless otherwise stated in our catalog or other company documentation accompanying the product(s), our products are intended for research use only and are not to be used for any other purpose, which includes but is not limited to, unauthorized commercial uses, in vitro diagnostic uses, ex vivo or in vivo therapeutic uses or any type of consumption or application to humans or animals.


Still not finding the right product?

Try our Product Selector Tool to narrow your options


Storage Class

11 - Combustible Solids

wgk

WGK 2

flash_point_f

Not applicable

flash_point_c

Not applicable

Regulatory Information

常规特殊物品
常规特殊物品

This item has



Choose from one of the most recent versions:

Certificates of Analysis (COA)

Lot/Batch Number

Don't see the Right Version?

If you require a particular version, you can look up a specific certificate by the Lot or Batch number.

Already Own This Product?

Find documentation for the products that you have recently purchased in the Document Library.

Visit the Document Library



Global Trade Item Number

SKUGTIN
ZRB1310-25UL04061841221302
ZRB1310-4X25UL04061841221319