Skip to Content
Merck
CN

ZRB1321

Anti-FGF-2/basic FGF Antibody, clone 1K19 ZooMAb® Rabbit Monoclonal

greener alternative

recombinant, expressed in HEK 293 cells

Sign In to View Organizational & Contract Pricing.

Select a Size

Change View

About This Item

NACRES:
NA.43
UNSPSC Code:
12352203
Conjugate:
unconjugated
Clone:
1K19, recombinant monoclonal
Application:
IHC (p), WB, affinity binding assay
Citations:
-
Technical Service
Need help? Our team of experienced scientists is here for you.
Let Us Assist


biological source

rabbit

Quality Level

recombinant

expressed in HEK 293 cells

conjugate

unconjugated

antibody form

purified antibody

antibody product type

primary antibodies

clone

1K19, recombinant monoclonal

description

recombinant, expressed in HEK 293 cells

product line

ZooMAb® learn more

form

lyophilized

mol wt

calculated mol wt 17.25 to 30.77 kDa, observed mol wt ~20 and 25 kDa

species reactivity

human

packaging

antibody small pack of 25 μL

greener alternative product characteristics

Waste Prevention
Designing Safer Chemicals
Design for Energy Efficiency
Learn more about the Principles of Green Chemistry.

enhanced validation

recombinant expression
Learn more about Antibody Enhanced Validation

sustainability

Greener Alternative Product

technique(s)

affinity binding assay: suitable, immunohistochemistry (formalin-fixed, paraffin-embedded sections): suitable, western blot: suitable

isotype

IgG

epitope sequence

C-terminal half

Protein ID accession no.

UniProt accession no.

greener alternative category

shipped in

ambient

storage temp.

2-8°C

target post-translational modification

unmodified

General description

Fibroblast growth factor 2 (UniProt: P09038; also known as FGF-2, Basic fibroblast growth factor, bFGF, Heparin-binding growth factor 2, HBGF-2) is encoded by the FGF2 (also known as FGFB) gene (Gene ID: 2247) in human. Fibroblast growth factors (FGFs) are secreted glycoproteins that regulate several fundamental developmental pathways and help regulate mesoderm patterning in the early embryonic development. In adults, FGFs participate in several physiological and pathological processes, including cell proliferation, cell survival, differentiation, wound healing, and regulation of angiogenesis. FGF-2 is synthesized with a propeptide (aa 1-142) that is subsequently cleaved off to generate the mature active growth factor that can act as a monomer or a homodimer to act as a ligand for FGFR1, FGFR2, FGFR3, and FGFR4. Following its synthesis, it is exported from cells by an endoplasmic reticulum (ER)/Golgi-independent mechanism. Unconventional secretion of FGF-2 occurs by direct translocation across the plasma membrane. It is shown that binding of exogenous FGF-2 to FGF receptors facilitates endocytosis followed by translocation of FGF-2 across endosomal membrane into the cytosol. Its import into nucleus requires the classical nuclear import machinery, involving Karyopherin a1 and b1 and the centrosomal protein 57 (CEP57). FGF-2 expression is observed in granulosa and cumulus cells. It is also expressed in hepatocellular carcinoma cells, but not in non-cancerous liver tissue. FGF-2 is also reported to act as an integrin ligand and binds to integrin aV:b3. This ZooMAb® recombinant monoclonal antibody, generated by our propriety technology, offers significantly enhanced specificity, affinity, reproducibility, and stability over conventional monoclonals. (Ref.: Mori, S., et al. (2017). Biosci. Rep. 37(2); BSR20170173; Zhen, Y., et al. (2012). Traffic. 13(5); 650-654; Ornitz, DM et al. (1996). J. Biol. Chem. 271(25); 15292-15297).
We are committed to bringing you greener alternative products, which adhere to one or more of The 12 Principles of Green Chemistry.This antibody is Preservative-free, produced without the harm or sacrifice of animals and exceptionally stable to allow for ambient shipping and storage if needed and thus aligns with "Waste Prevention", "Designing Safer Chemicals" and "Design for Energy Efficiency". Click here for more information.
ZooMAb® antibodies represent an entirely new generation of recombinant monoclonal antibodies.

Each ZooMAb® antibody is manufactured using our proprietary recombinant expression system, purified to homogeneity, and precisely dispensed to produce robust and highly reproducible lot-to-lot consistency. Only top-performing clones are released for use by researchers. Each antibody is validated for high specificity and affinity across multiple applications, including its most commonly used application. ZooMAb® antibodies are reliably available and ready to ship when you need them.

Learn more about ZooMAb here.

Immunogen

His-tagged recombinant fragment corresponding to 146 amino acids from the C-terminal half of human Fibroblast growth factor 2 (FGF-2).

Application

Quality Control Testing

Evaluated by Western Blotting in SKOV3 cell lysate.

Western Blotting Analysis: A 1:10,000 dilution of this antibody detected FGF-2/basic FGF in SKOV3 cell lysate.

Tested applications

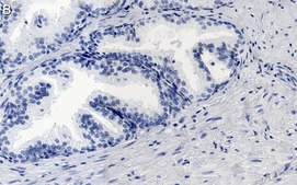
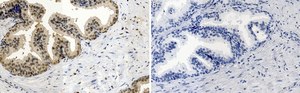
Immunohistochemistry (Paraffin) Analysis: A 1:100 dilution from a representative lot detected FGF-2/basic FGF in human prostate tissue sections.

Affinity Binding Assay: A representative lot of this antibody bound FGF-2/basic FGF with a KD of 1.0 x 10-12 in an affinity binding assay.

Note: Actual optimal working dilutions must be determined by end user as specimens, and experimental conditions may vary with the end user
Anti-FGF-2/basic FGF, clone 1K19 ZooMAb®, Cat. No. ZRB1321, is a recombinant Rabbit monoclonal antibody that specifically detects FGF-2/basic FGF and is tested for use in is used in Affinity Binding Assay, Immunohistochemistry (Paraffin), and Western Blo

Biochem/physiol Actions

Clone 1K19 is a ZooMAb® rabbit recombinant monoclonal antibody that specifically detects Fibroblast growth factor 2 (FGF-2). It targets an epitope within the C-terminal half and can detect multiple isoforms.

Physical form

Purified recombinant rabbit monoclonal antibody IgG, lyophilized in PBS, 5% Trehalose, normal appearance a coarse or translucent resin. The PBS/trehalose components in the ZooMAb formulation can have the appearance of a semi-solid (bead like gel) after lyophilization. This is a normal phenomenon. Please follow the recommended reconstitution procedure in the data sheet to dissolve the semi-solid, bead-like, gel-appearing material. The resulting antibody solution is completely stable and functional as proven by full functional testing. Contains no biocide or preservatives, such as azide, or any animal by-products. Larger pack sizes provided as multiples of 25 μL.

Preparation Note

Recommend storage of lyophilized product at 2-8°C; Before reconstitution, micro-centrifuge vials briefly to spin down material to bottom of the vial; Reconstitute each vial by adding 25 μL of filtered lab grade water or PBS; Reconstituted antibodies can be stored at 2-8°C, or -20°C for long term storage. Avoid repeated freeze-thaws.
Reconstitute lyophilized antibody pellet with 25μL ofultrapure water or Phosphate Buffered Saline (PBS). Please refer to our reconstitutionprotocol and the specific application guidance on the suggestedstarting dilutions and sample type.

Legal Information

ZooMAb is a registered trademark of Merck KGaA, Darmstadt, Germany

Disclaimer

Unless otherwise stated in our catalog or other company documentation accompanying the product(s), our products are intended for research use only and are not to be used for any other purpose, which includes but is not limited to, unauthorized commercial uses, in vitro diagnostic uses, ex vivo or in vivo therapeutic uses or any type of consumption or application to humans or animals.


Still not finding the right product?

Try our Product Selector Tool to narrow your options


Storage Class

11 - Combustible Solids

wgk

WGK 1

flash_point_f

Not applicable

flash_point_c

Not applicable

Regulatory Information

常规特殊物品

This item has



Choose from one of the most recent versions:

Certificates of Analysis (COA)

Lot/Batch Number

Don't see the Right Version?

If you require a particular version, you can look up a specific certificate by the Lot or Batch number.

Already Own This Product?

Find documentation for the products that you have recently purchased in the Document Library.

Visit the Document Library


Articles

Learn about the hallmarks of cancer and find reliable ZooMAb® recombinant antibodies to study them, conveniently organized by cancer hallmark.





Global Trade Item Number

SKUGTIN
ZRB1321-25UL04065266125726
ZRB1321-4X25UL04065266125733