Skip to Content
Merck
CN

ZRB1328

Anti-Dopamine β Hydroxylase Antibody, clone 2B11 ZooMAb® Rabbit Monoclonal

greener alternative

recombinant, expressed in HEK 293 cells

Sign In to View Organizational & Contract Pricing.

Select a Size

Change View

About This Item

NACRES:
NA.43
UNSPSC Code:
12352203
Conjugate:
unconjugated
Clone:
2B11, recombinant monoclonal
Application:
ICC, IHC (p), WB, affinity binding assay
Citations:
-
Technical Service
Need help? Our team of experienced scientists is here for you.
Let Us Assist


biological source

rabbit

Quality Level

recombinant

expressed in HEK 293 cells

conjugate

unconjugated

antibody form

purified antibody

antibody product type

primary antibodies

clone

2B11, recombinant monoclonal

description

recombinant, expressed in HEK 293 cells

product line

ZooMAb® learn more

form

lyophilized

mol wt

calculated mol wt 69.07 kDa, observed mol wt ~75 kDa

species reactivity

rat, human, mouse

packaging

antibody small pack of 25 μL

greener alternative product characteristics

Waste Prevention
Designing Safer Chemicals
Design for Energy Efficiency
Learn more about the Principles of Green Chemistry.

enhanced validation

recombinant expression
Learn more about Antibody Enhanced Validation

sustainability

Greener Alternative Product

technique(s)

affinity binding assay: suitable, immunocytochemistry: suitable, immunohistochemistry (formalin-fixed, paraffin-embedded sections): suitable, western blot: suitable

isotype

IgG

epitope sequence

N-terminus

Protein ID accession no.

UniProt accession no.

greener alternative category

shipped in

ambient

storage temp.

2-8°C

target post-translational modification

unmodified

General description

ZooMAb® antibodies represent an entirely new generation of recombinant monoclonal antibodies.

Each ZooMAb® antibody is manufactured using our proprietary recombinant expression system, purified to homogeneity, and precisely dispensed to produce robust and highly reproducible lot-to-lot consistency. Only top-performing clones are released for use by researchers. Each antibody is validated for high specificity and affinity across multiple applications, including its most commonly used application. ZooMAb® antibodies are reliably available and ready to ship when you need them.

Learn more about ZooMAb here.
Dopamine β-hydroxylase (UniProt: P09172; also known as EC:1.14.17.1, Dopamine beta-monooxygenase) is encoded by the DBH gene (Gene ID: 1621) in human. Dopamine β-hydroxylase is a copper-containing homotetrametic oxygenase that catalyzes the hydroxylation of the β-carbon of a wide variety of phenylethylamine derivatives, using oxygen and ascorbic acid as cofactors. It is responsible for conversion of dopamine to norepinephrine (NE). It is generally localized in the chromaffin granules of the adrenal medulla and sympathetic neurons of the central and peripheral nervous system. Proteolytic cleave at the G-S site (amino acids 39-40) leads to the release of a soluble form of enzyme. Dopamine β-hydroxylase activity is low at birth and reaches increases significantly by four weeks of age. Subjects with Dopamine β-hydroxylase deficiency display low levels of NE and its metabolites in plasma, cerebrospinal fluid, and urine. Due to the fact that NE normally acts as an inhibitor of tyrosine hydroxylase, patients with Dopamine β-hydroxylase deficiency show higher levels of dopamine. Mutations in DBH gene are known to cause orthostatic hypotension (postural hypotension) characterized by reduced systolic and diastolic pressure upon rising from supine to standing position. This ZooMAb® recombinant monoclonal antibody, generated by our propriety technology, offers significantly enhanced specificity, affinity, reproducibility, and stability over conventional monoclonals.
We are committed to bringing you greener alternative products, which adhere to one or more of The 12 Principles of Green Chemistry.This antibody is Preservative-free, produced without the harm or sacrifice of animals and exceptionally stable to allow for ambient shipping and storage if needed and thus aligns with "Waste Prevention", "Designing Safer Chemicals" and "Design for Energy Efficiency". Click here for more information.

Immunogen

KLH-conjugated linear peptide corresponding to 18 amino acids from the N-terminal region of human Dopamine β Hydroxylase.

Application

Quality Control Testing

Evaluated by Western Blotting in SH-SY5Y cell lysate.

Western Blotting Analysis: A 1:1,000 dilution of this antibody detected Dopamine β Hydroxylase in SH-SY5Y cell lysate.

Tested applications

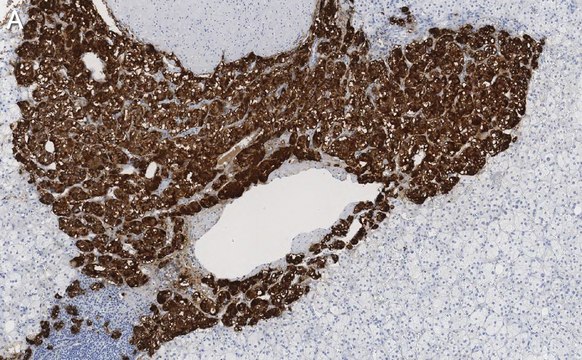
Western Blotting Analysis: A 1:1,000 dilution from a representative lot detected Dopamine β Hydroxylase in mouse, rat, and human adrenal gland tissue lysates.

Immunohistochemistry (Paraffin) Analysis: A 1:1,000 dilution from a representative lot detected Dopamine β Hydroxylase in human adrenal gland tissue sections.

Immunocytochemistry Analysis: A 1:100 dilution from a representative lot detected Dopamine β Hydroxylase in U2OS cells.

Affinity Binding Assay: A representative lot of this antibody bound Dopamine β Hydroxylase peptide with a KD of 1.0 x 10-12 in an affinity binding assay.

Note: Actual optimal working dilutions must be determined by end user as specimens, and experimental conditions may vary with the end user
This rabbit monoclonal Anti-Dopamine β Hydroxylase, clone 2B11 ZooMAb® Rabbit Monoclonal, Cat. No. ZRB1328 is used in Western Blotting, Affinity Binding Assay, Immunocytochemistry, Immunohistochemistry, for detection of Dopamine β Hydroxylase.

Biochem/physiol Actions

Clone 2B11 is a ZooMAb® rabbit recombinant monoclonal antibody that specifically detects Dopamine β Hydroxylase. It targets an epitope within 18 amino acids from the N-terminal region.

Physical form

Purified recombinant rabbit monoclonal antibody IgG, lyophilized in PBS with 5% Trehalose, normal appearance a coarse or translucent resin. The PBS/trehalose components in the ZooMAb formulation can have the appearance of a semi-solid (bead like gel) after lyophilization. This is a normal phenomenon. Please follow the recommended reconstitution procedure in the data sheet to dissolve the semi-solid, bead-like, gel-appearing material. The resulting antibody solution is completely stable and functional as proven by full functional testing. Contains no biocide or preservatives, such as azide, or any animal by-products. Larger pack sizes provided as multiples of 25 μL.

Preparation Note

Recommend storage of lyophilized product at 2-8°C; Before reconstitution, micro-centrifuge vials briefly to spin down material to bottom of the vial; Reconstitute each vial by adding 25 μL of filtered lab grade water or PBS; Reconstituted antibodies can be stored at 2-8°C, or -20°C for long term storage. Avoid repeated freeze-thaws.
Reconstitute lyophilized antibody pellet with 25μL of ultrapure water or Phosphate Buffered Saline (PBS). Please refer to our reconstitution protocol and the specific application guidance on the suggested starting dilutions and sample type.

Legal Information

ZooMAb is a registered trademark of Merck KGaA, Darmstadt, Germany

Disclaimer

Unless otherwise stated in our catalog or other company documentation accompanying the product(s), our products are intended for research use only and are not to be used for any other purpose, which includes but is not limited to, unauthorized commercial uses, in vitro diagnostic uses, ex vivo or in vivo therapeutic uses or any type of consumption or application to humans or animals.


Still not finding the right product?

Try our Product Selector Tool to narrow your options


Storage Class

11 - Combustible Solids

wgk

WGK 1

Regulatory Information

常规特殊物品

This item has



Choose from one of the most recent versions:

Certificates of Analysis (COA)

Lot/Batch Number

Don't see the Right Version?

If you require a particular version, you can look up a specific certificate by the Lot or Batch number.

Already Own This Product?

Find documentation for the products that you have recently purchased in the Document Library.

Visit the Document Library



Global Trade Item Number

SKUGTIN
ZRB1328-25UL04065265873765
ZRB1328-4X25UL04065265873772