Skip to Content
Merck
CN

ZRB1436

Anti-Olig2 Antibody, clone 1K2 ZooMAb® Rabbit Monoclonal

greener alternative

recombinant, expressed in HEK 293 cells

Synonym(s):

Class B basic helix-loop-helix protein 1, Class E basic helix-loop-helix protein 19, Oligodendrocyte transcription factor 2, Protein kinase C-binding protein 2, Protein kinase C-binding protein RACK17, bHLHb1, bHLHe19

Sign In to View Organizational & Contract Pricing.

Select a Size

Change View

About This Item

NACRES:
NA.43
UNSPSC Code:
12352203
Conjugate:
unconjugated
Clone:
recombinant monoclonal
Application:
ICC, IHC, WB, affinity binding assay
Citations:
-
Technical Service
Need help? Our team of experienced scientists is here for you.
Let Us Assist


biological source

rabbit

Quality Level

recombinant

expressed in HEK 293 cells

conjugate

unconjugated

antibody form

purified antibody

antibody product type

primary antibodies

clone

recombinant monoclonal

product line

ZooMAb® learn more

form

lyophilized

mol wt

calculated mol wt 32.38 kDa, observed mol wt ~41 kDa

species reactivity

rat, mouse

species reactivity (predicted by homology)

human

packaging

antibody small pack of 25 μL

greener alternative product characteristics

Waste Prevention
Designing Safer Chemicals
Design for Energy Efficiency
Learn more about the Principles of Green Chemistry.

enhanced validation

recombinant expression
Learn more about Antibody Enhanced Validation

sustainability

Greener Alternative Product

technique(s)

affinity binding assay: suitable, immunocytochemistry: suitable, immunohistochemistry: suitable, western blot: suitable

isotype

IgG

UniProt accession no.

greener alternative category

shipped in

ambient

storage temp.

2-8°C

target post-translational modification

unmodified

Gene Information

human ... OLIG2(10215)
mouse ... Olig2(50913)
rat ... Olig2(304103)

General description

Oligodendrocyte transcription factor 2 (UniProt: Q13516; also known as Oligo2, Class B basic helix-loop-helix protein 1, bHLHb1, Class E basic helix-loop-helix protein 19, bHLHe19, Protein kinase C-binding protein 2, Protein kinase C-binding protein RACK17, Olig2) is encoded by the OLIG2 (also known as BHLHB1, BHLHE19, PRKCBP2, RACK17) gene (Gene ID: 10215) in human. Olig2 is a is a basic helix-loop-helix (bHLH) transcription factor that is required for oligodendrocyte and motor neuron specification in the spinal cord, as well as for the development of somatic motor neurons in the hindbrain. It is expressed in oligodendrocytes and stronger expression is reported in oligodendrogliomas. It functions together with ZNF488 to promote oligodendrocyte differentiation and cooperates with OLIG1 to establish the pMN domain of the embryonic neural tube. A chromosomal aberration involving OLIG2 is reported to cause a form of T-cell acute lymphoblastic leukemia (T-ALL). OLIG2 expression is induced by sonic hedgehog and fibroblast growth factor during development. This ZooMAb® recombinant monoclonal antibody, generated by our propriety technology, offers significantly enhanced specificity, affinity, reproducibility, and stability over conventional monoclonals.
We are committed to bringing you greener alternative products, which adhere to one or more of The 12 Principles of Green Chemistry.This antibody is Preservative-free, produced without the harm or sacrifice of animals and exceptionally stable to allow for ambient shipping and storage if needed and thus aligns with "Waste Prevention", "Designing Safer Chemicals" and "Design for Energy Efficiency". Click here for more information.
ZooMAb antibodies represent an entirely new generation of recombinant monoclonal antibodies.

Each ZooMAb antibody is manufactured using our proprietary recombinant expression system, purified to homogeneity, and precisely dispensed to produce robust and highly reproducible lot-to-lot consistency. Only top-performing clones are released for use by researchers. Each antibody is validated for high specificity and affinity across multiple applications, including its most commonly used application. ZooMAb antibodies are reliably available and ready to ship when you need them.

Learn more about ZooMAb here.

Immunogen

His-tagged recombinant fragment corresponding to 83 amino acids from the N-terminal region of human Oligodendrocyte transcription factor 2 (Olig2).

Application

Anti-Olig2 Antibody, clone 1K2 ZooMAb, Cat. No. ZRB1436, is a recombinant Rabbit monoclonal antibody that detects Olig2 and is tested in Affinity Binding Assay, Immunocytochemistry, and Western Blotting.
Western Blotting Analysis: A 1:1,000 dilution from a representative lot detected Olig2 in Mouse BrainNE and Rat brain NE tissue lysate.

Immunocytochemistry Analysis: A 1:1,000-10,000 dilution from a representative lot detected Olig2 in Oligodendrocyte precursor cells.
Affinity Binding Assay: A representative lot of this antibody bound human recombinant Olig2 protein with a KD of 2.7 x 10-7 in an affinity binding assay.

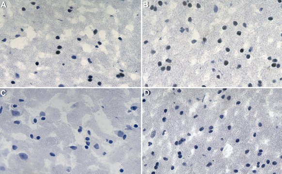
Immunohistochemistry Analysis: A 1:100 dilution from a representative lot detected Olig2 in human cerebral cortex tissue sections.

Note: Actual optimal working dilutions must be determined by end user as specimens, and experimental conditions may vary with the end user

Biochem/physiol Actions

Clone 1K2 is a ZooMAb rabbit recombinant monoclonal antibody that specifically detects Oligodendrocyte transcription factor 2. It targets an epitope within the N-terminal region.

Physical form

Purified recombinant rabbit monoclonal antibody IgG, lyophilized in PBS with 5% Trehalose, normal appearance a coarse or translucent resin. Contains no biocide or preservatives, such as azide, or any animal by-products. Larger pack sizes provided as multiples of 25 μL.

Preparation Note

Recommended storage of lyophilized product at 2-8°C; Before reconstitution, micro-centrifuge vials briefly to spin down material to bottom of the vial; Reconstitute each vial by adding 25 μL of filtered lab grade water or PBS; Reconstituted antibodies can be stored at 2-8°C, or -20°C for long term storage. Avoid repeated freeze-thaws.
Reconstitute lyophilized antibody pellet with 25μL of ultrapure water or Phosphate Buffered Saline (PBS). Please refer to our reconstitution protocol and the specific application guidance on the suggested starting dilutions and sample type.

Legal Information

ZooMAb is a registered trademark of Merck KGaA, Darmstadt, Germany

Disclaimer

Unless otherwise stated in our catalog or other company documentation accompanying the product(s), our products are intended for research use only and are not to be used for any other purpose, which includes but is not limited to, unauthorized commercial uses, in vitro diagnostic uses, ex vivo or in vivo therapeutic uses or any type of consumption or application to humans or animals.


Still not finding the right product?

Try our Product Selector Tool to narrow your options


Storage Class

13 - Non Combustible Solids

wgk

WGK 1

flash_point_f

Not applicable

flash_point_c

Not applicable

Regulatory Information

常规特殊物品
常规特殊物品

This item has



Choose from one of the most recent versions:

Certificates of Analysis (COA)

Lot/Batch Number

Don't see the Right Version?

If you require a particular version, you can look up a specific certificate by the Lot or Batch number.

Already Own This Product?

Find documentation for the products that you have recently purchased in the Document Library.

Visit the Document Library


Protocols

Follow this short antibody reconstitution protocol and see how easy it is to reconstitute ZooMAb® recombinant antibodies.

Related Content

选择更绿色环保的ZooMAb® 重组抗体,助力科研可持续发展。该重组抗体不含BSA和载体,采用低废料的包装运输,可在不影响性能的情况下最大限度提高稳定性。

Greener ZooMAb® antibodies offer sustainable options with low-waste packaging and BSA-free formulation.