Skip to Content
Merck
CN

ZRB1476

Anti-GRHL2 Antibody, clone 2N18 ZooMAb® Rabbit Monoclonal

greener alternative

recombinant, expressed in HEK 293 cells

Synonym(s):

Grainyhead-like protein 2 homolog;Brother of mammalian grainyhead;Transcription factor CP2-like 3

Sign In to View Organizational & Contract Pricing.

Select a Size

Change View

About This Item

NACRES:
NA.41
UNSPSC Code:
12352203
Conjugate:
unconjugated
Clone:
2N18, recombinant monoclonal
Application:
ICC, IHC (p), WB, affinity binding assay
Citations:
-
Technical Service
Need help? Our team of experienced scientists is here for you.
Let Us Assist


biological source

rabbit

Quality Level

recombinant

expressed in HEK 293 cells

conjugate

unconjugated

antibody form

purified antibody

antibody product type

primary antibodies

clone

2N18, recombinant monoclonal

description

recombinant, expressed in HEK 293 cells

product line

ZooMAb® learn more

form

lyophilized

mol wt

calculated mol wt 71.11 kDa, observed mol wt ~75 kDa

purified by

using Protein A

species reactivity

rat, human, mouse

species reactivity (predicted by homology)

monkey, feline, bovine, canine

packaging

antibody small pack of 25 μL

greener alternative product characteristics

Waste Prevention
Designing Safer Chemicals
Design for Energy Efficiency
Learn more about the Principles of Green Chemistry.

enhanced validation

recombinant expression
Learn more about Antibody Enhanced Validation

sustainability

Greener Alternative Product

technique(s)

affinity binding assay: suitable, immunocytochemistry: suitable, immunohistochemistry (formalin-fixed, paraffin-embedded sections): suitable, western blot: suitable

isotype

IgG

epitope sequence

Internal

Protein ID accession no.

UniProt accession no.

greener alternative category

shipped in

ambient

storage temp.

2-8°C

target post-translational modification

unmodified

General description

ZooMAb® antibodies represent an entirely new generation of recombinant monoclonal antibodies.Each ZooMAb® antibody is manufactured using our proprietary recombinant expression system, purified to homogeneity, and precisely dispensed to produce robust and highly reproducible lot-to-lot consistency. Only top-performing clones are released for use by researchers. Each antibody is validated for high specificity and affinity across multiple applications, including its most commonly used application. ZooMAb® antibodies are reliably available and ready to ship when you need them.
Grainyhead-like protein 2 homolog (UniProt: Q6ISB3; also known as Brother of mammalian grainyhead, Transcription factor CP2-like 3, GRHL2) is encoded by the GRHL2 (also known as BOM, TFCP2L3) gene (Gene ID: 79977) in human. GRHL2 is a homodimeric transcription factor that plays an important role in primary neurulation and in epithelial development. It can also exist in heterodimeric form with GRHL1 or GHRL3. It is also involved in wound healing, maintenance of epidermal integrity, and epithelial-to-mesenchymal transition. It binds directly to the consensus DNA sequence 5′-AACCGGTT-3′ acting as an activator and repressor on distinct target genes. It is present at cell-cell contact sites and its expression is observed to be high in keratinocytes, placenta, prostrate, brain, and kidney. It is expressed in proliferating cells and its expression is reduced during senescence. During embryogenesis, it plays unique and cooperative roles with GRHL3 in establishing distinct zones of primary neurulation. It is shown to be essential for closure 3 (rostral end of the forebrain), closure 2 (forebrain/midbrain boundary), and posterior neuropore closure. In keratinocytes, it plays a role in telomerase activation during cellular proliferation and regulates TERT expression by binding to TERT promoter region and inhibiting DNA methylation at the 5′-CpG island, possibly by interfering with DNMT1 enzyme activity. Overexpression of GRHL2 promotes cell growth and colony formation, and simultaneously suppresses cell migration in non-small cell lung carcinoma cells. This ZooMAb® recombinant monoclonal antibody, generated by our propriety technology, offers significantly enhanced specificity, affinity, reproducibility, and stability over conventional monoclonals. (Ref.: Pan, X., et al. (2017). Am. J. Transl. Res. 9(9); 4217- 4226; Chen, W., et al. (2010). J. Biol. Chem. 285 (52); 40852-40863).
We are committed to bringing you greener alternative products, which adhere to one or more of The 12 Principles of Green Chemistry.This antibody is Preservative-free, produced without the harm or sacrifice of animals and exceptionally stable to allow for ambient shipping and storage if needed and thus aligns with "Waste Prevention", "Designing Safer Chemicals" and "Design for Energy Efficiency". Click here for more information.

Immunogen

KLH-conjugated linear peptide corresponding to 15 amino acids from the internal region of human Grainyhead-like protein 2 homolog (GRHL2).

Application

Quality Control Testing

Evaluated by Western Blotting in Mouse testis tissue lysate.

Western Blotting Analysis: A 1:1,000 dilution of this antibody detected GRHL2 in Mouse testis tissue lysate.

Tested applications

Western Blotting Analysis: A 1:1,000 dilution from a representative lot detected GRHL2 in lysates from human testis tissue and KNRK cells.

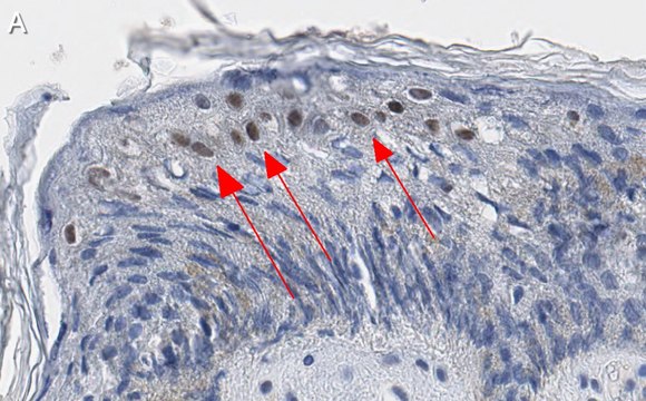
Immunohistochemistry (Paraffin) Analysis: A 1:100 dilution from a representative lot detected GRHL2 in human skin tissue sections.

Immunocytochemistry Analysis: A 1:100 dilution from a representative lot detected GRHL2 in lysates from A431, HeLa, HepG2, and NIH 3T3 cells.

Affinity Binding Assay: A representative lot of this antibody bound GRHL2 with a KD of 2.5 x 10-8 in an affinity binding assay.

Note: Actual optimal working dilutions must be determined by end user as specimens, and experimental conditions may vary with the end user

Biochem/physiol Actions

Clone 2N18 is a Rabbit recombinant monoclonal antibody that specifically detects Grainyhead-like protein 2 homolog (GRHL2). It targets an epitope within 15 amino acids from the internal region.

Physical form

Purified recombinant rabbit monoclonal antibody IgG, lyophilized in PBS, 5% Trehalose, normal appearance a coarse or translucent resin. The PBS/trehalose components in the ZooMAb formulation can have the appearance of a semi-solid (bead like gel) after lyophilization. This is a normal phenomenon. Please follow the recommended reconstitution procedure in the data sheet to dissolve the semi-solid, bead-like, gel-appearing material. The resulting antibody solution is completely stable and functional as proven by full functional testing. Contains no biocide or preservatives, such as azide, or any animal by-products. Larger pack sizes provided as multiples of 25 μL.

Preparation Note

Recommend storage of lyophilized product at 2-8°C; Before reconstitution, micro-centrifuge vials briefly to spin down material to bottom of the vial; Reconstitute each vial by adding 25 μL of filtered lab grade water or PBS; Reconstituted antibodies can be stored at 2-8°C, or -20°C for long term storage. Avoid repeated freeze-thaws.
Reconstitute lyophilized antibody pellet with 25μL of ultrapure water or Phosphate Buffered Saline (PBS). Please refer to our reconstitution protocol and the specific application guidance on the suggested starting dilutions and sample type.

Legal Information

ZooMAb is a registered trademark of Merck KGaA, Darmstadt, Germany

Disclaimer

Unless otherwise stated in our catalog or other company documentation accompanying the product(s), our products are intended for research use only and are not to be used for any other purpose, which includes but is not limited to, unauthorized commercial uses, in vitro diagnostic uses, ex vivo or in vivo therapeutic uses or any type of consumption or application to humans or animals.


Still not finding the right product?

Try our Product Selector Tool to narrow your options


Storage Class

13 - Non Combustible Solids

wgk

WGK 1

flash_point_f

Not applicable

flash_point_c

Not applicable

Regulatory Information

常规特殊物品

This item has



Choose from one of the most recent versions:

Certificates of Analysis (COA)

Lot/Batch Number

Don't see the Right Version?

If you require a particular version, you can look up a specific certificate by the Lot or Batch number.

Already Own This Product?

Find documentation for the products that you have recently purchased in the Document Library.

Visit the Document Library



Global Trade Item Number

SKUGTIN
ZRB1476-4X25UL04065266078534
ZRB1476-25UL04065266078527