Skip to Content
Merck
CN

ZRB1485

Anti-CDK1/CDC2 Antibody, clone 1J8 ZooMAb® Rabbit Monoclonal

greener alternative

recombinant, expressed in HEK 293 cells

Sign In to View Organizational & Contract Pricing.

Select a Size

Change View

About This Item

NACRES:
NA.43
UNSPSC Code:
12352203
Conjugate:
unconjugated
Clone:
1J8, recombinant monoclonal
Application:
ICC, IHC (p), WB, affinity binding assay
Citations:
-
Technical Service
Need help? Our team of experienced scientists is here for you.
Let Us Assist


biological source

rabbit

Quality Level

recombinant

expressed in HEK 293 cells

conjugate

unconjugated

antibody form

purified antibody

antibody product type

primary antibodies

clone

1J8, recombinant monoclonal

description

recombinant, expressed in HEK 293 cells

product line

ZooMAb® learn more

form

lyophilized

mol wt

calculated mol wt 34.09 kDa, observed mol wt ~34 kDa

species reactivity

mouse, human, rat

species reactivity (predicted by homology)

bovine, feline, monkey, canine

packaging

antibody small pack of 25 μL

greener alternative product characteristics

Waste Prevention
Designing Safer Chemicals
Design for Energy Efficiency
Learn more about the Principles of Green Chemistry.

enhanced validation

recombinant expression
Learn more about Antibody Enhanced Validation

sustainability

Greener Alternative Product

technique(s)

affinity binding assay: suitable, immunocytochemistry: suitable, immunohistochemistry (formalin-fixed, paraffin-embedded sections): suitable, western blot: suitable

isotype

IgG

epitope sequence

C-terminus

Protein ID accession no.

UniProt accession no.

greener alternative category

shipped in

ambient

storage temp.

2-8°C

target post-translational modification

unmodified

General description

Cyclin-dependent kinase 1 (UniProt: P06493; also known as EC:2.7.11.22, CDK1, Cell division control protein 2 homolog, Cell division protein kinase 1, p34 protein kinase, CDC2) is encoded by the CDK1 (also known as CDC2, CDC28A, CDKN1, P34CDC2) gene (Gene ID: 983) in human. CDK1 plays a key role in the control of the eukaryotic cell cycle by modulating the centrosome cycle as well as mitotic onset. It promotes G2-M transition and regulates G1 progress and G1-S transition via association with multiple interphase cyclins. It is required in higher cells for entry into S-phase and mitosis. It is reported to accumulate in mitochondria in G2 arrested cells upon DNA damage. CDK1 forms a stable but non-covalent complex with a regulatory subunit and with a cyclin. It is mostly cytoplasmic during the interphase and is reversibly translocated from cytoplasm to nucleus when phosphorylated before the G2-M transition. It can undergo phosphorylation at multiple sites and each phosphorylation has a specific effect. Phosphorylation at Thr 161 by CAK/CDK7 is reported to activate its kinase activity and phosphorylation at Thr 14 and Tyr 15 by PYMYT1, a member of the WEE kinase family, prevents its nuclear translocation and inactivates this enzyme. Phosphorylation at Tyr 15 by WEE1 and WEE2 inhibits its protein kinase activity and blocks its entry into mitosis. This keeps CDK1-Cyclin B complex in an inactive state until the end of G2 phase. By the end of G2 phase, PKMYT1 and WEE1 are inactivated and CDC25A and CDC25B are activated, which dephosphorylate Thr 14 and Tyr 15 leading to CDK1 activation. Two isoforms of CDK1 have been described that are produced by alternative splicing. Isoform 2 is shown to be expressed in breast cancer tissues and lacks amino acids 107 to 163. This ZooMAb® recombinant monoclonal antibody, generated by our propriety technology, offers significantly enhanced specificity, affinity, reproducibility, and stability over conventional monoclonals.
We are committed to bringing you greener alternative products, which adhere to one or more of The 12 Principles of Green Chemistry.This antibody is Preservative-free, produced without the harm or sacrifice of animals and exceptionally stable to allow for ambient shipping and storage if needed and thus aligns with "Waste Prevention", "Designing Safer Chemicals" and "Design for Energy Efficiency". Click here for more information.
ZooMAb® antibodies represent an entirely new generation of recombinant monoclonal antibodies.

Each ZooMAb® antibody is manufactured using our proprietary recombinant expression system, purified to homogeneity, and precisely dispensed to produce robust and highly reproducible lot-to-lot consistency. Only top-performing clones are released for use by researchers. Each antibody is validated for high specificity and affinity across multiple applications, including its most commonly used application. ZooMAb® antibodies are reliably available and ready to ship when you need them.

Learn more about ZooMAb here.

Immunogen

KLH-conjugated linear peptide corresponding to 18 amino acids from the C-terminal region of human Cyclin-dependent kinase 1 (CDK1).

Application

Quality Control Testing

Evaluated by Western Blotting in HeLa cell lysate.

Western Blotting Analysis: A 1:1,000 dilution of this antibody detected CDK1/CDC2 in HeLa cell lysate.

Tested applications

Western Blotting Analysis: A 1:1,000 dilution from a representative lot detected CDK1/CDC2 in C6 and Jurkat cell lysate.

Affinity Binding Assay: A representative lot of this antibody bound CDK1/CDC2 with a KD of 2.6 x 10-7 in an affinity binding assay.

Immunocytochemistry Analysis: A 1:100 dilution from a representative lot detected CDK1/CDC2 in HeLa and NIH3T3 cells.

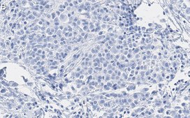
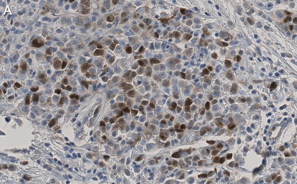
Immunohistochemistry (Paraffin) Analysis: A 1:100 dilution from a representative lot detected CDK1/CDC2 in human breast and pancreatic cancer tissue sections.

Note: Actual optimal working dilutions must be determined by end user as specimens, and experimental conditions may vary with the end user
Anti-CDK1/CDC2, clone 1J8 ZooMAb®, Cat. No. ZRB1485, is a recombinant Rabbit monoclonal antibody that specifically targetsCDK1/CDC2 and is tested in Affinity Binding Assay, Immunocytochemistry, Immunohistochemistry (Paraffin), and Western Blotting.

Biochem/physiol Actions

Clone 1J8 is a ZooMAb® rabbit recombinant monoclonal antibody that specifically detects Cyclin-dependent kinase 1 (CDK1). It targets an epitope within 18 amino acids from the C-terminal region.

Physical form

Purified recombinant rabbit monoclonal antibody IgG, lyophilized in PBS, 5% Trehalose, normal appearance a coarse or translucent resin. The PBS/trehalose components in the ZooMAb formulation can have the appearance of a semi-solid (bead like gel) after lyophilization. This is a normal phenomenon. Please follow the recommended reconstitution procedure in the data sheet to dissolve the semi-solid, bead-like, gel-appearing material. The resulting antibody solution is completely stable and functional as proven by full functional testing. Contains no biocide or preservatives, such as azide, or any animal by-products. Larger pack sizes provided as multiples of 25 μL.

Preparation Note

Recommend storage of lyophilized product at 2-8°C; Before reconstitution, micro-centrifuge vials briefly to spin down material to bottom of the vial; Reconstitute each vial by adding 25 μL of filtered lab grade water or PBS; Reconstituted antibodies can be stored at 2-8°C, or -20°C for long term storage. Avoid repeated freeze-thaws.
Reconstitute lyophilized antibody pellet with 25μL of ultrapure water or Phosphate Buffered Saline (PBS). Please refer to our reconstitution protocol and the specific application guidance on the suggested starting dilutions and sample type.

Legal Information

ZooMAb is a registered trademark of Merck KGaA, Darmstadt, Germany

Disclaimer

Unless otherwise stated in our catalog or other company documentation accompanying the product(s), our products are intended for research use only and are not to be used for any other purpose, which includes but is not limited to, unauthorized commercial uses, in vitro diagnostic uses, ex vivo or in vivo therapeutic uses or any type of consumption or application to humans or animals.


Still not finding the right product?

Try our Product Selector Tool to narrow your options


Storage Class

11 - Combustible Solids

wgk

WGK 1

flash_point_f

Not applicable

flash_point_c

Not applicable

Regulatory Information

常规特殊物品
常规特殊物品

This item has



Choose from one of the most recent versions:

Certificates of Analysis (COA)

Lot/Batch Number

Don't see the Right Version?

If you require a particular version, you can look up a specific certificate by the Lot or Batch number.

Already Own This Product?

Find documentation for the products that you have recently purchased in the Document Library.

Visit the Document Library


Articles

Learn about the hallmarks of cancer and find reliable ZooMAb® recombinant antibodies to study them, conveniently organized by cancer hallmark.





Global Trade Item Number

SKUGTIN
ZRB1485-4X25UL04065266274226
ZRB1485-25UL04065266274219