Skip to Content
Merck
CN

ZRB1498

Anti-NF-kB p65 subunit Antibody, clone 1D8 ZooMAb® Rabbit Monoclonal

greener alternative

recombinant, expressed in HEK 293 cells

Sign In to View Organizational & Contract Pricing.

Select a Size

Change View

About This Item

NACRES:
NA.41
UNSPSC Code:
12352203
Conjugate:
unconjugated
Clone:
1D8, recombinant monoclonal
Application:
IHC (p), WB, affinity binding assay
Citations:
-
Technical Service
Need help? Our team of experienced scientists is here for you.
Let Us Assist


biological source

rabbit

Quality Level

recombinant

expressed in HEK 293 cells

conjugate

unconjugated

antibody form

purified antibody

antibody product type

primary antibodies

clone

1D8, recombinant monoclonal

description

recombinant, expressed in HEK 293 cells

product line

ZooMAb® learn more

form

lyophilized

mol wt

calculated mol wt 60.22 kDa, observed mol wt ~65 kDa

species reactivity

human, mouse

species reactivity (predicted by homology)

canine, monkey, rat, bovine

packaging

antibody small pack of 25 μL

greener alternative product characteristics

Waste Prevention
Designing Safer Chemicals
Design for Energy Efficiency
Learn more about the Principles of Green Chemistry.

enhanced validation

recombinant expression
Learn more about Antibody Enhanced Validation

sustainability

Greener Alternative Product

technique(s)

affinity binding assay: suitable, immunohistochemistry (formalin-fixed, paraffin-embedded sections): suitable, western blot: suitable

isotype

IgG

epitope sequence

C-terminal half

Protein ID accession no.

UniProt accession no.

greener alternative category

shipped in

ambient

storage temp.

2-8°C

target post-translational modification

unmodified

General description

Transcription factor p65 (UniProt: Q04206; also known as Nuclear factor NF-kappa-B p65 subunit, Nuclear factor of kappa light polypeptide gene enhancer in B-cells 3, NF-kB p65) is encoded by the RELA (also known as NFKB3) gene (Gene ID: 5970) in human. NF-kB is a pleiotropic transcription factor that is present in almost all cell types and is the endpoint of a series of signal transduction events that are initiated by a vast array of stimuli related to many biological processes such as inflammation, immunity, differentiation, cell growth, tumorigenesis and apoptosis. Five members of NF-kB family have been described in mammalian cells: NF- B1 (p50/p105), NF- B2 (p52/p100), RelA (p65), RelB, and c-Rel that associate to form various homodimeric or heterodimeric combinations. They share a highly conserved Rel homology domain (RHD), which is responsible for DNA binding, dimerization, and interaction with IkBs. The p50/RelA (p65) heterodimer is the major NF- B complex in most cells. The activity of NF- B is tightly regulated by its interaction with inhibitory I B proteins. In most resting cells, NF- B is sequestered in the cytoplasm in an inactive form associated with inhibitory molecules such as I B , I Bβ, I B , p105, and p100. This interaction blocks the ability of NF- B to translocate to the nucleus and bind to DNA. Following exposure to proinflammatory cytokines, UV light, reactive oxygen species, or bacterial and viral toxins, the NF- B signaling cascade is activated, leading to the proteasomal degradation of I B. This allows the translocation of unmasked NF- B from the cytoplasm to the nucleus where it binds to NF- B response elements in target genes and regulates their transcription. In a conventional activation pathway, IkB is phosphorylated by I B kinases (IKKs) and degraded thereby liberating NF- B to translocate to the nucleus. The inhibitory effect of IkB on NF- B through retention in the cytoplasm is exerted primarily through the interaction with RelA (p65). Beside its activity as a direct transcriptional activator, p65 can also modulate promoters accessibility to transcription factors and thereby indirectly regulate gene expression. RelA (p65) undergoes phosphorylation at Ser 536, which stimulates acetylation on Lys 310 and interaction with CBP. This phosphorylated and acetylated form of p65 displays enhanced transcriptional activity. Although acetylation at Lys 122 can enhance its DNA binding activity, but acetylation at Lys 310 is required for its full transcriptional activity. This ZooMAb® recombinant monoclonal antibody, generated by our propriety technology, offers significantly enhanced specificity, affinity, reproducibility, and stability over conventional monoclonals.
We are committed to bringing you greener alternative products, which adhere to one or more of The 12 Principles of Green Chemistry.This antibody is Preservative-free, produced without the harm or sacrifice of animals and exceptionally stable to allow for ambient shipping and storage if needed and thus aligns with "Waste Prevention", "Designing Safer Chemicals" and "Design for Energy Efficiency". Click here for more information.
ZooMAb® antibodies represent an entirely new generation of recombinant monoclonal antibodies.

Each ZooMAb® antibody is manufactured using our proprietary recombinant expression system, purified to homogeneity, and precisely dispensed to produce robust and highly reproducible lot-to-lot consistency. Only top-performing clones are released for use by researchers. Each antibody is validated for high specificity and affinity across multiple applications, including its most commonly used application. ZooMAb® antibodies are reliably available and ready to ship when you need them.

Learn more about ZooMAb here.

Immunogen

KLH-conjugated linear peptide corresponding to 20 amino acids from the C-terminal region of human NF-kB p65 subunit.

Application

Quality Control Testing

Evaluated by Western Blotting in K562 cell lysate.

Western Blotting Analysis: A 1:10,000 dilution of this antibody detected NF-kB p65 subunit in K562 cell lysate.

Tested applications

Western Blotting Analysis: A 1:10,000 dilution from a representative lot detected NF-kB p65 subunit in NIH3T3 cell lysate.

Affinity Binding Assay: A representative lot of this antibody bound NF-kB p65 peptide with a KD of 1 x 10-12 in an affinity binding assay.

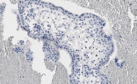
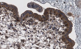
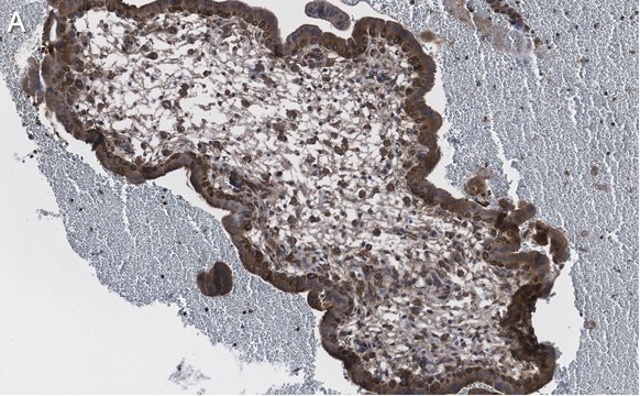
Immunohistochemistry (Paraffin) Analysis: A 1:100 dilution from a representative lot detected NF-kB p65 subunit in human placenta tissue sections.

Note: Actual optimal working dilutions must be determined by end user as specimens, and experimental conditions may vary with the end user
Anti-NF-kB p65 subunit, clone 1D8 ZooMAb®, Cat. No. ZRB1498, is a recombinant Rabbit monoclonal antibody that detects NF-kB p65 subunit and is tested for use in Affinity Binding Assay, Immunohistochemistry (Paraffin), and Western Blotting.

Biochem/physiol Actions

Clone 1D8 is a ZooMAb® rabbit recombinant monoclonal antibody that specifically detects p65. It targets an epitope within 20 amino acids from the C-terminal region.

Physical form

Purified recombinant rabbit monoclonal antibody IgG, lyophilized in PBS, 5% Trehalose, normal appearance a coarse or translucent resin. The PBS/trehalose components in the ZooMAb formulation can have the appearance of a semi-solid (bead like gel) after lyophilization. This is a normal phenomenon. Please follow the recommended reconstitution procedure in the data sheet to dissolve the semi-solid, bead-like, gel-appearing material. The resulting antibody solution is completely stable and functional as proven by full functional testing. Contains no biocide or preservatives, such as azide, or any animal by-products. Larger pack sizes provided as multiples of 25 μL.

Preparation Note

Recommend storage of lyophilized product at 2-8°C; Before reconstitution, micro-centrifuge vials briefly to spin down material to bottom of the vial; Reconstitute each vial by adding 25 μL of filtered lab grade water or PBS; Reconstituted antibodies can be stored at 2-8°C, or -20°C for long term storage. Avoid repeated freeze-thaws.
Reconstitute lyophilized antibody pellet with 25μL of ultrapure water or Phosphate Buffered Saline (PBS). Please refer to our reconstitution protocol and the specific application guidance on the suggested starting dilutions and sample type.

Legal Information

ZooMAb is a registered trademark of Merck KGaA, Darmstadt, Germany

Disclaimer

Unless otherwise stated in our catalog or other company documentation accompanying the product(s), our products are intended for research use only and are not to be used for any other purpose, which includes but is not limited to, unauthorized commercial uses, in vitro diagnostic uses, ex vivo or in vivo therapeutic uses or any type of consumption or application to humans or animals.


Still not finding the right product?

Try our Product Selector Tool to narrow your options


Storage Class

11 - Combustible Solids

wgk

WGK 1

flash_point_f

Not applicable

flash_point_c

Not applicable

Regulatory Information

常规特殊物品

This item has



Choose from one of the most recent versions:

Certificates of Analysis (COA)

Lot/Batch Number

Don't see the Right Version?

If you require a particular version, you can look up a specific certificate by the Lot or Batch number.

Already Own This Product?

Find documentation for the products that you have recently purchased in the Document Library.

Visit the Document Library


Articles

Learn about the hallmarks of cancer and find reliable ZooMAb® recombinant antibodies to study them, conveniently organized by cancer hallmark.





Global Trade Item Number

SKUGTIN
ZRB1498-4X25UL04065266274264
ZRB1498-25UL04065266274257