Skip to Content
Merck
CN

ZRB1566

Anti-Nanog Antibody, clone 4C17 ZooMAb® Rabbit Monoclonal

greener alternative

recombinant, expressed in HEK 293 cells

Synonym(s):

Homeobox protein NANOG, Homeobox transcription factor Nanog, hNanog

Sign In to View Organizational & Contract Pricing.

Select a Size

Change View

About This Item

NACRES:
NA.43
UNSPSC Code:
12352203
Conjugate:
unconjugated
Clone:
4C17, monoclonal, recombinant monoclonal
Application:
FACS, ICC, IHC, WB, affinity binding assay
Citations:
-
Technical Service
Need help? Our team of experienced scientists is here for you.
Let Us Assist


biological source

rabbit

Quality Level

recombinant

expressed in HEK 293 cells

conjugate

unconjugated

antibody form

purified antibody

antibody product type

primary antibodies

clone

4C17, monoclonal, recombinant monoclonal

product line

ZooMAb® learn more

form

lyophilized

mol wt

calculated mol wt 34.62 kDa, observed mol wt ~42 kDa

species reactivity

human

packaging

antibody small pack of 25 μL

greener alternative product characteristics

Waste Prevention
Designing Safer Chemicals
Design for Energy Efficiency
Learn more about the Principles of Green Chemistry.

enhanced validation

recombinant expression
Learn more about Antibody Enhanced Validation

sustainability

Greener Alternative Product

technique(s)

affinity binding assay: suitable, flow cytometry: suitable, immunocytochemistry: suitable, immunohistochemistry: suitable, western blot: suitable

isotype

IgG

UniProt accession no.

greener alternative category

shipped in

ambient

storage temp.

2-8°C

target post-translational modification

unmodified

Gene Information

human ... NANOG(79923)

General description

Homeobox protein Nanog (UniProt: Q9H9S0; Homeobox transcription factor Nanog, hNanog) is encoded by the NANOG gene (Gene ID: 79923) in human. Nanog is a transcription factor that is involved in the self-renewal of embryonic stem cells (ES) and is a critical factor for the maintenance of the undifferentiated state of pluripotent cells. Along with OCT4 and Sox2 it is responsible for maintaining ES cells in an undifferentiated state. It is expressed in embryonic stem (ES) and carcinoma cells and its expression is observed in inner cell mass (ICM) of the blastocyst and gonocytes between 14 and 19 weeks of gestation. Its expression decreases with ES differentiation. Nanog can autorepress its own expression in differentiating ES cells by binding to its own promoter following interaction with ZNF281/ZFP281, leading to recruitment of the NuRD complex and subsequent repression of expression. Overexpression of Nanog in ES cells maintains specific differentiation, however, its overexpression in cancer stem cells is reported to inhibit apoptosis. Nanog together with OCT4 can activate SNAIL2 and promote metastasis and the EMT phenotype in cancer cells. Nanog can be phosphorylated on serine 52, 71, and 78 and this can regulate its stability. Suppression of MEK/ERKs signaling is shown to enhance Nanog transactivation to inhibit ES cell differentiation. This ZooMAb recombinant monoclonal antibody, generated by our propriety technology, offers significantly enhanced specificity, affinity, reproducibility, and stability over conventional monoclonals. (Ref.: Gawlik-Rzemieniewska, N., and Bednarek, I (2016). Cancer Biol. Ther. 17(1); 1-10; Kim, S-H., et al. (2014). Stem Cell Res. 13(1); 1-11).
We are committed to bringing you greener alternative products, which adhere to one or more of The 12 Principles of Green Chemistry.This antibody is Preservative-free, produced without the harm or sacrifice of animals and exceptionally stable to allow for ambient shipping and storage if needed and thus aligns with "Waste Prevention", "Designing Safer Chemicals" and "Design for Energy Efficiency". Click here for more information.
ZooMAb antibodies represent an entirely new generation of recombinant monoclonal antibodies.

Each ZooMAb antibody is manufactured using our proprietary recombinant expression system, purified to homogeneity, and precisely dispensed to produce robust and highly reproducible lot-to-lot consistency. Only top-performing clones are released for use by researchers. Each antibody is validated for high specificity and affinity across multiple applications, including its most commonly used application. ZooMAb antibodies are reliably available and ready to ship when you need them.

Learn more about ZooMAb here.

Immunogen

His-tagged full-length recombinant human Nanog.

Application

Anti-Nanog, clone 4C17 ZooMAb, Cat. No. ZRB1566, is a recombinant Rabbit monoclonal antibody that targets Nanog and is tested for use in Affinity Binding Assay, Flow Cytometry, Immunocytochemistry, Immunohistochemistry, and Western Blotting.
Western Blotting Analysis: A 1:1,000 dilution from a representative lot detected Nanog in H9 cell lysate.

Flow Cytometry Analysis: 1 μg from a representative lot detected Nanog in one million NTERA-2 cells.

Immunocytochemistry Analysis: A 1:100 dilution from a representative lot detected Nanog in NTERA-2 cells.

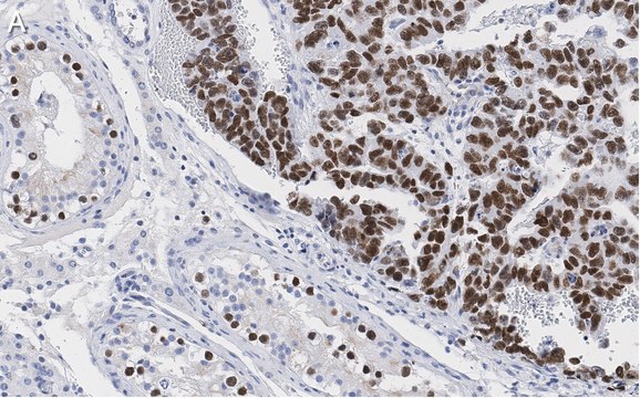
Immunohistochemistry (Paraffin) Analysis: A 1:100 dilution from a representative lot detected Nanog in human testis cancer tissue sections.

Affinity Binding Assay: A representative lot of this antibody bound human recombinant Nanog with a KD of 7.6 x 10-9 in an affinity binding assay.

Note: Actual optimal working dilutions must be determined by end user as specimens, and experimental conditions may vary with the end user

Biochem/physiol Actions

Clone 4C17 is a ZooMAb rabbit recombinant monoclonal antibody that specifically detects human Nanog.

Physical form

Purified recombinant rabbit monoclonal antibody IgG, lyophilized in PBS, 5% Trehalose, normal appearance a coarse or translucent resin. Contains no biocide or preservatives, such as azide, or any animal by-products. Larger pack sizes provided as multiples of 25 μL.

Preparation Note

Recommend storage of lyophilized product at 2-8°C; Before reconstitution, micro-centrifuge vials briefly to spin down material to bottom of the vial; Reconstitute each vial by adding 25 μL of filtered lab grade water or PBS; Reconstituted antibodies can be stored at 2-8°C, or -20°C for long term storage. Avoid repeated freeze-thaws.
Reconstitute lyophilized antibody pellet with 25μL of ultrapure water or Phosphate Buffered Saline (PBS). Please refer to our reconstitution protocol and the specific application guidance on the suggested starting dilutions and sample type.

Legal Information

ZooMAb is a registered trademark of Merck KGaA, Darmstadt, Germany

Disclaimer

Unless otherwise stated in our catalog or other company documentation accompanying the product(s), our products are intended for research use only and are not to be used for any other purpose, which includes but is not limited to, unauthorized commercial uses, in vitro diagnostic uses, ex vivo or in vivo therapeutic uses or any type of consumption or application to humans or animals.


Still not finding the right product?

Try our Product Selector Tool to narrow your options


Storage Class

11 - Combustible Solids

wgk

WGK 1

flash_point_f

Not applicable

flash_point_c

Not applicable

Regulatory Information

常规特殊物品

This item has



Choose from one of the most recent versions:

Certificates of Analysis (COA)

Lot/Batch Number

Don't see the Right Version?

If you require a particular version, you can look up a specific certificate by the Lot or Batch number.

Already Own This Product?

Find documentation for the products that you have recently purchased in the Document Library.

Visit the Document Library



Global Trade Item Number

SKUGTIN
ZRB1566-4X25UL04061842310968
ZRB1566-25UL04061842310951