Skip to Content
Merck
CN

ZRB1725

Anti-HDAC3 Antibody, clone 1H19 ZooMAb® Rabbit Monoclonal

greener alternative

recombinant, expressed in HEK 293 cells

Synonym(s):

Histone deacetylase 3;EC:3.5.1.98;HD3;RPD3-2;SMAP45

Sign In to View Organizational & Contract Pricing.

Select a Size

Change View

About This Item

NACRES:
NA.43
UNSPSC Code:
12352203
Conjugate:
unconjugated
Clone:
1H19, recombinant monoclonal
Application:
ICC, IHC (p), WB, affinity binding assay
Citations:
-
Technical Service
Need help? Our team of experienced scientists is here for you.
Let Us Assist


biological source

rabbit

Quality Level

recombinant

expressed in HEK 293 cells

conjugate

unconjugated

antibody form

purified antibody

antibody product type

primary antibodies

clone

1H19, recombinant monoclonal

description

recombinant, expressed in HEK 293 cells

product line

ZooMAb® learn more

form

lyophilized

mol wt

calculated mol wt 48.85 kDa, observed mol wt ~49 kDa

purified by

using Protein A

species reactivity

human, monkey, mouse, rat

packaging

antibody small pack of 25 μL

greener alternative product characteristics

Waste Prevention
Designing Safer Chemicals
Design for Energy Efficiency
Learn more about the Principles of Green Chemistry.

enhanced validation

recombinant expression
Learn more about Antibody Enhanced Validation

sustainability

Greener Alternative Product

technique(s)

affinity binding assay: suitable, immunocytochemistry: suitable, immunohistochemistry (formalin-fixed, paraffin-embedded sections): suitable, western blot: suitable

isotype

IgG

epitope sequence

C-terminal

Protein ID accession no.

UniProt accession no.

greener alternative category

shipped in

ambient

storage temp.

2-8°C

target post-translational modification

unmodified

Gene Information

human ... HDAC3(8841)

General description

Histone deacetylase 3 (UniProt: O15379; also known as EC:3.5.1.98, HD3, RPD3-2, SMAP45) is encoded by the HDAC3 gene (Gene ID: 8841) in human. Histone acetylation/deacetylation has been implicated in many biological processes, such as cell survival and differentiation, double-strand DNA repair, cell cycle progression, tumorigenesis, and cardiac function. Histone deacetylation gives a tag for epigenetic repression and plays an important role in transcriptional regulation, cell cycle progression and developmental events. In mammals, at least eighteen different histone deacetylases (HDACs) have been described that are subdivided into four classes based on phylogenic analysis, sequence similarity to their founding yeast homologs, subcellular localization, and enzymatic activities. They catalyze the removal of the acetyl moiety from the -amino groups of histone lysines. HDAC3 is widely expressed, zinc-dependent enzyme that belong to Class I of HDACs. It is mainly localized in the nucleus but can also co-localize with X-Box Binding Protein 1 (XBP1) and Akt1 in the cytoplasm. HDAC3 is responsible for the deacetylation of lysine residues on the N-terminal part of the core histones (H2A, H2B, H3 and H4), and some other non-histone substrates. HDAC3 is shown to participate in the BCL6 transcriptional repressor activity by deacetylating the H3 lysine 27 (H3K27) on enhancer elements, antagonizing EP300 acetyltransferase activity and repressing proximal gene expression. It probably participates in the regulation of transcription through its binding to the zinc-finger transcription factor YY1 and increase YY1 repression activity. It is also required to repress transcription of the POU Class 1 Homeobox 1 (POU1F1) transcription factor. This ZooMAb® recombinant monoclonal antibody, generated by our propriety technology, offers significantly enhanced specificity, affinity, reproducibility, and stability over conventional monoclonals.
We are committed to bringing you greener alternative products, which adhere to one or more of The 12 Principles of Green Chemistry.This antibody is Preservative-free, produced without the harm or sacrifice of animals and exceptionally stable to allow for ambient shipping and storage if needed and thus aligns with "Waste Prevention", "Designing Safer Chemicals" and "Design for Energy Efficiency". Click here for more information.
ZooMAb® antibodies represent an entirely new generation of recombinant monoclonal antibodies.

Each ZooMAb® antibody is manufactured using our proprietary recombinant expression system, purified to homogeneity, and precisely dispensed to produce robust and highly reproducible lot-to-lot consistency. Only top-performing clones are released for use by researchers. Each antibody is validated for high specificity and affinity across multiple applications, including its most commonly used application. ZooMAb® antibodies are reliably available and ready to ship when you need them.

Immunogen

KLH-conjugated linear peptide corresponding to 23 amino acids from the C-terminal region of human Histone Deacetylase 3.

Application

Quality Control Testing

Evaluated by Western Blotting in HeLa cell lysate.

Western Blotting Analysis: A 1:10,000 dilution of this antibody detected HDAC3 in HeLa cell lysate.

Tested applications

Western Blotting Analysis: A 1:10,000 dilution from a representative lot detected HDAC3 in C2C12, Cos7, and PC12 cell lysates.

Immunocytochemistry Analysis: A 1:1,000 dilution from a representative lot detected HDAC3 in HeLa, A431, HUVEC and NIH 3T3 cells.

Affinity Binding Assay: A representative lot of this antibody bound HDAC3 with a KD of 7.4 x 10-7 in an affinity binding assay.

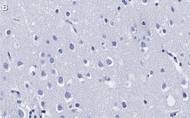
Immunohistochemistry (Paraffin) Analysis: A 1:100 dilution from a representative lot detected HDAC3 in human cerebral cortex tissue sections.

Note: Actual optimal working dilutions must be determined by end user as specimens, and experimental conditions may vary with the end user

Biochem/physiol Actions

Clone 1H19 is a ZooMAb® Rabbit recombinant monoclonal antibody that specifically detects Histone Deacetylase 3 (HDAC3). It targets an epitope within 23 amino acids from the C-terminal region.

Physical form

Purified recombinant rabbit monoclonal antibody IgG, lyophilized in PBS, 5% Trehalose, normal appearance a coarse or translucent resin. The PBS/trehalose components in the ZooMAb formulation can have the appearance of a semi-solid (bead like gel) after lyophilization. This is a normal phenomenon. Please follow the recommended reconstitution procedure in the data sheet to dissolve the semi-solid, bead-like, gel-appearing material. The resulting antibody solution is completely stable and functional as proven by full functional testing. Contains no biocide or preservatives, such as azide, or any animal by-products. Larger pack sizes provided as multiples of 25 μL.

Preparation Note

Recommend storage of lyophilized product at 2-8°C; Before reconstitution, micro-centrifuge vials briefly to spin down material to bottom of the vial; Reconstitute each vial by adding 25 μL of filtered lab grade water or PBS; Reconstituted antibodies can be stored at 2-8°C, or -20°C for long term storage. Avoid repeated freeze-thaws.
Reconstitute lyophilized antibody pellet with 25μL of ultrapure water or Phosphate Buffered Saline (PBS). Please refer to our reconstitution protocol and the specific application guidance on the suggested starting dilutions and sample type.

Legal Information

ZooMAb is a registered trademark of Merck KGaA, Darmstadt, Germany

Disclaimer

Unless otherwise stated in our catalog or other company documentation accompanying the product(s), our products are intended for research use only and are not to be used for any other purpose, which includes but is not limited to, unauthorized commercial uses, in vitro diagnostic uses, ex vivo or in vivo therapeutic uses or any type of consumption or application to humans or animals.


Still not finding the right product?

Try our Product Selector Tool to narrow your options


Storage Class

13 - Non Combustible Solids

wgk

WGK 1

flash_point_f

Not applicable

flash_point_c

Not applicable

Regulatory Information

常规特殊物品

This item has



Choose from one of the most recent versions:

Certificates of Analysis (COA)

Lot/Batch Number

Don't see the Right Version?

If you require a particular version, you can look up a specific certificate by the Lot or Batch number.

Already Own This Product?

Find documentation for the products that you have recently purchased in the Document Library.

Visit the Document Library



Global Trade Item Number

SKUGTIN
ZRB1725-25UL04065267550350
ZRB1725-4X25UL04065267550367