Sign In to View Organizational & Contract Pricing.
Select a Size
Change View
About This Item
NACRES:
NA.41
UNSPSC Code:
12352203
Conjugate:
unconjugated
Clone:
CL1912, monoclonal
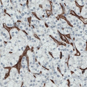
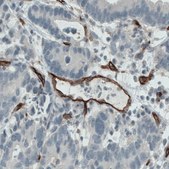
Application:
IHC
Citations:
8
biological source
mouse
Quality Level
conjugate
unconjugated
antibody form
purified immunoglobulin
antibody product type
primary antibodies
clone
CL1912, monoclonal
product line
Prestige Antibodies® Powered by Atlas Antibodies
form
buffered aqueous glycerol solution
species reactivity
human
technique(s)
immunohistochemistry: 1:500- 1:1000
isotype
IgG1
UniProt accession no.
shipped in
wet ice
storage temp.
−20°C
target post-translational modification
unmodified
Gene Information
human ... ENG(2022)
Immunogen
endoglin
Application
All Prestige Antibodies Powered by Atlas Antibodies are developed and validated by the Human Protein Atlas (HPA) project and as a result, are supported by the most extensive characterization in the industry.
The Human Protein Atlas project can be subdivided into three efforts: Human Tissue Atlas, Cancer Atlas, and Human Cell Atlas. The antibodies that have been generated in support of the Tissue and Cancer Atlas projects have been tested by immunohistochemistry against hundreds of normal and disease tissues and through the recent efforts of the Human Cell Atlas project, many have been characterized by immunofluorescence to map the human proteome not only at the tissue level but now at the subcellular level. These images and the collection of this vast data set can be viewed on the Human Protein Atlas (HPA) site by clicking on the Image Gallery link. We also provide Prestige Antibodies® protocols and other useful information.
The Human Protein Atlas project can be subdivided into three efforts: Human Tissue Atlas, Cancer Atlas, and Human Cell Atlas. The antibodies that have been generated in support of the Tissue and Cancer Atlas projects have been tested by immunohistochemistry against hundreds of normal and disease tissues and through the recent efforts of the Human Cell Atlas project, many have been characterized by immunofluorescence to map the human proteome not only at the tissue level but now at the subcellular level. These images and the collection of this vast data set can be viewed on the Human Protein Atlas (HPA) site by clicking on the Image Gallery link. We also provide Prestige Antibodies® protocols and other useful information.
Monoclonal Anti-ENG Prestige Antibodies® Powered by Atlas Antibodies is developed and validated by the Human Protein Atlas (HPA) project . Each antibody is tested by immunohistochemistry against hundreds of normal and disease tissues. These images can be viewed on the Human Protein Atlas (HPA) site by clicking on the Image Gallery link. The antibodies are also tested using protein array and western blotting. To view these protocols and other useful information about Prestige Antibodies and the HPA, visit sigma.com/ Prestige.
Features and Benefits
Prestige Antibodies® are highly characterized and extensively validated antibodies with the added benefit of all available characterization data for each target being accessible via the Human Protein Atlas portal linked just below the product name at the top of this page. The uniqueness and low cross-reactivity of the Prestige Antibodies® to other proteins are due to a thorough selection of antigen regions, affinity purification, and stringent selection. Prestige antigen controls are available for every corresponding Prestige Antibody and can be found in the linkage section.
Every Prestige Antibody is tested in the following ways:
Every Prestige Antibody is tested in the following ways:
- IHC tissue array of 44 normal human tissues and 20 of the most common cancer type tissues.
- Protein array of 364 human recombinant protein fragments.
Physical form
Phospate buffered saline, pH 7.2, containing 40% glycerol and 0.02% sodium azide
Legal Information
Prestige Antibodies is a registered trademark of Merck KGaA, Darmstadt, Germany
Disclaimer
Unless otherwise stated in our catalog or other company documentation accompanying the product(s), our products are intended for research use only and are not to be used for any other purpose, which includes but is not limited to, unauthorized commercial uses, in vitro diagnostic uses, ex vivo or in vivo therapeutic uses or any type of consumption or application to humans or animals.
Still not finding the right product?
Try our Product Selector Tool to narrow your options
Storage Class
10 - Combustible liquids
wgk
WGK 1
flash_point_f
Not applicable
flash_point_c
Not applicable
Regulatory Information
低风险生物材料
常规特殊物品
This item has
Choose from one of the most recent versions:
Already Own This Product?
Find documentation for the products that you have recently purchased in the Document Library.
S Stritt et al.
Journal of thrombosis and haemostasis : JTH, 12(8), 1364-1371 (2014-06-10)
Blood platelets are small anucleated cell fragments generated from bone marrow megakaryocytes (MKs) by a cytoskeleton-driven process. Thereby, mature MKs form long cytoplasmic protrusions (pro-platelets), which extend into the sinusoids within the bone marrow and finally release platelets. Podosomes are
Steffen Boettcher et al.
Blood, 124(9), 1393-1403 (2014-07-06)
Systemic bacterial infection induces a hematopoietic response program termed "emergency granulopoiesis" that is characterized by increased de novo bone marrow (BM) neutrophil production. How loss of local immune control and bacterial dissemination is sensed and subsequently translated into the switch
Sang-Soon Lee et al.
The Journal of craniofacial surgery, 25(5), 1902-1907 (2014-08-08)
The use of smartphones is expanding rapidly around the world, thus raising the concern of possible harmful effects of radiofrequency generated by smartphones. We hypothesized that Wi-Fi signals from smartphones may have harmful influence on adipose-derived stem cells (ASCs). An
Global Trade Item Number
| SKU | GTIN |
|---|---|
| AMAB90925-100UL | 04061837048524 |
| AMAB90925-25UL | 04061841686804 |