Skip to Content
Merck
CN

SAB5702929

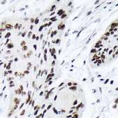
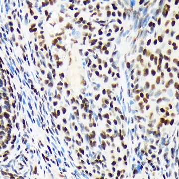
Anti-ARID1A Antibody, clone 9D4J6, Rabbit Monoclonal

Synonym(s):

B120, BAF250, BAF250a, BM029, C1orf4, CSS2, ELD, MRD14, OSA1, P270, SMARCF1, hELD, hOSA1

Sign In to View Organizational & Contract Pricing.

Select a Size

Change View

About This Item

NACRES:
NA.46
UNSPSC Code:
12352203
Conjugate:
unconjugated
Clone:
9D4J6, monoclonal
Application:
IF, IHC, WB
Citations:
-
Technical Service
Need help? Our team of experienced scientists is here for you.
Let Us Assist


biological source

rabbit

Quality Level

conjugate

unconjugated

material

colorless

clone

9D4J6, monoclonal

form

liquid

mol wt

270 kDa

species reactivity

rat, human

concentration

0.8 mg/mL

technique(s)

immunofluorescence: 1:50 - 1:200, immunohistochemistry: 1:50 - 1:200, western blot: 1:500 - 1:2000

color

colorless

isotype

IgG

immunogen sequence

SMTPNPGYQPSMNTSDMMGRMSYEPNKDPYGSMRKAPGSDPFMSSGQGPNGGMGDPYSRAAGPGLGNVAMGPRQHYPYGGPYDRVRTEPGIGPEGNMSTGAPQPNLMPSNP

UniProt accession no.

shipped in

wet ice

storage temp.

−20°C

target post-translational modification

unmodified

Gene Information

human ... ARID1A(8289)

General description

This gene encodes a member of the SWI/SNF family, whose members have helicase and ATPase activities and are thought to regulate transcription of certain genes by altering the chromatin structure around those genes. The encoded protein is part of the large ATP-dependent chromatin remodeling complex SNF/SWI, which is required for transcriptional activation of genes normally repressed by chromatin. It possesses at least two conserved domains that could be important for its function. First, it has a DNA-binding domain that can specifically bind an AT-rich DNA sequence known to be recognized by a SNF/SWI complex at the beta-globin locus. Second, the C-terminus of the protein can stimulate glucocorticoid receptor-dependent transcriptional activation. It is thought that the protein encoded by this gene confers specificity to the SNF/SWI complex and may recruit the complex to its targets through either protein-DNA or protein-protein interactions. Two transcript variants encoding different isoforms have been found for this gene. [provided by RefSeq, Jul 2008]

Immunogen

PBS with 0.02% sodium azide,0.05% BSA,50% glycerol,pH7.3.
Recombinant fusion protein containing a sequence corresponding to amino acids 1204-1314 of human ARID1A (O14497).

Application

WB, IHC, IF/ICC


Storage Class

10 - Combustible liquids

wgk

WGK 1

Regulatory Information

常规特殊物品

This item has



Choose from one of the most recent versions:

Certificates of Analysis (COA)

Lot/Batch Number

It looks like we've run into a problem, but you can still download Certificates of Analysis from our Documents section.

If you need assistance, please contact Customer Support

Already Own This Product?

Find documentation for the products that you have recently purchased in the Document Library.

Visit the Document Library



Global Trade Item Number

SKUGTIN
SAB5702929-100UL04065270707550