ExpressMag® Transduction System
ExpressMag® Delivery—Magnify Your Results
Magnetic beads that further improve lentiviral-based delivery to non-transfectable cells.
- Increase transduction efficiencies up to 10 fold
- Accelerate the transduction process by an entire day
- Universal solution for cell lines, primary cells, and suspension cultures
- Synchronize and target viral delivery
- Concentrate the viral dose onto cells for maximum performance
- Validated for use with MISSION® shRNA lentiviral particles

Figure 1.Suspension HEK293T cells were transduced with MISSION® TurboGFP™ control lentiviral particles (Product No. SHC003V). Cells were transduced with a MOI of 1 and incubated for 49 hours. A) Traditional transduction with Polybrene. B) Cells transduced using ExpressMag® system.
Overview of the ExpressMag® System
The ExpressMag® system is designed to work with a variety of viruses, and has been specifically validated to support the MISSION® lentiviral shRNA products. Lentiviral particles are known to improve delivery of genetic information to target cells compared to plasmid-based transfection. However, many cell types are still considered difficult to transduce with lentiviral particles (primary cells, suspension cells, etc.). ExpressMag® combines the use of magnetic beads with lentiviral particles to further improve delivery to recalcitrant cells.
When ExpressMag® is mixed with MISSION® lentiviral particles, the particles bind to the proprietary polymeric shell. This mixture is added into the tissue culture media already on the cells. No media change is required. The tissue culture plate or flask is then placed over an ExpressMag® magnetic plate for 15 minutes. During this step, the magnetic nanoparticles are rapidly pulled into contact with the cell surface. The increase in the local concentration of viral particles significantly increases the transduction efficiency. Culture plates are then returned to the incubator, and your experiment proceeds according to your standard protocol. The only difference is that your transduction efficiency is rapidly increased and your results have been magnified.
How does ExpressMag® Delivery Fit into Your shRNA Project?
ExpressMag® delivery should be introduced into your project at the optimization stage of your transduction. After the appropriate cell line has been selected for your project, determine whether the cells are easily susceptible to lentiviral delivery (recommended to use the MISSION® TurboGFP™ control lentiviral particles, Product No. SHC003V). If the cell line is difficult to transduce using standard methods, consider introducing ExpressMag® reagents into your experiment. ExpressMag® beads may be used with MISSION® lentiviral particles at standard titer (1 × 106 TU/ml) or can be combined with high titer virus obtained through our custom large-scale offering.
Utilizing your protocol that is currently working, simply add ExpressMag® in at the transduction step. Start with your current viral titer in one well and perform order of two fold reductions in viral load down to an MOI (Multiplicity of Infection) of 1. While ExpressMag® has been demonstrated to be non-toxic in a variety of cell lines, always include a negative control virus (Product No. SHC002V) and ExpressMag® beads alone.
ExpressMag® Product Information
There are two magnetic plates available in the ExpressMag® line. The ExpressMag® Super Magnetic Plate Product No. SHM04) can be used in conjunction with all standard multi-well plates, tissue culture dishes up to 5 cm, and tissue culture flasks up to T-75. The ExpressMag® 96-Well Magnetic Plate Product No. SHM05) has been optimized for assays in 96-well plate format.


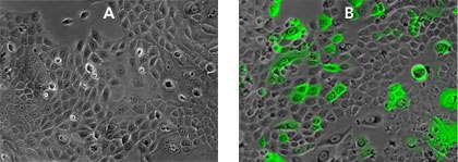
Figure 2.Primary keratinocytes transduced with MISSION® TurboGFP™ control lentiviral particles (Product No. SHC003V) using ExpressMag® beads with an MOI of 1. A) Traditional transduction with Polybrene. B) Cells tranduced with ExpressMag® beads.
*For protocols contact MISSION® RNAi
Contact Us
For questions about ExpressMag® or other MISSION® lentiviral/RNAi products, please email us.
MISSION® ExpressMag® System FAQ
MISSION is a registered trademark of Sigma-Aldrich Co. LLC
ExpressMag is a registered trademark of Sigma-Aldrich.
TurboGFP is a trademark of Evrogen.
View the label license of the MISSION® lentiviral shRNA collection.
To continue reading please sign in or create an account.
Don't Have An Account?