跳转至内容
Merck
CN

04-855

抗-GluR1抗体,克隆C3T,兔单克隆

culture supernatant, clone C3T, Upstate®

别名:

Anti-GluA1, Anti-GluR-1, Anti-GluR-A, Anti-GluR-K1, Anti-GluR1

登录 查看组织和合同定价。

选择尺寸

变更视图

关于此项目

UNSPSC Code:
12352203
NACRES:
NA.41
eCl@ss:
32160702
Conjugate:
unconjugated
Clone:
C3T, monoclonal
Application:
IHC, IP, WB
Citations:
34
技术服务
需要帮助?我们经验丰富的科学家团队随时乐意为您服务。
让我们为您提供帮助


biological source

rabbit

Quality Level

conjugate

unconjugated

antibody form

culture supernatant

antibody product type

primary antibodies

clone

C3T, monoclonal

species reactivity

human, chimpanzee, rat, mouse

manufacturer/tradename

Upstate®

technique(s)

immunohistochemistry: suitable, immunoprecipitation (IP): suitable, western blot: suitable

isotype

IgG

NCBI accession no.

UniProt accession no.

shipped in

dry ice

target post-translational modification

unmodified

Gene Information

human ... GRIA1(2890)

General description

106 kDa
L谷氨酸是中枢神经系统中主要的兴奋性神经递质。谷氨酸能神经传递涉及正常脑功能的大多数方面,并且在许多神经病理学条件下都可能受到干扰。代谢型谷氨酸受体是G蛋白偶联受体家族,已分为3组。第一组包括GRM1,这些受体已显示可激活磷脂酶C。据报道,GRM1在大脑和脊髓的各个区域表达。EST已从大脑和眼睛库中分离出来。

Immunogen

对应于人GluR1氨基酸858-868(..TLPRNSGAGAS..)(成熟人GluR1氨基酸840-850)的KLH结合合成肽

Application

免疫沉淀在大鼠脑微粒体制剂中,2 μL先前批次的产品已对GluR1进行了免疫沉淀。

免疫组织化学:该抗体的先前批次已显示可检测人,小鼠和大鼠组织中的GluR1。
抗GluR1抗体,克隆C3T,可检测GluR1的水平 & 已出版&并经过验证可用于IH、IP&WB。
研究子类别
神经递质 & 受体
研究类别
神经科学

Biochem/physiol Actions

可识别GluR1,Mr 106 kDa。
根据100%序列同源性预测会与黑猩猩发生交叉反应。

Physical form

0.05% 叠氮化钠中的培养上清液

Preparation Note

自运送之日起在-20°C可稳定保存2年。避免反复冻融。为了最大程度地回收产品,在融化后和取下盖子之前,将原始样品瓶进行离心。

Analysis Note

对照
已通过免疫印迹对大鼠脑微粒体制剂(12-144)进行常规评估
已通过蛋白免疫印迹对大鼠脑微粒体制剂进行了常规评估。

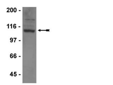
蛋白质印迹分析(WB):该批次的1:5,000 -1:10,000稀释液已在大鼠脑微粒体制剂(目录号12-144)中检测到GluR1。

Other Notes

替代:05-855

Legal Information

UPSTATE is a registered trademark of Merck KGaA, Darmstadt, Germany

Disclaimer

除非我们的产品目录或产品附带的其他公司文档另有说明,否则我们的产品仅供研究使用,不得用于任何其他目的,包括但不限于未经授权的商业用途、体外诊断用途、离体或体内治疗用途或任何类型的消费或应用于人类或动物。


Still not finding the right product?

试用我们的 产品选型工具 工具缩小选择范围


存储类别

10 - Combustible liquids

wgk

WGK 2



分析证书(COA)

输入产品批号来搜索 分析证书(COA) 。批号可以在产品标签上"批“ (Lot或Batch)字后找到。

已有该产品?

在文件库中查找您最近购买产品的文档。

访问文档库



Gonadectomy differentially regulates steroid receptor coactivator-1 and synaptic proteins in the hippocampus of adult female and male C57BL/6 mice.
Chen Bian,Kongjiang Zhu,Li Yang,Sen Lin,Shurong Li,Bingyin Su,Jiqiang Zhang
Synapse null
Jacque P K Ip et al.
The Journal of neuroscience : the official journal of the Society for Neuroscience, 38(16), 3890-3900 (2018-03-16)
Microdeletion of a region in chromosome 16p11.2 increases susceptibility to autism. Although this region contains exons of 29 genes, disrupting only a small segment of the region, which spans five genes, is sufficient to cause autistic traits. One candidate gene
The striatal mosaic in primates: striosomes and matrix are differentially enriched in ionotropic glutamate receptor subunits.
Martin, L J, et al.
The Journal of Neuroscience, 13, 782-792 (1993)



全球贸易项目编号

货号GTIN
04-85504053252623066