跳转至内容
Merck
CN

05-1049

抗-Met(胞外)抗体,克隆4F8.2

clone 4F8.2, from mouse

别名:

HGF receptor, HGF/SF receptor, Met proto-oncogene tyrosine kinase, SF receptor, Scatter factor receptor, met proto-oncogene, met proto-oncogene (hepatocyte growth factor receptor), oncogene MET

登录 查看组织和合同定价。

选择尺寸

变更视图

关于此项目

UNSPSC Code:
12352203
NACRES:
NA.41
eCl@ss:
32160702
Conjugate:
unconjugated
Clone:
4F8.2, monoclonal
Application:
IHC, WB
Citations:
6
技术服务
需要帮助?我们经验丰富的科学家团队随时乐意为您服务。
让我们为您提供帮助


biological source

mouse

Quality Level

conjugate

unconjugated

antibody form

purified antibody

antibody product type

primary antibodies

clone

4F8.2, monoclonal

species reactivity

human

technique(s)

immunohistochemistry: suitable (paraffin), western blot: suitable

isotype

IgG2bκ

NCBI accession no.

UniProt accession no.

shipped in

wet ice

target post-translational modification

unmodified

Gene Information

human ... MET(4233)

General description

170 kDa
原癌基因Met(c-Met、HGF/SF受体、HGFR)是一种受体酪氨酸激酶,通过肝细胞生长因子(HGF)激活。该基因刺激Tyr1234/Tyr1235 的自磷酸化,导致上皮细胞中多效性下游信号传导事件( pleiotropic downstream signaling event),该信号传导事件刺激多种细胞过程,包括细胞增殖、生长、分化、细胞迁移/侵袭和肿瘤发生。 这些作用受到结合c-Met 的C 末端尾的含SH2 结构域蛋白介导。癌细胞中Met的长期刺激在癌症转移中起一定作用,c-Met活性失调与瘤形成直接相关,这使其成为重要的癌症靶点。

Immunogen

与人Met氨基酸80-434相对应的GST融合蛋白
表位:胞外结构域(N末端)

Application

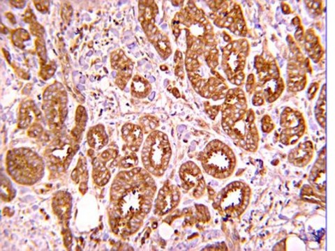
使用经验证可用于IH(P) & WB的抗-Met(细胞外)抗体(克隆4F8.2)检测Met(细胞外)。
研究子范畴
生长因子 & 受体
研究类别
信号传导
蛋白质印迹分析:
该批次的1:1,000的稀释液,通过 SDS-PAGE并转移到 PVDF,在溶解的HEK293 细胞裂解液中检测到 Met。

免疫组化分析:

Biochem/physiol Actions

检测细胞外结构域上的Met

Physical form

形式:纯化
溶于含0.05%NaN3的0.1M Tris-甘氨酸(pH7.4)、150mM NaCl中的纯化小鼠单克隆抗体。
蛋白G纯化

Preparation Note

自收到之日起在2-8°C可稳定保存1年。
处理建议:收到后,在取下瓶盖之前,将小瓶离心并轻轻混合溶液。

Analysis Note

通过蛋白质印迹进行常规评估。

蛋白质印迹分析:

Other Notes

替代:05-237
浓度:请参考批次特异性浓缩物的检验报告。

Disclaimer

除非我们的产品目录或产品附带的其他公司文档另有说明,否则我们的产品仅供研究使用,不得用于任何其他目的,包括但不限于未经授权的商业用途、体外诊断用途、离体或体内治疗用途或任何类型的消费或应用于人类或动物。


Still not finding the right product?

试用我们的 产品选型工具 工具缩小选择范围


存储类别

12 - Non Combustible Liquids

wgk

WGK 1

flash_point_f

Not applicable

flash_point_c

Not applicable



分析证书(COA)

输入产品批号来搜索 分析证书(COA) 。批号可以在产品标签上"批“ (Lot或Batch)字后找到。

已有该产品?

在文件库中查找您最近购买产品的文档。

访问文档库



D1398G Variant of MET Is Associated with Impaired Signaling of Hepatocyte Growth Factor in Alveolar Epithelial Cells and Lung Fibroblasts.
Atanelishvili, et al.
PLoS ONE, 11, e0162357-e0162357 (2020)
Nolan L Boyd et al.
Tissue engineering. Part A, 19(1-2), 211-223 (2012-09-14)
The microvasculature is principally composed of two cell types: endothelium and mural support cells. Multiple sources are available for human endothelial cells (ECs) but sources for human microvascular mural cells (MCs) are limited. We derived multipotent mesenchymal progenitor cells from
Charles Finsterwald et al.
The European journal of neuroscience, 34(7), 1053-1061 (2011-09-08)
Acquisition of a mature dendritic morphology is critical for neural information processing. In particular, hepatocyte growth factor (HGF) controls dendritic arborization during brain development. However, the cellular mechanisms underlying the effects of HGF on dendritic growth remain elusive. Here, we