跳转至内容
Merck
CN

05-1109

Anti-Pro-Insulin C-Peptide Antibody, clone C-PEP-01

clone C-PEP-01, from mouse

别名:

CD220 antigen, insulin receptor

登录 查看组织和合同定价。

选择尺寸

变更视图

关于此项目

UNSPSC Code:
12352203
NACRES:
NA.41
eCl@ss:
32160702
Conjugate:
unconjugated
Clone:
C-PEP-01, monoclonal
Application:
IHC
Citations:
5
技术服务
需要帮助?我们经验丰富的科学家团队随时乐意为您服务。
让我们为您提供帮助


biological source

mouse

Quality Level

conjugate

unconjugated

antibody form

purified immunoglobulin

antibody product type

primary antibodies

clone

C-PEP-01, monoclonal

species reactivity

human

technique(s)

immunohistochemistry: suitable (paraffin)

isotype

IgG1

UniProt accession no.

shipped in

wet ice

target post-translational modification

unmodified

Gene Information

human ... INS(3630)

General description

Approx. 12 kDa
Pro-Insulin consists of the three parts: C-peptide and two long strands of amino acids (alpha and beta chains; later become linked together to form the Insulin molecule). From every molecule of Pro-Insulin, one molecule of Insulin plus one molecule of C-peptide are produced. C-peptide is released into the blood stream in equal amounts to Insulin.

Immunogen

Synthetic C-peptide of human pro-insulin conjugated to bovine serum albumin.

Application

Research Category
Signaling
Research Sub Category
Insulin/Energy Signaling
This Anti-Pro-Insulin C-Peptide Antibody, clone C-PEP-01 is validated for use in IH(P) for the detection of Pro-Insulin C-Peptide.

Biochem/physiol Actions

No cross-reactivity with Insulin or other peptide hormones or proteins was observed.
The antibody C-PEP-01 reacts specifically with C-peptide, a part of the Pro-insulin molecule.

Physical form

Format: Purified
Mouse monoclonal IgG1 in phosphate buffered saline, pH7.4, and 15 mM sodium azide.
Sequential precipitation with caprylic acid and ammonium sulfate.

Preparation Note

Store at 2-8°C and use within 1 year from date of receipt.

Analysis Note

Control
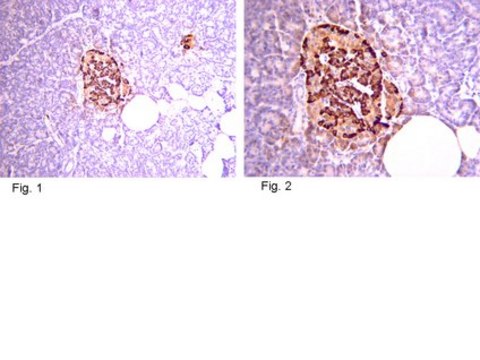
Human normal pancreas tissue
Evaluated by Immunohistochemistry in normal human pancreas.
Immunohistochemistry Analysis: A 1:100 dilution of this antibody detected insulin in human normal pancreas tissue.

Other Notes

Concentration: Please refer to the Certificate of Analysis for the lot-specific concentration.
Replaces: CBL94

Disclaimer

Unless otherwise stated in our catalog or other company documentation accompanying the product(s), our products are intended for research use only and are not to be used for any other purpose, which includes but is not limited to, unauthorized commercial uses, in vitro diagnostic uses, ex vivo or in vivo therapeutic uses or any type of consumption or application to humans or animals.


Still not finding the right product?

试用我们的 产品选型工具 工具缩小选择范围


存储类别

12 - Non Combustible Liquids

wgk

WGK 2

flash_point_f

Not applicable

flash_point_c

Not applicable



分析证书(COA)

输入产品批号来搜索 分析证书(COA) 。批号可以在产品标签上"批“ (Lot或Batch)字后找到。

已有该产品?

在文件库中查找您最近购买产品的文档。

访问文档库



Sapna Puri et al.
Nature communications, 9(1), 485-485 (2018-02-06)
Pancreatic β cells are highly specialized to regulate systemic glucose levels by secreting insulin. In adults, increase in β-cell mass is limited due to brakes on cell replication. In contrast, proliferation is robust in neonatal β cells that are functionally
Human oocytes reprogram adult somatic nuclei of a type 1 diabetic to diploid pluripotent stem cells.
Yamada, Mitsutoshi, et al.
Nature (2014)
Haiqing Hua et al.
The Journal of clinical investigation, 123(7), 3146-3153 (2013-06-20)
Diabetes is a disorder characterized by loss of β cell mass and/or β cell function, leading to deficiency of insulin relative to metabolic need. To determine whether stem cell-derived β cells recapitulate molecular-physiological phenotypes of a diabetic subject, we generated



全球贸易项目编号

货号GTIN
05-110904053252676529