跳转至内容
Merck
CN

05-1135

抗PDGFR抗体,克隆CH-3

clone CH-3, from mouse

别名:

Platelet Derived Growth Factor Receptor Beta, PDGF-R-beta, PDGFR-beta, Beta platelet-derived growth factor receptor, Beta-type platelet-derived growth factor receptor, CD140 antigen-like family member B, Platelet-derived growth factor receptor 1, PDGFR-1

登录 查看组织和合同定价。

选择尺寸

变更视图

关于此项目

UNSPSC Code:
12352203
NACRES:
NA.41
eCl@ss:
32160702
Conjugate:
unconjugated
Clone:
CH-3, monoclonal
Application:
ELISA, IHC, WB
Citations:
1
技术服务
需要帮助?我们经验丰富的科学家团队随时乐意为您服务。
让我们为您提供帮助


biological source

mouse

Quality Level

conjugate

unconjugated

antibody form

purified immunoglobulin

antibody product type

primary antibodies

clone

CH-3, monoclonal

species reactivity

human, mouse

species reactivity (predicted by homology)

rat

packaging

antibody small pack of 25 μg

technique(s)

ELISA: suitable, immunohistochemistry: suitable (paraffin), western blot: suitable

isotype

IgG1

UniProt accession no.

shipped in

ambient

target post-translational modification

unmodified

Gene Information

human ... PDGFRB(5159)

General description

211 个氨基酸;24043Da
PDGFR(血小板衍生生长因子受体)是 PDGF 生长因子家族的受体酪氨酸激酶。PDGF 同型和异型二聚体(A(17 kDa)和 B(14 kDa)链的二聚体(AA、AB 或BB)与两个结构相关的 a 和 b PDGF 受体(PDGFRa 和 PDGFRb)结合。A 型 PDGF 受体以高亲和力结合所有三种 PDGF,而 B 型 PDGF 受体对 PDGF-BB 具有选择性。这种结合导致受体的二聚化,并随后发生受体酪氨酸激酶(RTK)的激酶活化及其自磷酸化。这些磷酸化作用使各种蛋白质(例如 PI3 激酶、PLCg 和 Grb2)可以通过其 SH2 域结合并将信号转导到细胞中。PDGFFR 的激活触发胞内环并激活 Ras、Erk1/2 和 ROS。PDGFb 参与胚胎发育、血管生成和神经胶质来源的肿瘤的发展。

Immunogen

重组血小板衍生生长因子受体

Application

ELISA: 先前批次的该抗体用于 ELISA。

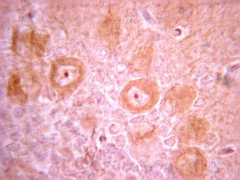
免疫组化(石蜡):先前批次抗体的代表性图像。
柠檬酸 pH 6.0 抗原决定簇提取对 PDGF-A 的最佳染色:大鼠脑
研究子类别
生长因子&受体
研究类别
信号传导

凋亡 & 癌症
该抗 PDGFR 抗体克隆 CH-3 已验证可用于 WB、ELISA、IH(P)中的 PDGFR 检测。

Physical form

在含 20 mM 磷酸钠,250 mM NaCl,0.1% NaN3,pH7.6 的缓冲液中的纯化的小鼠单克隆 IgG1。7.6
形式:纯化的
纯化的蛋白 A

Preparation Note

自收到之日起,未稀释的等分试样在 + 2-8°C 下可保存长达一年。

Analysis Note

对照
Jurkat 细胞裂解液
通过蛋白质印迹在 Jurkat 裂解液中进行了常规评估。

蛋白质印迹分析: 该批次的抗体以 1:500 的稀释度在 10 μg Jurkat 裂解液中检测到 PDGFR。

Other Notes

替代:04-397
浓度:请参考批次特异性浓缩物的分析证书。

Disclaimer

除非我们的产品目录或产品附带的其他公司文档另有说明,否则我们的产品仅供研究使用,不得用于任何其他目的,包括但不限于未经授权的商业用途、体外诊断用途、离体或体内治疗用途或任何类型的消费或应用于人类或动物。


Still not finding the right product?

试用我们的 产品选型工具 工具缩小选择范围


wgk

WGK 2

flash_point_f

Not applicable

flash_point_c

Not applicable

存储类别

12 - Non Combustible Liquids

法规信息

新产品

此项目有



分析证书(COA)

输入产品批号来搜索 分析证书(COA) 。批号可以在产品标签上"批“ (Lot或Batch)字后找到。

已有该产品?

在文件库中查找您最近购买产品的文档。

访问文档库



Bandar Alshehri et al.
Scientific reports, 10(1), 4189-4189 (2020-03-08)
Transthyretin (TTR) is a protein that binds and distributes thyroid hormones (THs) in blood and cerebrospinal fluid. Previously, two reports identified TTR null mice as hypothyroid in the central nervous system (CNS). This prompted our investigations into developmentally regulated TH-dependent