跳转至内容
Merck
CN

05-1308

抗-泛素抗体,Lys63 特异性,克隆Apu3,兔单克隆

clone Apu3, from rabbit

别名:

Lys63特异性泛素抗体, 克隆Apu3抗泛素抗体, 抗泛素

登录 查看组织和合同定价。

选择尺寸

变更视图

关于此项目

UNSPSC Code:
12352203
NACRES:
NA.41
eCl@ss:
32160702
Conjugate:
unconjugated
Clone:
Apu3, monoclonal
Application:
ICC, IHC, IP, WB, cell based assay
Citations:
105
技术服务
需要帮助?我们经验丰富的科学家团队随时乐意为您服务。
让我们为您提供帮助


biological source

rabbit

Quality Level

conjugate

unconjugated

antibody form

purified antibody

antibody product type

primary antibodies

clone

Apu3, monoclonal

species reactivity

rat, human, mouse, rabbit

technique(s)

cell based assay: suitable, immunocytochemistry: suitable, immunohistochemistry: suitable, immunoprecipitation (IP): suitable, western blot: suitable

isotype

IgG

UniProt accession no.

shipped in

wet ice

target post-translational modification

unmodified

Gene Information

human ... UBAP2(55833)

General description

变化
提供双泛素蛋白!
双泛素(Lys63连接)重组蛋白(17-10388
通过泛素(Ub)的Lys63残基连接的聚泛素链与非蛋白水解功能(例如信号转导)相关。Lys63连接的polyUb链以高度受控的方式连接NFκB信号的成分,遗传证据表明Lys63连接的Ub链参与应激反应和DNA修复。在酵母中的研究表明,Lys63连接的Ub链刺激内吞作用。

相反,通过泛素的Lys48残基连接的多聚泛素链最常与靶向蛋白质体降解的蛋白质相关。

Immunogen

使用的免疫原是在Lys63连接的人双泛素。
表位:Lys63泛素化位点

Application

免疫沉淀:
兔单克隆抗泛素(Lys-63特异性),克隆Apu3,从HeLa细胞裂解液中沉淀出含泛素的蛋白。

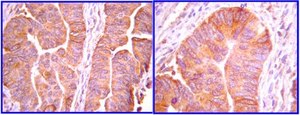
免疫组织化学:
大肠癌组织切片的泛素(Lys63特异性)染色仅限于肿瘤细胞。

流式细胞术:
使用抗泛素Lys63特异性(#05-1308)(蓝色)和兔IgG对照(红色)对Jurkat细胞进行流式细胞术分析。

抑制试验:
抗泛素,Lys63特异性与K63-多泛素链的预孵育在蛋白印迹中抑制了与HeLa细胞裂解液的结合。

免疫细胞化学:
大肠癌组织切片的泛素(Lys63特异性)染色仅限于肿瘤细胞。 在小鼠,大鼠和兔子的脑切片中也检测到阳性染色。
抗泛素抗体,Lys63特异性,克隆Apu3是一种用于检测泛素的高质量兔单克隆抗体,已在抑制试验(PIA)、免疫细胞化学(ICC)、免疫沉淀(IP)、免疫组织化学(IHC)和蛋白质印迹(WB)中得到验证。
研究子类别
泛素 & 泛素代谢
研究类别
信号传导

Biochem/physiol Actions

基于序列同源性,预计具有广泛的物种交叉反应性。
识别Lys63连接的泛素。 不识别在Lys48连接的泛素或游离泛素。

Physical form

形式:纯化
蛋白A纯化
蛋白A纯化的重组兔单克隆抗体,由与CHO重组抗体系统中产生的兔Fc尾融合的人源化fAb片段组成。在0.1M Tris-甘氨酸(pH 7.4),150 mM NaCl和0.05% 叠氮化钠中提供。

Preparation Note

自收到之日起,在-8°C条件下可稳定保存1年。
为最大程度地回收产品,在打开瓶盖之前先将小瓶离心。

Analysis Note

蛋白免疫印迹分析:
该抗体的1:1000稀释液通过蛋白质印迹检测到Lys-63泛素链,但未检测到游离泛素或Lys48多聚泛素链。
对照
Lys63多泛素链。

Disclaimer

除非我们的产品目录或产品附带的其他公司文档另有说明,否则我们的产品仅供研究使用,不得用于任何其他目的,包括但不限于未经授权的商业用途、体外诊断用途、离体或体内治疗用途或任何类型的消费或应用于人类或动物。


Still not finding the right product?

试用我们的 产品选型工具 工具缩小选择范围


存储类别

12 - Non Combustible Liquids

wgk

WGK 1



分析证书(COA)

输入产品批号来搜索 分析证书(COA) 。批号可以在产品标签上"批“ (Lot或Batch)字后找到。

已有该产品?

在文件库中查找您最近购买产品的文档。

访问文档库



Gustavo M Silva et al.
Nature structural & molecular biology, 22(2), 116-123 (2015-01-27)
Ubiquitination is a post-translational modification that signals multiple processes, including protein degradation, trafficking and DNA repair. Polyubiquitin accumulates globally during the oxidative stress response, and this has been mainly attributed to increased ubiquitin conjugation and perturbations in protein degradation. Here
CARMA1 controls Th2 cell-specific cytokine expression through regulating JunB and GATA3 transcription factors.
Blonska, M; Joo, D; Zweidler-McKay, PA; Zhao, Q; Lin, X
Journal of immunology (Baltimore, Md. : 1950) (1950)
Unique insights into maternal mitochondrial inheritance in mice.
Luo, SM; Ge, ZJ; Wang, ZW; Jiang, ZZ; Wang, ZB; Ouyang, YC; Hou, Y; Schatten, H; Sun, QY
Proceedings of the National Academy of Sciences of the USA null



全球贸易项目编号

货号GTIN
05-130804053252478048