跳转至内容
Merck
CN

05-1416

Anti-CD45 Antibody, clone IBL-5/25

clone IBL-5/25, from rat

别名:

CD45 associated protein, CD45-associated protein, Lymphocyte phosphatase-associated phosphoprotein, PTPRC-associated protein, protein tyrosine phosphatase, receptor type, C-associated protein, protein tyrosine phosphatase, receptor type, c

polyp

登录 查看组织和合同定价。

选择尺寸

变更视图

关于此项目

UNSPSC Code:
12352203
NACRES:
NA.41
eCl@ss:
32160702
Conjugate:
unconjugated
Clone:
IBL-5/25, monoclonal
Application:
FACS, IHC
Citations:
8
技术服务
需要帮助?我们经验丰富的科学家团队随时乐意为您服务。
让我们为您提供帮助


biological source

rat

Quality Level

conjugate

unconjugated

antibody form

purified immunoglobulin

antibody product type

primary antibodies

clone

IBL-5/25, monoclonal

species reactivity

mouse

technique(s)

flow cytometry: suitable, immunohistochemistry: suitable

isotype

IgG

NCBI accession no.

UniProt accession no.

shipped in

wet ice

target post-translational modification

unmodified

Gene Information

mouse ... Ptprc(19264)

General description

CD45 is a receptor-tyrosine phosphatase required for antigen-induced signaling in T-cells and B-cells; its substrates are unknown. Interestingly, it associates with several Src-family tyrosine kinases, which are inhibited by tyrosine phosphorylation in their c-termini, suggesting a mechanism for signaling by CD45.
Approx. 147 kDa

Immunogen

Mouse lymph node cells.

Application

Anti-CD45 Antibody, clone IBL-5/25 is an antibody against CD45 for use in FC, IH.
Flow Cytometry Analysis: A previous lot detected CD45, clone IBL-5/25 in mouse peripheral blood lymphocytes

Biochem/physiol Actions

Reactivity with other species has not been determined.
This antibody reacts with all isoforms of mouse CD45 which is expressed on all haematopoietic cells except erythrocytes.
FUSION PARTNER: SP2/0 myeloma cell line

Physical form

Format: Purified
Purified rat monoclonal IgG in phosphate buffered saline containing 10 mM sodium azide.

Preparation Note

Store at 2-8°C for 12 months from date of receipt.

Analysis Note

Control
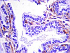
Mouse colon tissue
Evaluated by Immunohistochemistry in mouse colon tissue.
Immunohistochemistry Analysis: 1:100 dilution of this antibody detected CD45 in mouse colon tissue.

Other Notes

Concentration: Please refer to the Certificate of Analysis for the lot-specific concentration.
Replaces: CBL1326


Still not finding the right product?

试用我们的 产品选型工具 工具缩小选择范围


存储类别

12 - Non Combustible Liquids

wgk

WGK 2

flash_point_f

Not applicable

flash_point_c

Not applicable



分析证书(COA)

输入产品批号来搜索 分析证书(COA) 。批号可以在产品标签上"批“ (Lot或Batch)字后找到。

已有该产品?

在文件库中查找您最近购买产品的文档。

访问文档库



Oxidative stress, inflammation, and autophagic stress as the key mechanisms of premature age-related hearing loss in SAMP8 mouse Cochlea.
Menardo, Julien, et al.
Antioxidants & Redox Signaling, 16, 263-274 (2012)
Aleksandra Vukojicic et al.
Cell reports, 29(10), 3087-3100 (2019-12-05)
Movement is an essential behavior requiring the assembly and refinement of spinal motor circuits. However, the mechanisms responsible for circuit refinement and synapse maintenance are poorly understood. Similarly, the molecular mechanisms by which gene mutations cause dysfunction and elimination of
Merkel Cell Polyomavirus Small T Antigen Induces Cancer and Embryonic Merkel Cell Proliferation in a Transgenic Mouse Model.
Shuda, M; Guastafierro, A; Geng, X; Shuda, Y; Ostrowski, SM; Lukianov, S; Jenkins et al.
Testing null