跳转至内容
Merck
CN

05-1427

Anti-ARF1 Antibody, clone 3F1

clone 3F1, from mouse

别名:

ADP-ribosylation factor 1

登录 查看组织和合同定价。

选择尺寸

变更视图

关于此项目

UNSPSC Code:
12352203
NACRES:
NA.41
eCl@ss:
32160702
Conjugate:
unconjugated
Clone:
3F1, monoclonal
Application:
ELISA, IHC, WB
Citations:
-
技术服务
需要帮助?我们经验丰富的科学家团队随时乐意为您服务。
让我们为您提供帮助


biological source

mouse

Quality Level

conjugate

unconjugated

antibody form

purified immunoglobulin

antibody product type

primary antibodies

clone

3F1, monoclonal

species reactivity

rat, human, mouse

technique(s)

ELISA: suitable, immunohistochemistry: suitable (paraffin), western blot: suitable

isotype

IgG2a

NCBI accession no.

UniProt accession no.

shipped in

wet ice

target post-translational modification

unmodified

Gene Information

human ... ARF1(375)
mouse ... Arf1(11840)

General description

ARF1 is a member of the ARF family of small G proteins and is a component of Golgi-derived non-clathrin coated vesicles. This antibody is class 1 ARF specific.
~21 kDa

Immunogen

Synthetic peptide corresponding to the C-terminal amino acid sequence of human ARF1.

Application

Anti-ARF1 Antibody, clone 3F1 detects level of ARF1 & has been published & validated for use in WB, ELISA, IH(P).
ELISA: A previous lot of this antibody was used in ELISA.
Optimal working dilutions must be determined by end user.

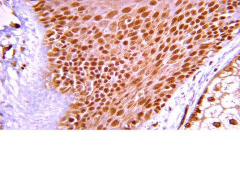
Immunohistochemistry(paraffin): Representative testing from a previous lot.
Optimal Staining of ARF1 Monoclonal Antibody: Skin & Breast Cancer

Biochem/physiol Actions

Recognizes human ARF1

Physical form

Format: Purified
Purified mouse monoclonal IgG2a in 0.02 M phosphate buffer, 0.25 M NaCl, pH 7.6, with 0.1% sodium azide

Analysis Note

Routinely evaluated by Western Blot on HeLa lysates.

Western Blot Analysis: 1:500 dilution of this lot detected ARF1 on 10 μg of HeLa lysates.

Other Notes

Replaces: MAB3779


Still not finding the right product?

试用我们的 产品选型工具 工具缩小选择范围


存储类别

12 - Non Combustible Liquids

wgk

WGK 2

flash_point_f

Not applicable

flash_point_c

Not applicable



分析证书(COA)

输入产品批号来搜索 分析证书(COA) 。批号可以在产品标签上"批“ (Lot或Batch)字后找到。

已有该产品?

在文件库中查找您最近购买产品的文档。

访问文档库



全球贸易项目编号

货号GTIN
05-142704053252277665