跳转至内容
Merck
CN

05-1431

抗酪蛋白激酶2α 抗体,1AD9

clone 1AD9, from mouse

别名:

CK2 catalytic subunit alpha, CKII alpha, Casein kinase II subunit alpha, Casein kinase 2, alpha 1 polypeptide, Casein kinase II alpha 1 subunit, Casein kinase II-alpha subunit, Protein kinase CK2

登录 查看组织和合同定价。

选择尺寸

变更视图

关于此项目

UNSPSC Code:
12352203
NACRES:
NA.41
eCl@ss:
32160702
Conjugate:
unconjugated
Clone:
1AD9, monoclonal
Application:
ICC, IHC, IP, WB
Citations:
1
技术服务
需要帮助?我们经验丰富的科学家团队随时乐意为您服务。
让我们为您提供帮助


biological source

mouse

Quality Level

conjugate

unconjugated

antibody form

purified immunoglobulin

antibody product type

primary antibodies

clone

1AD9, monoclonal

species reactivity

human, mouse, rat

technique(s)

immunocytochemistry: suitable, immunohistochemistry: suitable (paraffin), immunoprecipitation (IP): suitable, western blot: suitable

isotype

IgG1

NCBI accession no.

UniProt accession no.

shipped in

wet ice

target post-translational modification

unmodified

Gene Information

human ... CSNK2A1(1457)

General description

44kda
与大多数丝氨酸/苏氨酸激酶不同,酪蛋白激酶(CKs)不会被特定的刺激激活,但本质上具有组成性活性。CK1自磷酸化,导致失活,蛋白质磷酸酶重新激活该激酶。CKs的底物很多,但其功能尚不清楚,这可能是由于缺乏明显的调控。认为CK1亚型参与了对DNA损伤的反应,而CK2水平在许多类型的癌症中均升高。

Immunogen

表位:α和α′亚基共同的区域
酪蛋白激酶2的纯化重组α-亚基。

Application

免疫沉淀推荐

免疫细胞化学:该抗体的先前批次以5 μg/mL的稀释度使用(仅限丙酮或甲醇固定)。
最佳工作稀释度必须由最终用户确定。

免疫组织化学(石蜡):先前批次的代表性检测。
酪蛋白激酶2单克隆抗体的最佳染色:S-KB-3细胞
抗酪蛋白激酶2α 抗体,1AD9可检测酪蛋白激酶2水平α &已出版&,并经过验证可用于IC,WB,IH(P) & IP。
研究子类别
发育信号转导
研究类别
信号传导

凋亡 & 癌症

Biochem/physiol Actions

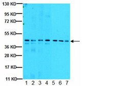
该抗体与酪蛋白激酶2(CK-2α)的催化α-亚基特异性结合。 该抗体可免疫沉淀分子量为44 kD,CK-2α亚基的蛋白质。 26 kD蛋白带,即异四聚体全酶α2β2的β-亚基,与CK-2α 亚基共沉淀。 在肾脏组织提取物的蛋白质印迹中,该抗体可检测40至44 kDa之间的各种蛋白质条带。 使用1 μg/ml的抗体,全酶的检测下限在蛋白质印迹中为500 ng,在斑点印迹中为100 ng;α-亚基的检测限分别为300 ng和60 ng。

Physical form

形式:纯化
纯化
纯化的小鼠单克隆IgG1,溶于含有0.02 M磷酸盐(pH 7.6)、0.25 M NaCl和0.1%叠氮化钠的缓冲液中。

Preparation Note

收到货后,在2-8°C,以未稀释等分形式可最多稳定保存6个月

Analysis Note

对照
HeLa细胞裂解液
通过蛋白质印迹对PC12裂解液进行常规评估。

蛋白质印迹分析: 该批次的抗体以1:500的稀释度在10 μg PC12裂解液中检测到神经丝。

Other Notes

替代:04-1129
浓度:请参考批次特异性浓缩物的分析证书。

Disclaimer

除非我们的产品目录或产品附带的其他公司文档另有说明,否则我们的产品仅供研究使用,不得用于任何其他目的,包括但不限于未经授权的商业用途、体外诊断用途、离体或体内治疗用途或任何类型的消费或应用于人类或动物。


Still not finding the right product?

试用我们的 产品选型工具 工具缩小选择范围


存储类别

12 - Non Combustible Liquids

wgk

WGK 2

flash_point_f

Not applicable

flash_point_c

Not applicable



分析证书(COA)

输入产品批号来搜索 分析证书(COA) 。批号可以在产品标签上"批“ (Lot或Batch)字后找到。

已有该产品?

在文件库中查找您最近购买产品的文档。

访问文档库



Ji-Eun Kim et al.
International journal of molecular sciences, 21(24) (2020-12-23)
Both α-amino-3-hydroxy-5-methylisoxazole-4-propionic acid receptor (AMPAR) and N-methyl-D-aspartate receptor (NMDAR) have been reported as targets for treatment of epilepsy. To investigate the roles and interactions of AMPAR and NMDAR in ictogenesis of epileptic hippocampus, we analyzed AMPAR antagonists (perampanel and GYKI



全球贸易项目编号

货号GTIN
05-143104053252319846