跳转至内容
Merck
CN

05-880

Anti-Thrombin Antibody, clone GMA-020

clone GMA-020, Upstate®, from mouse

登录 查看组织和合同定价。

选择尺寸

变更视图

关于此项目

UNSPSC Code:
12352203
NACRES:
NA.41
eCl@ss:
32160702
Conjugate:
unconjugated
Clone:
GMA-020, monoclonal
Application:
WB
Citations:
7
技术服务
需要帮助?我们经验丰富的科学家团队随时乐意为您服务。
让我们为您提供帮助


biological source

mouse

Quality Level

conjugate

unconjugated

antibody form

purified antibody

antibody product type

primary antibodies

clone

GMA-020, monoclonal

species reactivity

human

manufacturer/tradename

Upstate®

technique(s)

western blot: suitable

isotype

IgG1

NCBI accession no.

UniProt accession no.

shipped in

dry ice

target post-translational modification

unmodified

Gene Information

human ... F2(2147)

General description

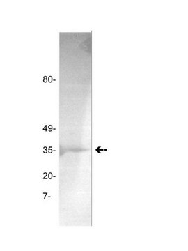
Mr 31kDa

Immunogen

purified human thrombin

Application

Research Sub Category
Inflammation & Autoimmune Mechanisms
Anti-Thrombin Antibody, clone GMA-020 is an antibody against Thrombin for use in WB.
Research Category
Inflammation & Immunology

Biochem/physiol Actions

thrombin

Physical form

DEAE purified
Format: Purified

Preparation Note

stable 2 years at -20°C from date of shipment

Analysis Note

routinely evaluated by immunoblot on human thrombin

Legal Information

UPSTATE is a registered trademark of Merck KGaA, Darmstadt, Germany

Disclaimer

Unless otherwise stated in our catalog or other company documentation accompanying the product(s), our products are intended for research use only and are not to be used for any other purpose, which includes but is not limited to, unauthorized commercial uses, in vitro diagnostic uses, ex vivo or in vivo therapeutic uses or any type of consumption or application to humans or animals.


Still not finding the right product?

试用我们的 产品选型工具 工具缩小选择范围


存储类别

11 - Combustible Solids

wgk

WGK 3



分析证书(COA)

输入产品批号来搜索 分析证书(COA) 。批号可以在产品标签上"批“ (Lot或Batch)字后找到。

已有该产品?

在文件库中查找您最近购买产品的文档。

访问文档库



A review of the therapeutic uses of thrombin.
Lundblad, Roger L, et al.
Thrombosis and Haemostasis, 91, 851-860 (2004)
Bivalent direct thrombin inhibitors: hirudin and bivalirudin.
Warkentin, Theodore E
Best Practice & Research. Clinical Haematology, 17, 105-125 (2004)
The role of the tissue factor-thrombin pathway in cardiac ischemia-reperfusion injury.
Mackman, Nigel
Seminars in Vascular Medicine, 3, 193-198 (2003)