跳转至内容
Merck
CN

06-1102

Anti-Protein patched homolog 1 Antibody

from rabbit, purified by affinity chromatography

别名:

PTCH protein +12b, PTCH protein +4′, PTCH protein -10, patched (Drosophila) homolog, patched homolog (Drosophila), patched homolog 1 (Drosophila)

登录 查看组织和合同定价。

选择尺寸

变更视图

关于此项目

UNSPSC Code:
12352203
NACRES:
NA.41
eCl@ss:
32160702
Conjugate:
unconjugated
Clone:
polyclonal
Application:
IHC, WB
Citations:
4
技术服务
需要帮助?我们经验丰富的科学家团队随时乐意为您服务。
让我们为您提供帮助


Quality Level

biological source

rabbit

conjugate

unconjugated

antibody form

affinity isolated antibody

antibody product type

primary antibodies

clone

polyclonal

purified by

affinity chromatography

species reactivity

mouse, human

technique(s)

immunohistochemistry: suitable, western blot: suitable

NCBI accession no.

UniProt accession no.

shipped in

wet ice

target post-translational modification

unmodified

Gene Information

human ... PTCH1(5727)

General description

Protein patched homolog 1 is a receptor for sonic hedgehog, a member of the hedgehog family of cell signaling proteins. Hedgehog signaling is regulated by Protein patched homolog 1 which keeps the pathway turned off in the absences of activation. This inhibits the function of associated downstream network components such as Smoothened (Smo).
~ 160 kDa

Immunogen

Epitope: Cytoplasmic domain
KLH-conjugated linear peptide corresponding to the cytoplasmic domain of human Protein patched homolog 1.

Application

Anti-Protein patched homolog 1 Antibody detects level of Protein patched homolog 1 & has been published & validated for use in WB, IH.
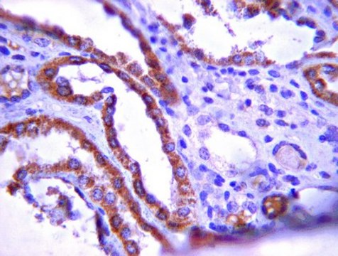
Immunohistochemistry Analysis: 1:300 dilution from a previous lot detected Protein patched homolog 1 in kidney tissue.
Research Category
Signaling

Biochem/physiol Actions

This antibody recognizes the cytoplasmic domain of Protein patched homolog 1.

Physical form

Affinity purified
Purified rabbit polyclonal in buffer containing 0.1 M Tris-Glycine (pH 7.4, 150 mM NaCl) with 0.05% sodium azide.

Preparation Note

Stable for 1 year at 2-8°C from date of receipt.

Analysis Note

Control
Human skeletal muscle, fetal tissue lysate
Evaluated by Western Blot in human skeletal muscle, fetal tissue lysate.

Western Blot Analysis: 0.1 µg/ml of this antibody detected Protein patched homolog 1 on 10 µg of human skeletal muscle, fetal tissue lysate.

Other Notes

Concentration: Please refer to the Certificate of Analysis for the lot-specific concentration.

Disclaimer

Unless otherwise stated in our catalog or other company documentation accompanying the product(s), our products are intended for research use only and are not to be used for any other purpose, which includes but is not limited to, unauthorized commercial uses, in vitro diagnostic uses, ex vivo or in vivo therapeutic uses or any type of consumption or application to humans or animals.


Still not finding the right product?

试用我们的 产品选型工具 工具缩小选择范围


存储类别

12 - Non Combustible Liquids

wgk

WGK 1

flash_point_f

Not applicable

flash_point_c

Not applicable



分析证书(COA)

输入产品批号来搜索 分析证书(COA) 。批号可以在产品标签上"批“ (Lot或Batch)字后找到。

已有该产品?

在文件库中查找您最近购买产品的文档。

访问文档库



Claudia M Kowolik et al.
Journal of experimental & clinical cancer research : CR, 38(1), 431-431 (2019-10-30)
Pancreatic cancer is one of the most lethal malignancies due to frequent late diagnosis, aggressive tumor growth and metastasis formation. Continuously raising incidence rates of pancreatic cancer and a lack of significant improvement in survival rates over the past 30 years
Chao Tang et al.
Cell regeneration (London, England), 12(1), 3-3 (2023-02-01)
The overlapping roles of Hippo and Hedgehog signaling in biological functions and diseases prompt us to investigate their potential interactions. Activation of Hippo signaling enhances the transcriptional output of Hedgehog signaling, and the role of Hippo signaling in regulating Hedgehog
Chengyun Xu et al.
Mucosal immunology, 11(5), 1306-1315 (2018-06-06)
Sonic hedgehog (SHH) is abundantly expressed and critical for morphogenesis in embryonic lungs; however, SHH expression drops to a much lower level in mice from E17.5 and in humans from the 21st gestational week. We find that SHH expression is