跳转至内容
Merck
CN

06-1115

抗白细胞介素-18 (IL-18) 抗体

from rabbit, purified by affinity chromatography

别名:

interleukin 18 (interferon-gamma-inducing factor), IL-1 gamma, IFN-gamma-inducing factor, iboctadekin, interleukin-18, Interleukin-1 gamma, Iboctadekin, Interferon gamma-inducing factor

登录 查看组织和合同定价。

选择尺寸

变更视图

关于此项目

UNSPSC Code:
12352203
NACRES:
NA.41
eCl@ss:
32160702
Conjugate:
unconjugated
Clone:
polyclonal
Application:
IHC, WB
Citations:
1
技术服务
需要帮助?我们经验丰富的科学家团队随时乐意为您服务。
让我们为您提供帮助


biological source

rabbit

Quality Level

conjugate

unconjugated

antibody form

affinity isolated antibody

antibody product type

primary antibodies

clone

polyclonal

purified by

affinity chromatography

species reactivity

human

species reactivity (predicted by homology)

rhesus macaque (based on 100% sequence homology), chimpanzee (based on 100% sequence homology), primate (based on 100% sequence homology)

technique(s)

immunohistochemistry: suitable (paraffin), western blot: suitable

NCBI accession no.

UniProt accession no.

shipped in

wet ice

target post-translational modification

unmodified

Gene Information

human ... IL18(3606)

General description

IL-18已被证明是诱导干扰素-γ的促炎细胞因子。还发现IL-18具有激活核因子-κB(NFkB),表达Fas配体,诱导CC和CXC趋化因子的能力,并且还发现IL-18具有增加活的人免疫缺陷病毒的产生的能力。IL-18与表现出慢性低水平炎症症状的综合征有关。IL-18似乎还对中枢神经系统的稳态和行为以及神经炎症活动具有一定的控制作用。
观测值〜22 kDa

Immunogen

对应于人白介素-18的KLH缀合的线性肽。

Application

研究子类别
细胞因子&细胞因子受体
研究类别
炎症 & 免疫学
蛋白质印迹法(Snap i.d.)分析:5 µg/mL先前批次在10 µg人扁桃体组织裂解液中检测到IL-18。

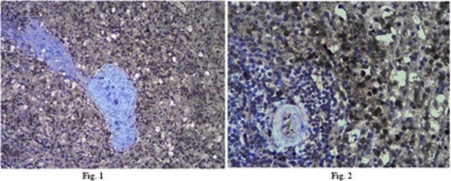
免疫组织化学分析:先前批次的1:600稀释液在正常人脾脏组织中检测到IL-18。
该抗白介素-18(IL-18)抗体经过验证可用在 WB,IH(P)中检测白介素-18(IL-18)。

Physical form

亲和纯化
纯化的兔多克隆抗体,溶于含有0.1 M Tris-甘氨酸(pH 7.4)、150 mM NaCl和0.05%叠氮化钠的缓冲液中。

Preparation Note

自收到之日起,在2-8°C条件下可稳定保存1年。

Analysis Note

对照
人扁桃体组织裂解液
已通过蛋白质印迹法在人扁桃体组织裂解液中进行了评估。

蛋白质印迹分析:0.5 µg/mL的该抗体在10 µg人扁桃体组织裂解液中检测到IL-18。

Other Notes

浓度:请参考批次特异性浓缩物的分析证书。

Disclaimer

除非我们的产品目录或产品附带的其他公司文档另有说明,否则我们的产品仅供研究使用,不得用于任何其他目的,包括但不限于未经授权的商业用途、体外诊断用途、离体或体内治疗用途或任何类型的消费或应用于人类或动物。


Still not finding the right product?

试用我们的 产品选型工具 工具缩小选择范围


存储类别

12 - Non Combustible Liquids

wgk

WGK 1

flash_point_f

Not applicable

flash_point_c

Not applicable



分析证书(COA)

输入产品批号来搜索 分析证书(COA) 。批号可以在产品标签上"批“ (Lot或Batch)字后找到。

已有该产品?

在文件库中查找您最近购买产品的文档。

访问文档库



C Baldini et al.
Journal of internal medicine, 274(5), 480-489 (2013-08-03)
Innate and adaptive immunity may contribute to gland dysfunction in patients with primary Sjögren's syndrome (pSS). The P2X7 receptor (P2X7 R)-NLRP3 inflammasome complex modulates the release of the inflammatory cytokines IL-1β and IL-18. The presence of P2X7 R in salivary