跳转至内容
Merck
CN

06-284

抗硝基酪氨酸抗体

Upstate®, from rabbit

别名:

抗硝酪氨酸抗体, 检测抗体, 硝酪氨酸检测抗体

登录 查看组织和合同定价。

选择尺寸

变更视图

关于此项目

UNSPSC Code:
12352203
NACRES:
NA.41
eCl@ss:
32160702
Clone:
polyclonal
Technique(s):
immunocytochemistry: suitable, immunohistochemistry: suitable, immunoprecipitation (IP): suitable, western blot: suitable
Application:
ICC, IHC, IP, WB
Citations:
318
技术服务
需要帮助?我们经验丰富的科学家团队随时乐意为您服务。
让我们为您提供帮助


biological source

rabbit

Quality Level

antibody form

affinity purified immunoglobulin

antibody product type

primary antibodies

clone

polyclonal

species reactivity (predicted by homology)

all

manufacturer/tradename

Upstate®

technique(s)

immunocytochemistry: suitable, immunohistochemistry: suitable, immunoprecipitation (IP): suitable, western blot: suitable

isotype

IgG

shipped in

dry ice

target post-translational modification

unmodified

Gene Information

human ... NOS1(4842)

General description

硝化BSA的预测分子量:85 kDa
硝基酪氨酸已被确定为细胞损伤和炎症以及NO产生的指标。人们认为,测量硝基酪氨酸的浓度将作为细胞内NO引起损伤的标志物。先前的研究表明,在诸如动脉粥样硬化斑块和类风湿性关节炎等炎症性疾病中发现了硝基酪氨酸。

Immunogen

硝化KLH

Application

  • 免疫细胞化学分析:在固定和渗透的A-431细胞中,用5mM过氧亚硝酸盐处理15分钟,从代表性批次中提取1:20 00稀释。
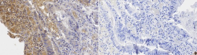
  • 免疫组织化学的应用:代表性批次在人类结肠癌、人类阿尔茨海默氏症大脑和人类糖尿病肾组织切片中检测到硝基酪氨酸。
  • 注意:实际最佳工作稀释度必须由最终用户确定,因为样本和实验条件可能会因最终用户而有所不同
研究子类别
神经递质&受体

神经退行性疾病
该兔多克隆硝基酪氨酸抗体(目录号06-284)经验证可用于蛋白质印迹、免疫组织化学、免疫细胞化学中硝基酪氨酸的检测。

Biochem/physiol Actions

识别被硝化的蛋白质。

Physical form

免疫亲和纯化
形式:纯化
纯化兔IgG,溶于含0.1 M Tris-甘氨酸、0.15 M NaCl(pH 7.4)、0.05%叠氮化钠和10 mg/mL BSA的缓冲液中

Preparation Note

自收到之日起在-20°C可稳定保存1年。避免反复冻融。为了最大程度地回收产品,在融化后和取下盖子之前,将原始样品瓶进行离心。

Analysis Note

通过免疫印迹法对硝基酪氨酸免疫印迹对照(目录号12-354)进行了常规评估

Legal Information

UPSTATE is a registered trademark of Merck KGaA, Darmstadt, Germany

Disclaimer

除非我们的产品目录或产品附带的其他公司文档另有说明,否则我们的产品仅供研究使用,不得用于任何其他目的,包括但不限于未经授权的商业用途、体外诊断用途、离体或体内治疗用途或任何类型的消费或应用于人类或动物。


Still not finding the right product?

Explore all of our products under 抗硝基酪氨酸抗体

或者

试用我们的 产品选型工具 工具缩小选择范围


存储类别

12 - Non Combustible Liquids

wgk

WGK 2

flash_point_f

Not applicable

flash_point_c

Not applicable



分析证书(COA)

输入产品批号来搜索 分析证书(COA) 。批号可以在产品标签上"批“ (Lot或Batch)字后找到。

已有该产品?

在文件库中查找您最近购买产品的文档。

访问文档库



Reactive nitrogen species contribute to blood-labyrinth barrier disruption in suppurative labyrinthitis complicating experimental pneumococcal meningitis in the rat
Kastenbauer, S., et al
Brain Research, 904, 208-217 (2001)
Free 3-nitrotyrosine causes striatal neurodegeneration in vivo
Mihm, M. J., et al
The Journal of Neuroscience, 21, RC149-RC149 (2001)
A Perner et al.
Gut, 49(3), 387-394 (2001-08-21)
Luminal nitric oxide (NO) is greatly increased in the colon of patients with collagenous and ulcerative colitis. To define the source and consequence of enhanced NO production we have studied expression of NO synthase (NOS) isoforms and nitrotyrosine in mucosal



全球贸易项目编号

货号GTIN
06-28408436037124471