跳转至内容
Merck
CN

06-711

Anti-FADD Antibody

Upstate®, from rabbit

别名:

FAS-associating death domain-containing protein, Growth-inhibiting gene 3 protein, Mediator of receptor induced toxicity, Protein FADD

登录 查看组织和合同定价。

选择尺寸

变更视图

关于此项目

UNSPSC Code:
12352203
NACRES:
NA.41
eCl@ss:
32160702
Conjugate:
unconjugated
Clone:
polyclonal
Application:
IHC, WB
Citations:
13
技术服务
需要帮助?我们经验丰富的科学家团队随时乐意为您服务。
让我们为您提供帮助


biological source

rabbit

Quality Level

conjugate

unconjugated

antibody form

affinity purified immunoglobulin

antibody product type

primary antibodies

clone

polyclonal

purified by

affinity chromatography

species reactivity

human

manufacturer/tradename

Upstate®

technique(s)

immunohistochemistry: suitable (paraffin), western blot: suitable

isotype

IgG

NCBI accession no.

UniProt accession no.

shipped in

dry ice

target post-translational modification

unmodified

Gene Information

human ... FADD(8772)

General description

FAS-associated death domain protein (UniProt: Q13158; also known as FAS-associating death domain-containing protein, Growth-inhibiting gene 3 protein, Mediator of receptor induced toxicity, Protein FADD) is encoded by the FADD (also known as MORT1, GIG3) gene (Gene ID: 8772) in human. FADD is an apoptotic adaptor molecule that bridges death receptor signaling to the caspase cascade. It is expressed in a wide variety of tissues, except for peripheral blood mononuclear leukocytes. FADD contains a death domain at its C-terminus and a death effector domain (DED) at its N-terminal. The death domain is responsible for FADD binding to the activated trimerized Fas receptor. FADD recruits procaspase-8 through its N-terminal DED, which is then activated following the cleavage of pro domain. The death inducing signaling complex (DISC) formed by Fas receptor, FADD, and caspase-8 is essential in triggering apoptotic events in cells. Human FADD is phosphorylated mainly at Ser194. Defects in FADD gene have been linked to recurrent infections, hepatic dysfunction, and cardiovascular malformations. These subjects display high circulating levels of CD4(-) and CD8(-) cells and elevated levels of IL-10.
~26 kDa observed; 23.28 kDa calculated. Uncharacterized bands may be observed in some lysate(s).

Immunogen

His-tagged full-length human recombinant FAS-associated death domain protein.

Application

Detect FAS-associated death domain protein using this rabbit polyclonal Anti-FADD, Cat. No. 06-711. It has been tested for use in Immunohistochemistry (Paraffin) and Western Blotting.
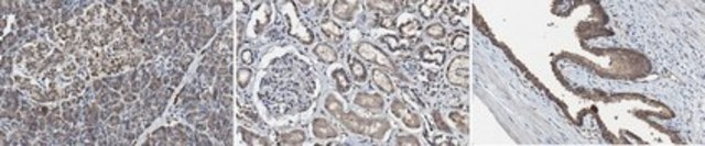
Immunohistochemistry Analysis: A 1:250 dilution of this antibody detected FADD in human pancreas, human kidney, and human prostate tissue.
Research Category
Apoptosis & Cancer
Research Sub Category
Apoptosis - Additional

Biochem/physiol Actions

This polyclonal antibody detects FADD protein in human cells.

Physical form

ImmunoAffinity Purified
Purified rabbit polyclonal antibody in buffer containing 0.1 M Tris-Glycine (pH 7.4), 150 mM NaCl with 0.05% sodium azide.

Preparation Note

Stable for 1 year at 2-8°C from date of receipt.

Analysis Note

Control
Positive Antigen Control: Catalog #12-303, Jurkat cell lysate.
Evaluated by Western Blotting in Jurkat cell lysate.

Western Blotting Analysis: 0.2 µg/mL of this antibody detected FADD in 10 µg of Jurkat cell lysate.

Other Notes

Concentration: Please refer to lot specific datasheet.
Replaces: 04-1113

Legal Information

UPSTATE is a registered trademark of Merck KGaA, Darmstadt, Germany

Disclaimer

Unless otherwise stated in our catalog or other company documentation accompanying the product(s), our products are intended for research use only and are not to be used for any other purpose, which includes but is not limited to, unauthorized commercial uses, in vitro diagnostic uses, ex vivo or in vivo therapeutic uses or any type of consumption or application to humans or animals.


Still not finding the right product?

试用我们的 产品选型工具 工具缩小选择范围


存储类别

12 - Non Combustible Liquids

wgk

WGK 1

flash_point_f

Not applicable

flash_point_c

Not applicable



分析证书(COA)

输入产品批号来搜索 分析证书(COA) 。批号可以在产品标签上"批“ (Lot或Batch)字后找到。

已有该产品?

在文件库中查找您最近购买产品的文档。

访问文档库



Molecular determinants of kinase pathway activation by Apo2 ligand/tumor necrosis factor-related apoptosis-inducing ligand.
Varfolomeev, E; Maecker, H; Sharp, D; Lawrence, D; Renz, M; Vucic, D; Ashkenazi, A
The Journal of Biological Chemistry null
Akt-phosphorylated mitogen-activated kinase-activating death domain protein (MADD) inhibits TRAIL-induced apoptosis by blocking Fas-associated death domain (FADD) association with death receptor 4.
Li, P; Jayarama, S; Ganesh, L; Mordi, D; Carr, R; Kanteti, P; Hay, N; Prabhakar, BS
The Journal of Biological Chemistry null
Teruki Yanagi et al.
PloS one, 10(3), e0119404-e0119404 (2015-03-20)
While PCTAIRE1/PCTK1/Cdk16 is overexpressed in malignant cells and is crucial in tumorigenesis, its function in apoptosis remains unclear. Here we investigated the role of PCTAIRE1 in apoptosis, especially in the extrinsic cell death pathway. Gene-knockdown of PCTAIRE1 sensitized prostate cancer