跳转至内容
Merck
CN

06-847

抗EGFR抗体

Upstate®, from rabbit

别名:

Receptor tyrosine-protein kinase ErbB-1, avian erythroblastic leukemia viral (v-erb-b) oncogene homolog, cell growth inhibiting protein 40, cell proliferation-inducing protein 61, epidermal growth factor receptor, epidermal growth factor receptor (avian

登录 查看组织和合同定价。

选择尺寸

变更视图

关于此项目

UNSPSC Code:
12352203
NACRES:
NA.41
eCl@ss:
32160702
Conjugate:
unconjugated
Clone:
polyclonal
Application:
IP, WB
Citations:
70
技术服务
需要帮助?我们经验丰富的科学家团队随时乐意为您服务。
让我们为您提供帮助


biological source

rabbit

Quality Level

conjugate

unconjugated

antibody form

purified immunoglobulin

antibody product type

primary antibodies

clone

polyclonal

species reactivity

rat, hamster, mouse, human

packaging

antibody small pack of 25 μg

manufacturer/tradename

Upstate®

technique(s)

immunoprecipitation (IP): suitable, western blot: suitable

isotype

IgG

NCBI accession no.

UniProt accession no.

shipped in

ambient

target post-translational modification

unmodified

Gene Information

hamster ... Egfr(100774580)
human ... EGFR(1956)
mouse ... Egfr(13649)
rat ... Egf(25313)

General description

180kda
表皮生长因子受体(EGFR;ErbB-1;人体中HER1)是细胞外蛋白配体中表皮生长因子家族(EGF家族)成员的细胞表面受体。表皮生长因子受体是ErbB受体家族的成员,ErbB受体家族是四个紧密相关的受体酪氨酸激酶的一个亚家族:EGFR(ErbB-1)、HER2 / c-neu(ErbB-2)、Her 3(ErbB-3)和Her 4(ErbB-4)。影响EGFR表达或活性的突变可能导致癌症。EGFR(表皮生长因子受体)存在于细胞表面,并可通过其特异性配体,包括表皮生长因子和转化生长因子 α (TGFα),的结合而被激活。通过其生长因子配体激活后,EGFR会从无活性的单体形式过渡到有活性的同型二聚体。除了在配体结合后形成同型二聚体外,EGFR还可以与ErbB受体家族的另一个成员(例如ErbB2/Her2/neu)配对,以产生活化的异二聚体。EGFR二聚化会刺激其固有的细胞内蛋白酪氨酸激酶活性。结果,会在EGFR的C端结构域中发生五个酪氨酸(Y)残基的自磷酸化。

Immunogen

卵清蛋白偶联肽(ETKPNGIFKGPTAENAEYLRVAPPSSEFIGA)符合小鼠EGF受体(EGFR)C端结构域(检索号Q01279)的氨基酸1156-1186。 免疫序列与人EGF受体序列具有28/31的相似度。

Application

免疫沉淀
4 µg先前批次的产品已在500 µg 3T3/A31 RIPA细胞裂解物中对EGFR进行了免疫沉淀。
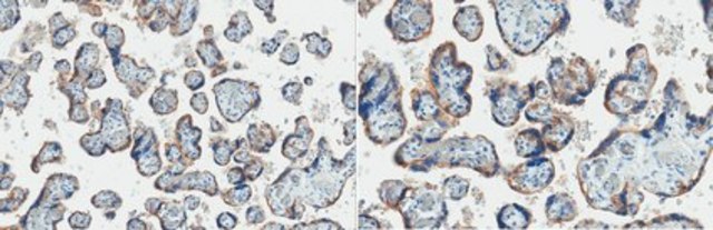
免疫组织化学(石蜡)分析:以1:500的比例稀释该抗体可在人胎盘组织切片中检测到EGFR。
抗EGFR抗体可检测EGFR水平 & 已出版 &并经过验证可用于IP 和&WB。

Biochem/physiol Actions

可识别EGFR,分子量为180 kDa。
已报到可用于检测老鼠和仓鼠。

Physical form

形式:纯化
纯化的兔多克隆IgG,溶于含有0.1M Tris甘氨酸(pH 7.4)、0.15M NaCl、0.05%叠氮化钠的缓冲液中。保存于2-8°C。

Preparation Note

自收到之日起在2-8°C可稳定保存1年。

使用建议:第一次融化后,
在取下瓶盖之前,将
小瓶离心并轻轻混合溶液。

Analysis Note

对照
阳性抗原对照:货号12-305,3T3/A31裂解液。加入2.5 μL 2-巯基乙醇/100 μL裂解液,煮沸5分钟以还原样本。在微凝胶每个泳道上样20 μg经还原的裂解液。
已在小鼠3T3/A31 RIPA细胞裂解液中通过蛋白质印迹进行了常规评估。

蛋白质印迹分析:
0.5-2 µg/mL该批次产品已从小鼠3T3/A31 RIPA细胞裂解物中检测到EGFR。

Other Notes

替代品:04-337; 04-338
浓度:请参考批次特异性浓缩物的分析证书。

Legal Information

UPSTATE is a registered trademark of Merck KGaA, Darmstadt, Germany


Still not finding the right product?

试用我们的 产品选型工具 工具缩小选择范围


存储类别

12 - Non Combustible Liquids

wgk

WGK 1

flash_point_f

Not applicable

flash_point_c

Not applicable



分析证书(COA)

输入产品批号来搜索 分析证书(COA) 。批号可以在产品标签上"批“ (Lot或Batch)字后找到。

已有该产品?

在文件库中查找您最近购买产品的文档。

访问文档库



Strongly enhanced antitumor activity of trastuzumab and pertuzumab combination treatment on HER2-positive human xenograft tumor models.
Scheuer W, Friess T, Burtscher H, Bossenmaier B, Endl J, Hasmann M
Cancer Research null
Epidermal growth factor receptor kinase activity is required for gap junction closure and for part of the decrease in ovarian follicle cGMP in response to LH.
Norris, RP; Freudzon, M; Nikolaev, VO; Jaffe, LA
Reproduction (Cambridge, England) null
Regulated intramembrane cleavage of the EGF receptor.
Hong-Jun Liao,Graham Carpenter
Traffic null



全球贸易项目编号

货号GTIN
06-847-25UG04054839337475