跳转至内容
Merck
CN

06-868

抗-GABAA受体 α1 抗体

Upstate®, from rabbit

别名:

Gamma-amino butyric acid receptor subunit alpha-1, GABA(A) receptor subunit alpha-1, gamma-aminobutyric acid (GABA) A receptor, alpha 1

登录 查看组织和合同定价。

选择尺寸

变更视图

关于此项目

UNSPSC Code:
12352203
NACRES:
NA.41
eCl@ss:
32160702
Conjugate:
unconjugated
Clone:
polyclonal
Application:
IHC, IP, WB
Citations:
67
技术服务
需要帮助?我们经验丰富的科学家团队随时乐意为您服务。
让我们为您提供帮助


biological source

rabbit

Quality Level

conjugate

unconjugated

antibody form

affinity isolated antibody

antibody product type

primary antibodies

clone

polyclonal

purified by

affinity chromatography

species reactivity

mouse, rat

manufacturer/tradename

Upstate®

technique(s)

immunohistochemistry: suitable (paraffin), immunoprecipitation (IP): suitable, western blot: suitable

NCBI accession no.

UniProt accession no.

shipped in

wet ice

target post-translational modification

unmodified

Gene Information

mouse ... Gabra1(14394)
rat ... Gabra1(29705)

General description

神经递质GABA(γ-氨基丁酸)与突触前和突触后神经元质膜中的特定跨膜受体结合。已知三类GABA受体:GABAA和GABAC(离子型)受体和GABAB(代谢型)受体。GABAA(γ-氨基丁酸A型)受体是一种多蛋白复合物,可作为配体门控的氯离子通道。这些受体是异源寡聚体,目前已知有6个亚基(a,b,g,d,e和r)。α亚基至少有6种不同的同工型,并且受体亚基的表达在发育过程中会有所不同。小脑抑制性突触的突触后受体中增加的α1亚基组装是产后发育过程中观察到的快速抑制性突触电流的原因。此外,含α1的GABAA受体在调节酒精的增强特性中很重要,并且在长期暴露于酒精后,α1亚基的表达会增加,使其成为酒精依赖性的潜在治疗靶标。
观测值〜51 kDa

Immunogen

与大鼠GABAA受体α1的N端相对应的KLH偶联的线性肽。
表位:拓扑结构域。

Application

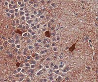
免疫组化分析:代表性批次的1:500稀释液在大鼠海马组织中检测到GABAA受体α1。

免疫沉淀分析:5 µL代表性批次免疫沉淀从大鼠脑微粒体制剂RIPA裂解液中的GABAA受体α1。
研究子类别
神经递质 & 受体
研究类别
神经科学
该抗GABAA受体α1抗体经过验证可用在IH、IP、WB中检测GABAA受体α1。

Biochem/physiol Actions

其他同源性:人(94%序列同源性)。
该抗体可识别GABAA受体α1的拓扑结构域。

Physical form

亲和纯化
纯化的兔多克隆抗体,溶于含有0.1 M Tris-甘氨酸(pH 7.4)、150 mM NaCl和0.05%叠氮化钠的缓冲液中。

Preparation Note

自收到之日起,在2-8°C条件下可稳定保存1年。

Analysis Note

对照
大鼠脑微粒体制剂组织裂解液
通过蛋白质印迹在大鼠脑微粒体制剂组织裂解液中进行了评估。

蛋白质印迹分析:该抗体的1:10,000稀释液在10 µg大鼠脑微粒体制剂组织裂解液中检测到GABAA受体α1。

Legal Information

UPSTATE is a registered trademark of Merck KGaA, Darmstadt, Germany

Disclaimer

除非我们的产品目录或产品附带的其他公司文档另有说明,否则我们的产品仅供研究使用,不得用于任何其他目的,包括但不限于未经授权的商业用途、体外诊断用途、离体或体内治疗用途或任何类型的消费或应用于人类或动物。


Still not finding the right product?

Explore all of our products under 抗-GABAA受体 α1 抗体

或者

试用我们的 产品选型工具 工具缩小选择范围


存储类别

10 - Combustible liquids

wgk

WGK 1



分析证书(COA)

输入产品批号来搜索 分析证书(COA) 。批号可以在产品标签上"批“ (Lot或Batch)字后找到。

已有该产品?

在文件库中查找您最近购买产品的文档。

访问文档库



C P Miralles et al.
The Journal of comparative neurology, 413(4), 535-548 (1999-09-25)
A novel anti-beta(3) subunit-specific GABA(A) receptor (GABA(A)R) antibody has been prepared by immunizing a rabbit with a bacterial fusion protein of the large intracellular loop of the beta(3) subunit. The antiserum immunoprecipitated the solubilized GABA(A) receptor. The anti-beta(3) antibody was
GABA(A) receptor downregulation in brains of subjects with autism.
Fatemi, SH; Reutiman, TJ; Folsom, TD; Thuras, PD
Journal of autism and developmental disorders null
Segregation of different GABAA receptors to synaptic and extrasynaptic membranes of cerebellar granule cells.
Nusser, Z, et al.
The Journal of Neuroscience, 18, 1693-1703 (1998)



全球贸易项目编号

货号GTIN
06-86804053252282829