跳转至内容
Merck
CN

07-1232

Notch 1抗体,NT

serum, from rabbit

别名:

Neurogenic locus notch homolog protein 1 precursor, Notch (Drosophila) homolog 1 (translocation-associated), Notch 1, Notch homolog 1, translocation-associated (Drosophila), Translocation-associated notch protein TAN-1, Neurogenic locus notch homolog pro

登录 查看组织和合同定价。

选择尺寸

变更视图

关于此项目

UNSPSC Code:
12352203
NACRES:
NA.41
eCl@ss:
32160702
Conjugate:
unconjugated
Clone:
polyclonal
Application:
ELISA, IHC, WB
Citations:
18
技术服务
需要帮助?我们经验丰富的科学家团队随时乐意为您服务。
让我们为您提供帮助


biological source

rabbit

Quality Level

conjugate

unconjugated

antibody form

serum

antibody product type

primary antibodies

clone

polyclonal

species reactivity

human, mouse

species reactivity (predicted by homology)

rat (immunogen homology)

technique(s)

ELISA: suitable, immunohistochemistry: suitable (paraffin), western blot: suitable

isotype

IgG

NCBI accession no.

UniProt accession no.

shipped in

wet ice

target post-translational modification

unmodified

Gene Information

human ... NOTCH1(4851)

General description

Notch是单程跨膜受体蛋白家族,在内质网中以无活性形式合成,并在识别后被反式高尔基体网络中的弗林蛋白酶样转化酶(S1裂解)在细胞外部位点进行蛋白水解裂解。RQRR序列在以异二聚体的形式到达质膜之前产生活性的,配体可及的形式。 Notch家族由4个成员(1-4)组成,其配体包括Delta和Jagged配体家族。 这些配体引起Notch的蛋白水解以释放细胞内结构域。 切割产生C末端片段N(TN)和N末端片段N(EC)。配体结合后,它被TNF-α转化酶(TACE)裂解(S2裂解),产生与膜相关的中间片段,称为Notch细胞外截短(NEXT)。然后,该片段被gly1743和val1744之间的早老素依赖性γ-分泌酶切割(S3切割),以从膜释放细胞内结构域(NICD)。该结构域易位至细胞核并通过结合DNA结合蛋白Csl启动转录事件。Notch家族成员参与细胞的分化和发育。
~80 kDa

Immunogen

来自切割的人Notch 1 N胞内结构域(NICD)的N端序列的合成肽。
表位:切割的N端

Application

ELISA:
将先前批次的抗体按1:20,000-1:60,000稀释,用于标准夹心法ELISA测定肽免疫原。

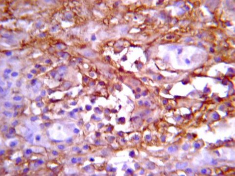
免疫组化(石蜡切片)分析:
先前批次的代表性检测。
使用柠檬酸盐缓冲液(pH 6.0)对Notch-1进行最佳染色:子宫癌

ELISA:将先前批次的抗体按1:20,000-1:60,000稀释,用于标准夹心法ELISA测定肽免疫原。
Notch 1抗体(N端)是一种检测No tch 1(又称神经源性位点Notch同源蛋白1前体)的兔多克隆抗体 & 已通过ELISA、WB、IHC(IHP)验证。
研究子类别
转录因子
研究类别
表观遗传学&核功能

Biochem/physiol Actions

Notch 1,切割的N端。仅检测到切割的胞内(活化)形式。未检测到对小鼠N2、N3或N4的反应性。该表位仅在γ分泌酶切割后暴露,并且无法获得未切割形式。
其他物种尚未经过测试。

Physical form

兔多克隆IgG血清,溶于含有0.02 M磷酸钾、0.15 M NaCl和0.1%叠氮化钠、pH 7.2的缓冲液中。

Preparation Note

自收到之日起,以未稀释的等分试样可于-20°C条件下稳定保存6个月。 避免反复冻融。
处理建议:第一次融化后,在取下瓶盖之前,将小瓶离心并轻轻混合溶液。分装到微量离心管中,并储存于-20°C。避免反复冻融循环,以免损坏IgG和影响产品性能。

Analysis Note

对照
Jurkat细胞裂解液。在胎儿组织中,使用脾脏、脑干和肺。在成人组织中,主要使用淋巴组织。
通过蛋白质印迹在Jurkat裂解物中进行了常规评估。

蛋白质印迹分析:该批次的1:500稀释液在10 μg Jurkat裂解液中检测到切割的NOTCH1。

Other Notes

替代:04-1046

Disclaimer

除非我们的产品目录或产品附带的其他公司文档另有说明,否则我们的产品仅供研究使用,不得用于任何其他目的,包括但不限于未经授权的商业用途、体外诊断用途、离体或体内治疗用途或任何类型的消费或应用于人类或动物。


Still not finding the right product?

试用我们的 产品选型工具 工具缩小选择范围


存储类别

12 - Non Combustible Liquids

wgk

WGK 2

flash_point_f

Not applicable

flash_point_c

Not applicable



分析证书(COA)

输入产品批号来搜索 分析证书(COA) 。批号可以在产品标签上"批“ (Lot或Batch)字后找到。

已有该产品?

在文件库中查找您最近购买产品的文档。

访问文档库



Dongyang Jiang et al.
Journal of the American Heart Association, 6(7) (2017-07-13)
Vascular smooth muscle cell proliferation, migration, and dedifferentiation are critical for vascular diseases. Recently, it was demonstrated that Notch receptors have opposing effects on intima formation after vessel injury. Therefore, it is important to investigate the specific regulatory pathways that
Activation of Notch signaling by short-term treatment with Jagged-1 enhances store-operated Ca(2+) entry in human pulmonary arterial smooth muscle cells.
Yamamura, H; Yamamura, A; Ko, EA; Pohl, NM; Smith, KA; Zeifman, A; Powell et al.
American Journal of Physiology. Cell Physiology null
Regulation of notch1 signaling by nrf2: implications for tissue regeneration.
Nobunao Wakabayashi,Soona Shin,Stephen L Slocum,Elin S Agoston,Junko Wakabayashi et al.
Science Signaling null



全球贸易项目编号

货号GTIN
07-123204053252671524