跳转至内容
Merck
CN

07-1348

Anti-phospho-PLK1 (Ser137) Antibody

from rabbit, purified by affinity chromatography

别名:

Polo-like kinase 1, Serine/threonine-protein kinase 13, cell cycle regulated protein kinase, polo (Drosophia)-like kinase, polo like kinase, polo-like kinase (Drosophila), polo-like kinase 1 (Drosophila)

登录 查看组织和合同定价。

选择尺寸

变更视图

关于此项目

UNSPSC Code:
12352203
NACRES:
NA.41
eCl@ss:
32160702
Clone:
polyclonal
Species reactivity:
human, mouse, rat
Application:
WB
Citations:
2
技术服务
需要帮助?我们经验丰富的科学家团队随时乐意为您服务。
让我们为您提供帮助


biological source

rabbit

Quality Level

antibody form

affinity isolated antibody

antibody product type

primary antibodies

clone

polyclonal

purified by

affinity chromatography

species reactivity

human, mouse, rat

species reactivity (predicted by homology)

bovine

technique(s)

western blot: suitable

NCBI accession no.

UniProt accession no.

shipped in

wet ice

target post-translational modification

phosphorylation (pSer137)

Gene Information

human ... PLK1(5347)

General description

68 kDa
Polo-like Kinase 1 (PLK1) is a serine/threonine-protein kinase that performs several important functions throughout M phase of the cell cycle, including the regulation of centrosome maturation and spindle assembly, the removal of cohesins from chromosome arms, the inactivation of APC/C inhibitors, and the regulation of mitotic exit and cytokinesis. Expressed PLK protein accumulates to a maximum during the G2 and M phases, declines to a nearly undetectable level following mitosis and throughout G1 phase, and then begins to accumulate again during S phase.

Immunogen

KLH-conjugated linear peptide corresponding to human phosphoylated PLK1 at and around Ser137.

Application

Detect phospho-PLK1 (Ser137) using this Anti-phospho-PLK1 (Ser137) Antibody validated for use in WB.
Research Category
Signaling
Research Sub Category
Kinases & Phosphatases
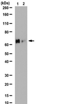
Western Blot (SNAP ID) Analysis: 0.5 µg/mL of this antibody detected PLK1 phosphorylated at Ser137 in human placenta tissue lysate.

Biochem/physiol Actions

This antibody recognizes phosphorylated PLK1 at Ser137.

Physical form

Affinity purified
Affinity purified rabbit serum in 0.1M Tris-Glycine (pH7.4), 150mM NaCl with 0.05% sodium azide.

Preparation Note

Maintain refrigerated at 2-8°C for up to 12 months.

Analysis Note

Control
Lambda phosphatase treated and untreated human placenta tissue lysate.
Evaluated by Western Blot in human placenta tissue lysate.
Western Blot Analysis: 0.5 µg/mL of this antibody detected PLK1 phosphorylated at Ser137 in lambda phosphatase treated and untreated human placenta tissue lysate.

Other Notes

Concentration: Please refer to the Certificate of Analysis for the lot-specific concentration.

Disclaimer

Unless otherwise stated in our catalog or other company documentation accompanying the product(s), our products are intended for research use only and are not to be used for any other purpose, which includes but is not limited to, unauthorized commercial uses, in vitro diagnostic uses, ex vivo or in vivo therapeutic uses or any type of consumption or application to humans or animals.


Still not finding the right product?

试用我们的 产品选型工具 工具缩小选择范围


存储类别

12 - Non Combustible Liquids

wgk

WGK 1

flash_point_f

Not applicable

flash_point_c

Not applicable



分析证书(COA)

输入产品批号来搜索 分析证书(COA) 。批号可以在产品标签上"批“ (Lot或Batch)字后找到。

已有该产品?

在文件库中查找您最近购买产品的文档。

访问文档库



Juan Du et al.
Cell cycle (Georgetown, Tex.), 14(22), 3566-3579 (2015-12-15)
Polo-like kinase 1 (Plk1) is pivotal for proper mitotic progression, its targeting activity is regulated by precise subcellular positioning and phosphorylation. Here we assessed the protein expression, subcellular localization and possible functions of phosphorylated Plk1 (pPlk1(Ser137) and pPlk1(Thr210)) in mouse
Bin Peng et al.
Nucleic acids research, 49(13), 7554-7570 (2021-07-02)
Polo-like kinase 1 (PLK1) is a master kinase that regulates cell cycle progression. How its enzymatic activity is regulated in response to DNA damage is not fully understood. We show that PLK1 is enriched at double strand breaks (DSBs) within