跳转至内容
Merck
CN

07-1401

抗-GLUT-1抗体,CT

from rabbit, purified by affinity chromatography

别名:

Glucose Transporter type 1, Solute carrier family 2, facilitated glucose transporter, member 1

登录 查看组织和合同定价。

选择尺寸

变更视图

关于此项目

UNSPSC Code:
12352203
NACRES:
NA.41
eCl@ss:
32160702
Conjugate:
unconjugated
Clone:
polyclonal
Application:
ICC, IHC, WB
Citations:
112
技术服务
需要帮助?我们经验丰富的科学家团队随时乐意为您服务。
让我们为您提供帮助


biological source

rabbit

Quality Level

conjugate

unconjugated

antibody form

purified immunoglobulin

antibody product type

primary antibodies

clone

polyclonal

purified by

affinity chromatography

species reactivity (predicted by homology)

mouse (Human. Predicted to react with Mouse based on 100% sequence homology.)

technique(s)

immunocytochemistry: suitable, immunohistochemistry: suitable (paraffin), western blot: suitable

isotype

IgG

NCBI accession no.

UniProt accession no.

shipped in

wet ice

target post-translational modification

unmodified

Gene Information

human ... SLC2A1(6513)

General description

溶质载体家族2促进葡萄糖转运蛋白成员1(UniProt: P11166(也称葡萄糖转运蛋白1、红细胞/脑、GLUT-1, HepG2葡萄糖转运蛋白)由人类SLC2A1 (也称GLUT1)基因(基因ID:6513)编码。葡萄糖转运蛋白是一个完整的膜蛋白家族,可促进细胞摄取葡萄糖。研究人员描述过七种不同的葡萄糖转运蛋白,命名为GLUT-1至 7。GLUT-1是一种高度保守、分布广泛的多次跨膜蛋白(multi-pass membrane protein ),负责构成性葡萄糖摄取(constitutive glucose uptake)。它具有非常广泛的底物特异性,可以转运各种醛糖,包括戊糖和己糖。它也是胚胎和胎儿组织中的主要葡萄糖转运蛋白。在许多器官中,GLUT-1在血-组织屏障的内皮细胞中富集。因此,它的专职任务是将葡萄糖由血液运输至通过被动扩散只能获取限量小溶质的器官。它在哺乳动物红细胞膜中含量丰富,在红细胞膜上它可以快速平衡红细胞的细胞质和血浆中的葡萄糖。据报道在肿瘤发生中GLUT-1水平经常上调。SLC2A1基因突变与GLUT-1 缺陷综合征1和2有关,该缺陷综合征的特征是早期婴儿型癫痫性脑病、发育延迟、头小畸型、运动不协调以及阵发性运动诱发的运动障碍。
观察值为〜54 kDa;计算值为54.08 kDa。在一些裂解液中可能会观察到未表征的条带。

Immunogen

与人葡萄糖转运蛋白-1(GLUT-1)的C端相对应的KLH偶联线性肽。
表位:C端

Application

已测试应用

  • 免疫组织化分析:该抗体的1:100稀释液在A-431细胞中检测到GLUT-1。
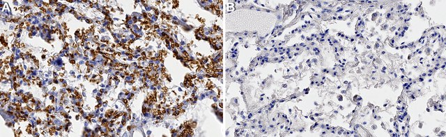
  • 免疫组织化学(石蜡)分析:代表性批次的1:1000稀释液在人胰腺、人肺和人胎盘组织切片中检测到GLUT-1。
  • 注意:实际最佳工作稀释度必须由最终用户确定,因为样本和实验条件可能会因最终用户而有所不同。
抗GLUT-1, CT(货号07-1401)是一种兔多克隆抗体,可检测葡萄糖转运蛋白1,经测试可用于蛋白质印迹法、免疫组织化学(石蜡)和免疫细胞化学。
研究子类别
胰岛素/能量信号
研究类别
信号传导

Biochem/physiol Actions

该兔多克隆抗体可特异性检测葡萄糖转运蛋白1(GLUT-1)。它靶向C末端区域12个氨基酸内的表位。

Physical form

亲和纯化
纯化的兔多克隆抗体,溶于含有0.02 M磷酸盐缓冲液(pH 7.6)、0.25 M NaCl和0.1%叠氮化钠的缓冲液中。

Preparation Note

建议储存:+2°C至+8°C。

Analysis Note

对照
Jurkat细胞裂解液
通过蛋白质印迹对人脐静脉内皮细胞(HUVEC)裂解液进行了评估。

蛋白质印迹分析(WB):该抗体的1:1000稀释液在人脐静脉内皮细胞(HUVEC)裂解液中检测到GLUT-1。

Other Notes

替代:AB1340
浓度:请参考批次特异性浓缩物的分析证书。

Disclaimer

除非我们的产品目录或产品附带的其他公司文档另有说明,否则我们的产品仅供研究使用,不得用于任何其他目的,包括但不限于未经授权的商业用途、体外诊断用途、离体或体内治疗用途或任何类型的消费或应用于人类或动物。


Still not finding the right product?

试用我们的 产品选型工具 工具缩小选择范围


存储类别

12 - Non Combustible Liquids

wgk

WGK 2

flash_point_f

Not applicable

flash_point_c

Not applicable



分析证书(COA)

输入产品批号来搜索 分析证书(COA) 。批号可以在产品标签上"批“ (Lot或Batch)字后找到。

已有该产品?

在文件库中查找您最近购买产品的文档。

访问文档库



GLUT1 protein expression correlates with unfavourable histologic category and high risk in patients with neuroblastic tumours.
Ramani, Pramila, et al.
Virchows Archiv (2013)
I W Smoak et al.
Anatomy and embryology, 201(5), 327-333 (2000-06-06)
The embryonic heart depends on glucose during early organogenesis. Glut-1 functions in constitutive glucose uptake in adult tissues and is the predominant glucose transporter in embryonic and fetal tissues. This study focuses on Glut-1 expression in the heart during normal
Critical role for lactate dehydrogenase A in aerobic glycolysis that sustains pulmonary microvascular endothelial cell proliferation.
Parra-Bonilla, G; Alvarez, DF; Al-Mehdi, AB; Alexeyev, M; Stevens, T
American Journal of Physiology. Lung Cellular and Molecular Physiology null