跳转至内容
Merck
CN

07-1420

抗-VEGF抗体

from rabbit, purified by affinity chromatography

别名:

Vascular permeability factor

登录 查看组织和合同定价。

选择尺寸

变更视图

关于此项目

UNSPSC Code:
12352203
NACRES:
NA.41
eCl@ss:
32160702
Conjugate:
unconjugated
Clone:
polyclonal
Application:
ELISA, IHC, WB
Citations:
7
技术服务
需要帮助?我们经验丰富的科学家团队随时乐意为您服务。
让我们为您提供帮助


biological source

rabbit

Quality Level

conjugate

unconjugated

antibody form

affinity purified immunoglobulin

antibody product type

primary antibodies

clone

polyclonal

purified by

affinity chromatography

species reactivity

mouse, human

technique(s)

ELISA: suitable, immunohistochemistry: suitable (paraffin), western blot: suitable

isotype

IgG

NCBI accession no.

UniProt accession no.

shipped in

dry ice

target post-translational modification

unmodified

Gene Information

human ... VEGFA(7422)

General description

27 kDa
VEGF(血管内皮生长因子,VEGFA,VEGF-A)是一种二聚体配体,是最有效的血管生成有丝分裂原之一。VEGF由暴露于缺氧的肿瘤细胞和其他细胞分泌。 VEGF是血管内皮细胞高度特异性的促分裂原。由于单个VEGF基因的可变剪接,产生了七个VEGF亚型(a,b,c,d,e,f,g)。最常研究的亚型是VEGF121,VEGF165和VEGF189(分别为f,d和b)。所有七个亚型的分子量和生物学特性(例如与细胞表面硫酸乙酰肝素蛋白聚糖结合的能力)不同。VEGF的表达增强,并由响应缺氧的肿瘤细胞,活化的癌基因和多种细胞因子分泌。VEGF诱导血管生成以及血管通透性,并在调节血管生成中起着核心作用。 VEGF表达与肿瘤血管形成程度和转移风险增加相关。 另外,VEGF诱导内皮细胞增殖,促进细胞迁移并抑制细胞凋亡。因此,抑制VEGF信号传导消除了多种肿瘤的发展。

Immunogen

高纯度(>98%)重组鼠血管内皮生长因子。

Application

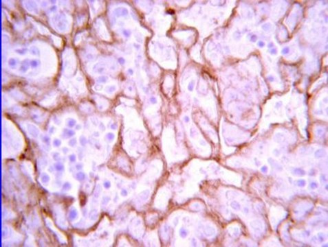
免疫组化(石蜡):VEGF染色在小鼠胎盘中,组织用pH 6.0的枸橼酸盐缓冲液预处理。先前批次的该抗体稀释成1:100,并用HRP-DAB进行IHC-选择检测。

中和:为了产生小鼠VEGF生物活性的半数最大抑制[ND50](50.0 ng/mL),要求该抗体先前批次的浓度为1.0-2.0 µg/mL。

ELISA: 使用先前批次的该抗体检测0.2-0.4 ng/孔的重组小鼠VEGF需要至少0.5 µg/mL(100 μL/孔)的浓度。

最佳工作稀释度必须由最终用户确定。
抗VEGF抗体可检测VEGF水平 & 已出版&并经过验证可用于WB, IH(P), ELISA。
研究子类别
生长因子 & 受体
研究类别
信号传导

Biochem/physiol Actions

识别血管内皮生长因子(VEGF),一种由多种血管化组织分泌的分泌型同型二聚体蛋白。报道的VEGF活性包括刺激内皮细胞生长,血管生成和毛细血管通透性。

Physical form

亲和纯化
使用固定的小鼠VEGF基质亲和纯化的兔多克隆IgG。从PBS(pH 7.2)中冻干抗体溶液(1 mg/ml)。用无菌蒸馏水复溶。

Preparation Note

浓度为≥0.2 mg/mL的复溶抗体在2-8ºC下可稳定至少6周。 从接收之日起,在-20ºC下储存的等分试样至少可以稳定一年。
处理建议:第一次融化后,在取下瓶盖之前,将小瓶离心并轻轻混合溶液。分装到微量离心管中,并储存于 -20°C。避免反复冻融循环,以免损坏 IgG 和影响产品性能。

Analysis Note

对照
Huvec细胞裂解液
通过蛋白质印迹对Huvec裂解液中进行了常规评估。

蛋白质印迹分析:
该批次的产品已以1:500的稀释度在10 μg Huvec裂解液中检测到VEGF。

Other Notes

替代:AB2142P

Disclaimer

除非我们的产品目录或产品附带的其他公司文档另有说明,否则我们的产品仅供研究使用,不得用于任何其他目的,包括但不限于未经授权的商业用途、体外诊断用途、离体或体内治疗用途或任何类型的消费或应用于人类或动物。


Still not finding the right product?

Explore all of our products under 抗-VEGF抗体

或者

试用我们的 产品选型工具 工具缩小选择范围


存储类别

13 - Non Combustible Solids

wgk

WGK 3

flash_point_f

Not applicable

flash_point_c

Not applicable



分析证书(COA)

输入产品批号来搜索 分析证书(COA) 。批号可以在产品标签上"批“ (Lot或Batch)字后找到。

已有该产品?

在文件库中查找您最近购买产品的文档。

访问文档库



Zhezhi Deng et al.
Cell cycle (Georgetown, Tex.), 16(8), 785-794 (2017-03-16)
Salt (sodium chloride, NaCl) accumulation in the brain is associated with various diseases of central nervous system (CNS). Activation of astrocytes is an important manifestation of pathophysiological processes in the CNS. However, the direct impact of high salt (HS) environment
Zeqi Zheng et al.
Cell cycle (Georgetown, Tex.), 17(8), 1026-1033 (2018-06-19)
The potential mechanism of miRNA released from adipose-derived stem cell (ADSC)-derived micro vesicle (MV) onthe modulation of proliferation, migration and invasion of endothelial cells were explored. In this study, miR-210 level was detected by qT-PCR. Alix, VEGF and RUNX3 expressions
Zsuzsanna Lichner et al.
The American journal of pathology, 180(4), 1675-1687 (2012-02-14)
The von Hippel-Lindau (VHL) gene is lost in ≈ 70% of all renal cell carcinomas (RCCs); however, increasing evidence supports the involvement of alternative mechanisms in the regulation of VHL expression, including suppression by microRNAs (miRNAs). miRNAs are small, noncoding