跳转至内容
Merck
CN

07-1436

抗-PDGF-AA 抗体

from rabbit, purified by affinity chromatography

别名:

Platelet-derived growth factor alpha, Platelet-derived growth factor alpha chain, Platelet-derived growth factor alpha polypeptide

登录 查看组织和合同定价。

选择尺寸

变更视图

关于此项目

UNSPSC Code:
12352203
NACRES:
NA.43
eCl@ss:
32160702
Conjugate:
unconjugated
Clone:
polyclonal
Application:
ELISA, IHC, Neutral, WB
Citations:
3
技术服务
需要帮助?我们经验丰富的科学家团队随时乐意为您服务。
让我们为您提供帮助


biological source

rabbit

Quality Level

conjugate

unconjugated

antibody form

affinity purified immunoglobulin

antibody product type

primary antibodies

clone

polyclonal

purified by

affinity chromatography

species reactivity

human, mouse

technique(s)

ELISA: suitable, immunohistochemistry: suitable (paraffin), neutralization: suitable, western blot: suitable

isotype

IgG

NCBI accession no.

UniProt accession no.

shipped in

dry ice

target post-translational modification

unmodified

Gene Information

human ... PDGFA(5154)

General description

在蛋白质印迹中检测到24 kDa。
血小板衍生生长因子(PDGF)是A(17 kDa)和 B(14 kDa)链的二聚体(AA、AB 或BB)。其受体为跨膜受体酪氨酸激酶PDGF受体A型和B型。A型PDGF受体以高亲和力结合所有三种 PDGF,而 B 型 PDGF 受体对 PDGF-BB 具有选择性。PDGF信号是生长和存活因子,因为它是PI3 激酶通路的强效激活剂。PDGF信号传导在神经胶质来源的肿瘤的发展中起关键作用。

Immunogen

高纯度(>98%)重组人PDGF-AA。

Application

使用经验证可用于H(P)、ELISA、WB和 NEUT的抗-PDGF-AA 抗体检测PDGF-AA。
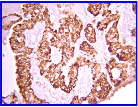
免疫组化(石蜡):PDGF在前列腺癌上的代表性染色模式/形态。组织用柠檬酸(pH 6)预处理,抗原回收。一个先前批次的该抗体用IHC-Select稀释成1:100 用HRP-DAB检测

ELISA:当采用人PDGF-AA包被板时,一个先前批次的0.5 μg/mL稀释液可检测(直接ELISA).2-0.4 ng/孔

中和:为了产生hPDGF-AA生物活性的½最大抑制作用(ND50)(5.0 ng/mL),该抗体先前批次的浓度要求为0.05-0.07 μg/mL。

最佳工作稀释度必须由最终用户确定。
研究子范畴
生长因子 & 受体
研究类别
信号传导

Biochem/physiol Actions

与PDGF-AA反应。

Physical form

亲和纯化
从PBS(pH 7.2)中冻干的纯化兔多克隆IgG 。

Preparation Note

冻干抗体在室温下可稳定保存至少一个月,在-20ºC下最多可稳定保存一年。 当在无菌水中复溶为0.1-1.0 mg/mL浓的度时,该抗体在2-8ºC下可稳定保存至少6周。
处理建议:第一次融化后,在取下瓶盖之前,将小瓶离心并轻轻混合溶液。分装到微量离心管中,并储存于-20°C。避免反复冻融循环,以免损坏IgG和影响产品性能。

Analysis Note

对照
C2C12 细胞裂解液
通过蛋白质印迹对C2C12裂解液进行了常规评估。

蛋白质印迹分析:
该批次的1:500 稀释液在10 μg C2C12裂解液中检测到PDGF-AA。

Other Notes

替代:AB1486P

Disclaimer

除非我们的产品目录或产品附带的其他公司文档另有说明,否则我们的产品仅供研究使用,不得用于任何其他目的,包括但不限于未经授权的商业用途、体外诊断用途、离体或体内治疗用途或任何类型的消费或应用于人类或动物。


Still not finding the right product?

试用我们的 产品选型工具 工具缩小选择范围


存储类别

13 - Non Combustible Solids

wgk

WGK 3

flash_point_f

Not applicable

flash_point_c

Not applicable



分析证书(COA)

输入产品批号来搜索 分析证书(COA) 。批号可以在产品标签上"批“ (Lot或Batch)字后找到。

已有该产品?

在文件库中查找您最近购买产品的文档。

访问文档库



Activation of unfolded protein response in transgenic mouse lenses.
Reneker, LW; Chen, H; Overbeek, PA
Investigative Ophthalmology & Visual Science null
Tamihiro Kamata et al.
Cell reports, 31(12), 107802-107802 (2020-06-25)
The tumor microenvironment (TME) consists of different cell types, including tumor-associated macrophages (TAMs) and tumor-associated fibroblasts (TAFs). How these cells interact and contribute to lung carcinogenesis remains elusive. Using G12DKRAS- and V600EBRAF-driven mouse lung models, we identify the pleiotropic glycoprotein



全球贸易项目编号

货号GTIN
07-143604053252328589