跳转至内容
Merck
CN

07-350

抗AMPKα 1抗体

Upstate®, from rabbit

别名:

5′-AMP-activated protein kinase, catalytic alpha-1 chain, AMP -activate kinase alpha 1 subunit, AMP-activated protein kinase, catalytic, alpha-1, AMPK alpha 1, AMPK alpha-1 chain, protein kinase, AMP-activated, alpha 1 catalytic subunit

登录 查看组织和合同定价。

选择尺寸

变更视图

关于此项目

UNSPSC Code:
12352203
NACRES:
NA.41
eCl@ss:
32160702
Conjugate:
unconjugated
Clone:
polyclonal
Application:
IHC, WB
Citations:
37
技术服务
需要帮助?我们经验丰富的科学家团队随时乐意为您服务。
让我们为您提供帮助


biological source

rabbit

Quality Level

conjugate

unconjugated

antibody form

purified immunoglobulin

antibody product type

primary antibodies

clone

polyclonal

species reactivity

human

species reactivity (predicted by homology)

rat (based on 100% sequence homology), mouse (based on 100% sequence homology)

packaging

antibody small pack of 25 μg

manufacturer/tradename

Upstate®

technique(s)

immunohistochemistry: suitable, western blot: suitable

isotype

IgG

NCBI accession no.

UniProt accession no.

shipped in

ambient

target post-translational modification

unmodified

Gene Information

human ... PRKAA1(5562)
mouse ... Prkaa1(105787)
rat ... Prkaa1(65248)

General description

5′-AMP激活的蛋白激酶催化亚基α-1(UniProt:Q13131;也称为EC:2.7.11.1、AMPK亚基α-1、乙酰辅酶A羧化酶激酶、ACACA激酶、羟甲基戊二酰辅酶A还原酶激酶、HMGCR激酶、Tau蛋白激酶PRKAA1)在人体中由PRKAA1(也称为AMPK1)基因编码(基因编号:5562)。AMPK是由α催化亚基(PRKAA1或PRKAA2)、β(PRKAB1或PRKAB2)和γ非催化亚基(PRKAG1、PRKAG2或PRKAG3)组成的异源三聚体。它还包含一个自抑制序列,该序列显示出与泛素相关结构域的某些序列相似性,并可抑制激酶活性。AMPK是一种能量传感器蛋白激酶,在调节细胞能量代谢中起关键作用。为了响应细胞内ATP水平的降低,AMPK可激活能量产生途径并抑制能量消耗过程,包括抑制蛋白质、碳水化合物和脂质的生物合成,并减少细胞生长和增殖。AMPK通过代谢酶的直接磷酸化以及通过转录调节子的磷酸化的长期作用来发挥作用。AMPK可通过使IRS1、PFKFB2和PFKFB3磷酸化来调节胰岛素信号转导和糖酵解,并通过增加葡萄糖转运蛋白GLUT4向质膜的转运来刺激肌肉中的葡萄糖摄取。在肝脏中,它可通过使CRTC2/TORC2磷酸化而充当葡萄糖稳态的关键调节剂,从而导致CRTC2/TORC2隔离在细胞质中。AMPK通过Thr183上的磷酸化进行激活。AMP与非催化性γ亚基的结合导致变构活化,从而诱导Thr183的磷酸化。AMP与γ亚基的结合还可通过防止Thr183的去磷酸化来维持活性。
观察分子量为〜63 kDa;计算分子量为64.00 kDa。在某些裂解物中可以观察到未鉴定的条带。

Immunogen

KLH缀合的线性肽,对应人AMPK催化亚基α-1的C端区域的17个氨基酸。

Application

抗AMPK α1(目录号07-350)是一种兔多克隆抗体,可检测5′-AMP激活的蛋白激酶催化亚基α-1,经测试可用于蛋白质印迹和免疫组织化学。

蛋白质印迹分析:2 μg/mL该抗体在未刺激的A431细胞RIPA裂解液中检测到AMPK α1。

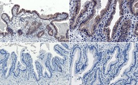
免疫组织化学(石蜡)分析:以1:250的比例稀释该抗体可在人胆囊组织切片中检测到AMPK α1。
研究子类别
胰岛素/能量信号
研究类别
信号传导

Biochem/physiol Actions

该多克隆抗体可在人类检测AMPK1α亚基。它靶向表位位于距人AMPK1 C端一半的17个氨基酸之内。

Physical form

形式:纯化
纯化的兔蛋白A,溶于含有0.1M Tris甘氨酸(pH 7.4)、0.15M NaCl、0.05%叠氮化钠的缓冲液中。
蛋白 A 色谱

Preparation Note

自发运之日起,在 2-8°C 条件下可稳定保存1年

Analysis Note

对照
阳性抗原对照:货号12-301,未刺激的A431细胞裂解液。加入2.5µL 2-巯基乙醇/100µL裂解液,煮沸5分钟以减少制备量。在微凝胶每个泳道上样20µg经还原的裂解液。
已通过免疫印迹对未刺激的A431细胞的RIPA裂解液进行评估。

蛋白质印迹分析:
0.5-2 μg/mL该抗体在未刺激的A431细胞RIPA裂解液中检测到AMPK α1。

Other Notes

替代品:04-323
浓度:请参考批次特异性浓缩物的分析证书。

Legal Information

UPSTATE is a registered trademark of Merck KGaA, Darmstadt, Germany

Disclaimer

除非我们的产品目录或产品附带的其他公司文档另有说明,否则我们的产品仅供研究使用,不得用于任何其他目的,包括但不限于未经授权的商业用途、体外诊断用途、离体或体内治疗用途或任何类型的消费或应用于人类或动物。


Still not finding the right product?

试用我们的 产品选型工具 工具缩小选择范围


存储类别

10 - Combustible liquids

wgk

WGK 1



分析证书(COA)

输入产品批号来搜索 分析证书(COA) 。批号可以在产品标签上"批“ (Lot或Batch)字后找到。

已有该产品?

在文件库中查找您最近购买产品的文档。

访问文档库


商品

Autophagy is a regulated process involved in cell growth, development, and recycling of cytoplasmic components in cells.


Increased estrogen receptor ? in adipose tissue is associated with increased intracellular and reduced circulating adiponectin protein levels in aged female rats.
Nanette J Tomicek,Timothy S Lancaster,Donna H Korzick
Gender Medicine null
Aging elevates basal adenosine monophosphate-activated protein kinase (AMPK) activity and eliminates hypoxic activation of AMPK in mouse liver.
Jacob D Mulligan, Asensio A Gonzalez, Reetu Kumar, Ashley J Davis, Kurt W Saupe
The Journals of Gerontology. Series A, Biological Sciences and Medical Sciences null
Activation of AMPK?2 is not crucial for mitochondrial uncoupling-induced metabolic effects but required to maintain skeletal muscle integrity.
Ost, M; Werner, F; Dokas, J; Klaus, S; Voigt, A
Testing null



全球贸易项目编号

货号GTIN
07-350-25UG04054839337451