跳转至内容
Merck
CN

07-595

抗乙酰组蛋白H4(Lys12)抗体

serum, Upstate®

别名:

H4K12Ac, Histone H4 (acetyl K12)

登录 查看组织和合同定价。

选择尺寸

变更视图

关于此项目

UNSPSC Code:
12352203
NACRES:
NA.41
eCl@ss:
32160702
Clone:
polyclonal
Species reactivity:
Saccharomyces cerevisiae, human
Application:
ChIP, DB, WB
Citations:
103
技术服务
需要帮助?我们经验丰富的科学家团队随时乐意为您服务。
让我们为您提供帮助


biological source

rabbit

Quality Level

antibody form

serum

antibody product type

primary antibodies

clone

polyclonal

species reactivity

Saccharomyces cerevisiae, human

manufacturer/tradename

Upstate®

technique(s)

ChIP: suitable (ChIP-seq), dot blot: suitable, western blot: suitable

isotype

IgG

NCBI accession no.

UniProt accession no.

shipped in

dry ice

target post-translational modification

acetylation (Lys12)

Gene Information

human ... HIST2H4B(554313)

General description

10 kDa
组蛋白H4是参与真核细胞染色质结构的5种主要组蛋白之一。H4具有一个主要的球状结构域和一个长N末端的尾巴,其与核糖体核小体′串珠′结构体的结构有关。

组蛋白H4的乙酰化发生在组蛋白尾部的几个不同的赖氨酸位置,并由称为组蛋白乙酰基转移酶(HATs)的酶家族完成。

Immunogen

包含对应于酵母组蛋白H4的赖氨酸12乙酰化的序列(LGAcKGG)的肽。

Application

使用在ChIP、DB、WB、ChIP-seq中验证的抗乙酰基组蛋白H4(Lys12)抗体(兔多克隆抗体)检测乙酰基组蛋白H4(Lys12),也称为H4K12Ac、组蛋白H4(乙酰基K12)。
研究子类别
组蛋白
研究类别
表观遗传学&核功能

Biochem/physiol Actions

识别赖氨酸12乙酰化的组蛋白H4。
预计具有广泛的物种交叉反应性

Physical form

免疫耗竭血清
耗尽兔抗血清溶于30%甘油,0.07M Tris-甘氨酸(pH 7.4),0.105 M NaCl,0.035%叠氮化钠作为防腐剂的溶液中。

Preparation Note

自运送之日起在-20°C可稳定保存1年。避免反复冻融。为了最大程度地回收产品,在融化后和取下盖子之前,将原始样品瓶进行离心。

Analysis Note

对照
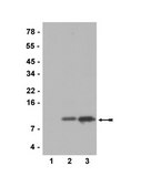
用丁酸钠处理的HeLa细胞中酸提取的蛋白质
通过免疫印迹对HeLa细胞的酸提取蛋白进行了常规评估

Other Notes

浓度:请参考批次特异性浓缩物的分析证书。

Legal Information

UPSTATE is a registered trademark of Merck KGaA, Darmstadt, Germany

Disclaimer

除非我们的产品目录或产品附带的其他公司文档另有说明,否则我们的产品仅供研究使用,不得用于任何其他目的,包括但不限于未经授权的商业用途、体外诊断用途、离体或体内治疗用途或任何类型的消费或应用于人类或动物。


Still not finding the right product?

或者

试用我们的 产品选型工具 工具缩小选择范围


存储类别

10 - Combustible liquids

wgk

WGK 1



分析证书(COA)

输入产品批号来搜索 分析证书(COA) 。批号可以在产品标签上"批“ (Lot或Batch)字后找到。

已有该产品?

在文件库中查找您最近购买产品的文档。

访问文档库



The molecular topography of silenced chromatin in Saccharomyces cerevisiae.
Thurtle, DM; Rine, J
Genes & Development null
Acetylation of histone H4 in complex structural transitions of spermiogenic chromatin.
Kathryn Kurtz,Fina Martinez-Soler,Juan Ausio,Manel Chiva
Journal of Cellular Biochemistry null
Histone deacetylase inhibitors modify pancreatic cell fate determination and amplify endocrine progenitors.
Haumaitre, Cecile, et al.
Molecular and cellular biology, 28, 6373-6383 (2008)



全球贸易项目编号

货号GTIN
07-59504053252733284