跳转至内容
Merck
CN

07-667

Anti-Amyloid Precursor Protein (APP) Antibody

UPSTATE®, rabbit polyclonal

别名:

Anti-AAA, Anti-ABPP, Anti-AD1, Anti-APPI, Anti-CTFgamma, Anti-CVAP, Anti-PN-II, Anti-PN2, Anti-alpha-sAPP, Anti-preA4

登录 查看组织和合同定价。

选择尺寸

变更视图

关于此项目

UNSPSC Code:
12352203
eCl@ss:
32160702
NACRES:
NA.41
Clone:
polyclonal
Species reactivity:
human, rat, mouse
Application:
IP, WB
Citations:
11
技术服务
需要帮助?我们经验丰富的科学家团队随时乐意为您服务。
让我们为您提供帮助


产品名称

抗APP抗体, Upstate®, from rabbit

biological source

rabbit

Quality Level

antibody form

affinity isolated antibody

antibody product type

primary antibodies

clone

polyclonal

purified by

affinity chromatography

species reactivity

human, rat, mouse

species reactivity (predicted by homology)

chimpanzee (based on 100% sequence homology), primate (based on 100% sequence homology)

manufacturer/tradename

Upstate®

technique(s)

immunoprecipitation (IP): suitable, western blot: suitable

isotype

IgG

NCBI accession no.

UniProt accession no.

shipped in

wet ice

target post-translational modification

unmodified

Gene Information

human ... APP(351)

General description

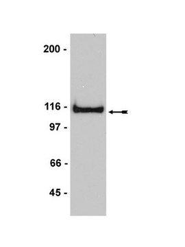
110kDa

Immunogen

与人淀粉样前体蛋白(APP)的44-61位氨基酸对应的合成肽

Application

研究类别
神经科学
抗APP抗体可检测APP水平&,已发表 &并经过验证可用于IP &WB。
研究子类别
泛素 & 泛素代谢

神经退行性疾病

Biochem/physiol Actions

APP

Physical form

免疫亲和纯化
纯化的兔多克隆抗体,溶于含有0.1 M Tris-甘氨酸(pH 7.4)、150 mM NaCl和0.05%叠氮化钠的缓冲液中。

Preparation Note

自收到之日起,在2-8°C条件下可稳定保存1年。

Analysis Note

已通过免疫印迹进行常规评估。

Legal Information

UPSTATE is a registered trademark of Merck KGaA, Darmstadt, Germany

Disclaimer

除非我们的产品目录或产品附带的其他公司文档另有说明,否则我们的产品仅供研究使用,不得用于任何其他目的,包括但不限于未经授权的商业用途、体外诊断用途、离体或体内治疗用途或任何类型的消费或应用于人类或动物。


Still not finding the right product?

Explore all of our products under 抗APP抗体

或者

试用我们的 产品选型工具 工具缩小选择范围


存储类别

10 - Combustible liquids

wgk

WGK 1



分析证书(COA)

输入产品批号来搜索 分析证书(COA) 。批号可以在产品标签上"批“ (Lot或Batch)字后找到。

已有该产品?

在文件库中查找您最近购买产品的文档。

访问文档库



Role of acyl-coenzyme a: cholesterol acyltransferase activity in the processing of the amyloid precursor protein.
Puglielli, Luigi, et al.
Journal of Molecular Neuroscience, 24, 93-96 (2004)
Distinct presenilin-dependent and presenilin-independent gamma-secretases are responsible for total cellular Abeta production.
Wilson, Christina A, et al.
Journal of Neuroscience Research, 74, 361-369 (2003)
Structure and function of amyloid in Alzheimer's disease.
Morgan, Carlos, et al.
Progress in Neurobiology, 74, 323-349 (2004)



全球贸易项目编号

货号GTIN
07-66704053252275562