产品名称
氯化氢 – 乙醇 溶液, in ethanol, for microscopy
Quality Level
form
liquid
IVD
for in vitro diagnostic use
technique(s)
microbe id | staining: suitable
pH
1.0 (20 °C in H2O)
transition temp
flash point 21 °C
density
0.90 g/cm3 at 20 °C
application(s)
clinical testing
diagnostic assay manufacturing
hematology
histology
storage temp.
2-30°C
SMILES string
Cl
InChI
1S/ClH/h1H
InChI key
VEXZGXHMUGYJMC-UHFFFAOYSA-N
General description
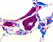
Hydrochloric acid in ethanol - for microscopy, is used for human-medical cell diagnosis and serves the purpose of the bacteriological and histological investigation of sample material of human origin. Acid-fast bacteria are difficult to stain because of the high proportion of lipid and wax in their cell walls. The most efficient staining method is the hot staining according to Ziehl-Neelsen. In this method, carbolfuchsin solution is applied to the specimen and heated. This heating process accelerates the rate at which the fuchsin dye is absorbed and thus also that of the formation of the mycolatefuchsin complex in the cell wall. With the Kinyoun method, a modification of the AFB-Color carbol fuchsin solution renders heating unnecessary (cold staining). Once the acid-fast bacteria have absorbed the fuchsin dye, it is virtually impossible to decolorize them again, even when they are intensively treated with a decolorizing solution such as e. g. hydrochloric acid in ethanol (Product number 1.00327). Accordingly, acid-fast bacteria are termed as acid- and alcohol-fast for staining, and are stained red in the microscopic visualization. Correspondingly, all non-acid-fast microorganisms are counterstained with an appropriate dye. In this instruction for use malachite green is used for counterstaining.
Pretreatment of the specimens with Sputofluol™ dissolves the bacteria from the surrounding viscid sputum and cell material. It is an IVD and CE registered product and can be applied for diagnostical purposes. For more details, please see instructions for use (IFU). The IFU can be downloaded from this webpage.
Pretreatment of the specimens with Sputofluol™ dissolves the bacteria from the surrounding viscid sputum and cell material. It is an IVD and CE registered product and can be applied for diagnostical purposes. For more details, please see instructions for use (IFU). The IFU can be downloaded from this webpage.
Application
For microscopy. Ziehl-Neelsen staining
Legal Information
SPUTOFLUOL is a trademark of Merck KGaA, Darmstadt, Germany
Still not finding the right product?
Explore all of our products under 氯化氢 – 乙醇 溶液
signalword
Danger
hcodes
Hazard Classifications
Eye Irrit. 2 - Flam. Liq. 2 - Met. Corr. 1
存储类别
3 - Flammable liquids
wgk
WGK 1
flash_point_f
69.8 °F
flash_point_c
21 °C
法规信息
监管及禁止进口产品
此项目有
相关内容
细菌学是研究细菌遗传、结构、生理、行为、致病性、生态和进化等各方面的学科。细菌学调查在临床诊断和工业质控中举足轻重。默克提供细菌学相关染色法等产品。
An overview of the science and practice of bacteriology in clinical diagnostics. Learn more about the application of standard and special stains for microscopic analysis.
全球贸易项目编号
| 货号 | GTIN |
|---|---|
| 1003271000 | 04022536004907 |
| 1003275000 | 04022536004921 |

