跳转至内容
Merck
CN

16-282

Anti-Phosphotyrosine Antibody, clone 4G10®, Magnetic Bead Conjugate

clone 4G10®, from mouse

登录 查看组织和合同定价。

选择尺寸

变更视图

关于此项目

UNSPSC Code:
12352203
NACRES:
NA.41
eCl@ss:
32160702
Clone:
4G10®, monoclonal
Technique(s):
immunoprecipitation (IP): suitable
Application:
IP
Citations:
-
技术服务
需要帮助?我们经验丰富的科学家团队随时乐意为您服务。
让我们为您提供帮助


biological source

mouse

Quality Level

antibody form

purified antibody

antibody product type

primary antibodies

clone

4G10®, monoclonal

species reactivity (predicted by homology)

all

technique(s)

immunoprecipitation (IP): suitable

isotype

IgG2bκ

shipped in

wet ice

target post-translational modification

phosphorylation (pTyr)

Gene Information

human ... PID1(55022)

General description

Dependent upon the molecular weight of the tyrosine phosphorylated protein being detected.
Tyrosine phosphorylation is considered as one of the key steps in signal transduction and regulation of enzymatic activity. Some of the tyrosine residues can be tagged with a phosphate group (phosphorylated) by protein kinases. (In its phosphorylated state, it is referred to as phosphotyrosine.).The advent of anti-phosphotyrosine antibodies is one of significant events in signal transduction research. Before the availability of anti-phosphotyrosine antibodies, tyrosyl phospyhorylation of proteins and enzymes was investigated through hazardous and time-consuming radioactive experiments. Anti-phosphotyrosine antibodies are commonly used in western blots after the targeted proteins have been immunoprecipitated to measure the tyrosyl phosphorylation of the proteins. Anti-phosphotyrosine antibodies are also directly used on cell lysate to examine the overall change of tyrosine phosphorylation level in reponse to various treatments.

Immunogen

Phosphotyramine-KLH

Application

Detect Phosphotyrosine using this Anti-Phosphotyrosine Antibody, clone 4G10, Magnetic Bead Conjugate validated for use in IP.
Research Category
Signaling
Research Sub Category
General Post-translation Modification

Biochem/physiol Actions

This antibody recognizes tyrosine-phosphorylated proteins from all species

Physical form

20% slurry; 1xPBS, 0.05% sodium azide. Sufficient for 10 IPs.
Format: Purified
Protein G-Sepharose Chromatography

Preparation Note

Stable for 1 year at 2-8ºC from date of receipt.
Note: DO NOT FREEZE

Analysis Note

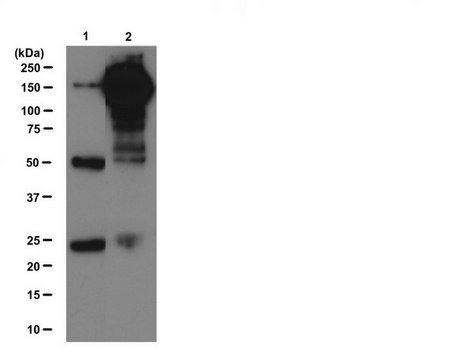
100 μg of NIH3T3 whole cell lysate stimulated with 100 ng/mL PDGF (10 minutes) was immunoprecipitated (IP) using either anti-mouse IgG (Cat. No. 12-371) (lane 1), or Anti-Phosphotyrosine, Magnetic Bead Conjugate
(Lane 2).
Control
NIH3T3 whole cell lysate stimulated with 50 ng/mL PDGF (5 minutes)

Legal Information

4G10 is a registered trademark of Upstate Group, Inc.

Disclaimer

Unless otherwise stated in our catalog or other company documentation accompanying the product(s), our products are intended for research use only and are not to be used for any other purpose, which includes but is not limited to, unauthorized commercial uses, in vitro diagnostic uses, ex vivo or in vivo therapeutic uses or any type of consumption or application to humans or animals.


Still not finding the right product?

试用我们的 产品选型工具 工具缩小选择范围


存储类别

12 - Non Combustible Liquids

wgk

WGK 2



分析证书(COA)

输入产品批号来搜索 分析证书(COA) 。批号可以在产品标签上"批“ (Lot或Batch)字后找到。

已有该产品?

在文件库中查找您最近购买产品的文档。

访问文档库



全球贸易项目编号

货号GTIN
16-28204053252641596