Quality Level
species reactivity
human, mouse, rat
manufacturer/tradename
Upstate®
technique(s)
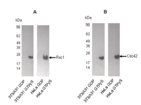
activity assay: suitable, affinity binding assay: suitable (G-protein)
NCBI accession no.
UniProt accession no.
shipped in
wet ice
Gene Information
human ... RAC1(5879)
General description
Biochem/physiol Actions
抗-Rac1,克隆23A8:物种交叉反应性:人类,小鼠和大鼠。其他物种交叉反应性未知。
抗-cdc42 物种交叉反应性: 人,小鼠,大鼠和狗。 其他物种交叉反应性未知。
Preparation Note
Analysis Note
Other Notes
抗-Rac1,克隆23A8,目录号05-389:一个小瓶,含有250 μg蛋白G纯化的小鼠IgG2b,溶于250 μL储存缓冲液(0.1 M Tris-甘氨酸,pH 7.4,0.15 M NaCl,含有0.05%叠氮化钠)中。
抗cdc42,(小鼠单克隆IgG1),目录号05-542:一小瓶,含有50 μg纯化小鼠IgG1,溶于200 μL 50%储存缓冲液(20 mM磷酸钠、pH 7.5、150 mM NaCl、1.5 mM叠氮化钠,含1 mg/mL BSA)和50%甘油中。
Mg2+裂解/清洗缓冲液,5X,目录号20-168:两个小瓶,每瓶包含18 mL的5X MLB:125 mM HEPES、pH 7.5、750 mM NaCl、5%Igepal CA-630、50 mM MgCl2、5 mM EDTA和10%甘油。
100X GTPγS,10 mM,目录号20-176:一个小瓶,包含50 μL的10 mM GTPγS,100X储备液,溶于50 mM Tris-HCl,pH 7.8,GTP的不可水解类似物中。 足以标记5 mL细胞裂解物。
100X GDP,100mM,目录号20-177:一个小瓶,含有50 μL 100 mM GDP、100X储备液,溶于50 mM Tris-HCl、pH值7.8中。 GDP(鸟苷5′-二磷酸)用于体外标记非活性形式的G蛋白。 足以标记5ml细胞裂解物。
Legal Information
Disclaimer
signalword
Danger
存储类别
10 - Combustible liquids
wgk
WGK 3
hcodes
Hazard Classifications
Aquatic Acute 1 - Aquatic Chronic 2 - ED ENV 1 - Eye Dam. 1
相关内容
"Aging: getting older, exhibiting the signs of age, the decline in the physical (and mental) well-being over time, leading to death. Since the beginning of time, man has been obsessed with trying to slow down, stop, or even reverse the signs of aging. Many have gone as far as experimenting with nutritional regimens, eccentric exercises, fantastic rituals, and naturally occurring or synthetic wonder-elements to evade the signs of normal aging. Biologically speaking, what is aging? And what does the latest research tell us about the possibility of discovering the elusive “fountain of youth”? Many advances in our understanding of aging have come from systematic scientific research, and perhaps it holds the key to immortality. Scientifically, aging can be defined as a systems-wide decline in organismal function that occurs over time. This decline occurs as a result of numerous events in the organism, and these events can be classified into nine “hallmarks” of aging, as proposed by López-Otin et al. (2013). Several of the pathologies associated with aging are a direct result of these events going to extremes and may also involve aberrant activation of proliferation signals or hyperactivity. The hallmarks of aging have been defined based on their fulfillment of specific aging related criteria, such as manifestation during normal aging, acceleration of aging if experimentally induced or aggravated, and retardation of aging if prevented or blocked, resulting in increased lifespan. The nine hallmarks of aging are genomic instability, telomere attrition, epigenetic alterations, loss of proteostasis, deregulated nutrient sensing, mitochondrial dysfunction, cellular senescence, stem cell exhaustion, and altered intercellular communication. The biological processes underlying aging are complex. By understanding the hallmarks in greater detail, we can get closer to developing intervention strategies that can make the aging process less of a decline, and more of a recline."
"Epigenetics describes heritable changes in gene expression caused by non-genetic mechanisms instead of by alterations in DNA sequence. These changes can be cell- or tissue-specific, and can be passed on to multiple generations. Epigenetic regulation enriches DNAbased information, allowing a cell to vary its response across diverse biological and environmental contexts. Although epigenetic mechanisms are primarily centered in the nucleus, these mechanisms can be induced by environmental signals such as hormones, nutrients, stress, and cellular damage, pointing to the involvement of cytoplasmic and extracellular factors in epigenetic regulation."
Signaling Product Guide: Antibodies, small molecule inhibitors, kits, assays and proteins for signaling research.
全球贸易项目编号
| 货号 | GTIN |
|---|---|
| 17-441 | 04053252338700 |

