跳转至内容
Merck
CN

AB10556

Anti-mGluR8 Antibody

serum, from guinea pig

别名:

glutamate metabotropic receptor 8, glutamate receptor, metabotropic 8

登录 查看组织和合同定价。

选择尺寸

变更视图

关于此项目

UNSPSC Code:
12352203
NACRES:
NA.41
eCl@ss:
32160702
Conjugate:
unconjugated
Clone:
polyclonal
Application:
IHC
Citations:
-
技术服务
需要帮助?我们经验丰富的科学家团队随时乐意为您服务。
让我们为您提供帮助


biological source

guinea pig

Quality Level

conjugate

unconjugated

antibody form

serum

antibody product type

primary antibodies

clone

polyclonal

species reactivity

rat

species reactivity (predicted by homology)

mouse (based on 100% sequence homology), chimpanzee (based on 100% sequence homology), bovine (based on 100% sequence homology), human (based on 100% sequence homology), dog (based on 100% sequence homology), monkey (based on 100% sequence homology)

technique(s)

immunohistochemistry: suitable

NCBI accession no.

UniProt accession no.

shipped in

wet ice

target post-translational modification

unmodified

Gene Information

human ... GRM8(2918)

General description

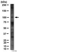
101 kDa
L-glutamate is the major excitatory neurotransmitter in the central nervous system and activates both ionotropic and metabotropic glutamate receptors. Glutamatergic neurotransmission is involved in most aspects of normal brain function and can be perturbed in many neuropathologic conditions. The metabotropic glutamate receptors are a family of G protein-coupled receptors, that have been divided into 3 groups on the basis of sequence homology, putative signal transduction mechanisms, and pharmacologic properties. Group I includes GRM1 and GRM5 and these receptors have been shown to activate phospholipase C. Group II includes GRM2 and GRM3 while Group III includes GRM4, GRM6, GRM7 and GRM8. Group II and III receptors are linked to the inhibition of the cyclic AMP cascade but differ in their agonist selectivities. Alternatively spliced transcript variants encoding different isoforms have been described for this gene.

Immunogen

Epitope: Cytoplasmic Domain
This antibody is generated from guinea pigs immunized with a KLH-conjugated linear peptide selected from residues corresponding to the cytoplasmic domain of rat mGluR8.

Application

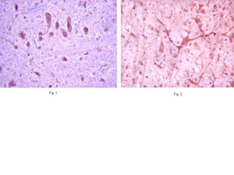
Anti-mGluR8 Antibody detects level of mGluR8 & has been published & validated for use in IH.
Evaluated by Western Blot in rat brain lysate. Although intended for use in IHC analysis, a band was observed at ~101kDa.
Research Category
Neuroscience
Research Sub Category
Neurotransmitters & Receptors

Biochem/physiol Actions

This antibody recognizes mGluR8.

Physical form

Unpurified
Unpurified guinea pig polyclonal serum with 0.05% sodium azide.

Preparation Note

Stable for 1 year at -20°C from date of receipt.
Handling Recommendations: Upon receipt and prior to removing the cap, centrifuge the vial and gently mix the solution. Aliquot into microcentrifuge tubes and store at -20°C. Avoid repeated freeze/thaw cycles, which may damage IgG and affect product performance.

Analysis Note

Control
Rat brain lysate
Immunohistochemistry Analysis: : 1:100-500 dilution from a previous lot detected mGluR8 on rat brain tissue.

Disclaimer

Unless otherwise stated in our catalog or other company documentation accompanying the product(s), our products are intended for research use only and are not to be used for any other purpose, which includes but is not limited to, unauthorized commercial uses, in vitro diagnostic uses, ex vivo or in vivo therapeutic uses or any type of consumption or application to humans or animals.


Still not finding the right product?

试用我们的 产品选型工具 工具缩小选择范围


存储类别

10 - Combustible liquids

wgk

WGK 1



分析证书(COA)

输入产品批号来搜索 分析证书(COA) 。批号可以在产品标签上"批“ (Lot或Batch)字后找到。

已有该产品?

在文件库中查找您最近购买产品的文档。

访问文档库


相关内容

Glutamate is an excitatory neurotransmitter found in the synaptic vesicles of glutamatergic synapses. The post-synaptic neurons in these synapses contain ionotropic and metabotropic glutamate receptors. Glutamate binds to AMPA (α-amino-3-hydroxy-5- methylisoxazole-4-propionic acid) subtype glutamate receptors, leading to sodium influx into the post-synaptic cell and resulting in neuronal excitability and synaptic transmission. The NMDA (N-methyl-d-aspartate) subtype glutamate receptors, on the other hand, regulate synaptic plasticity, and can influence learning and memory. The metabotropic g-protein coupled mGluRs modulate downstream calcium signaling pathways and indirectly influence the synapse’s excitability. The synaptic architecture includes intracellular scaffolding proteins (PSD-95, GRIP), intercellular cell adhesion molecules (NCAMs, N-Cadherins), and a variety of signaling proteins (CaMKII/PKA, PP1/PP2B). Processes critical for synaptic transmission and plasticity are influenced by these molecules and their interactions. When the function of these molecules is disrupted, it leads to synaptic dysfunction and degeneration, and can contribute to dementia as seen in Alzheimer’s disease.





全球贸易项目编号

货号GTIN
AB1055604053252370533