跳转至内容
Merck
CN

AB1543

抗突触素I抗体

serum, Chemicon®

别名:

Synapsin-1

登录 查看组织和合同定价。

选择尺寸

变更视图

关于此项目

UNSPSC Code:
12352203
NACRES:
NA.41
eCl@ss:
32160702
Conjugate:
unconjugated
Clone:
polyclonal
Application:
ICC, IHC, IP, WB
Citations:
127
技术服务
需要帮助?我们经验丰富的科学家团队随时乐意为您服务。
让我们为您提供帮助


biological source

rabbit

Quality Level

conjugate

unconjugated

antibody form

serum

antibody product type

primary antibodies

clone

polyclonal

species reactivity

human, bovine, rat, mouse

manufacturer/tradename

Chemicon®

technique(s)

immunocytochemistry: suitable, immunohistochemistry: suitable (paraffin), immunoprecipitation (IP): suitable, western blot: suitable

NCBI accession no.

UniProt accession no.

shipped in

dry ice

target post-translational modification

unmodified

Gene Information

human ... SYN1(6853)

General description

77 & 80 kDa
突触素I是突触素家族的成员。突触素是与突触小泡的细胞质表面相关的神经元磷蛋白。家庭成员的特征是共同的蛋白结构域,它们与突触发生和神经递质释放的调节有关,表明在几种神经精神疾病中具有潜在作用。突触素家族的这一成员在调节轴突发生和突触发生中起作用。蛋白充当几种不同蛋白激酶的底物,磷酸化可能在调节神经末梢的蛋白中起作用。突触素I基因的突变可能与患有原发性神经元变性的X连锁疾病(例如Rett综合征)有关。

Immunogen

从牛脑中纯化的突触素I(Ia & Ib的混合物)。

Application

使用经验证可用于IC,IH(P),IP & WB的抗突触素I抗体检测突触素I。
研究子类别
突触&突触生物学
研究类别
神经科学
蛋白质印迹:
将先前批次的1:200稀释液用于标记蛋白A,将1:1,000稀释液用于ECL。

免疫细胞化学:
使用先前批次的1:500-1:2,000稀释液。

免疫沉淀:
在200 μg大鼠脑中加入5 μL先前批次的定量免疫沉淀全部突触素。

最佳工作稀释度必须由最终用户确定。

Biochem/physiol Actions

突触素I(Mr 80,000和77,000)。免疫标记被突触素I预先吸附抗体所阻断。突触素仅位于脑神经末梢,是突触的极佳标记。

Physical form

不含防腐剂的缓冲液中的兔多克隆抗血清。
未纯化

Preparation Note

自收到之日起在-20ºC可稳定保存1年。
使用建议:收到后,在取下瓶盖之前,将小瓶离心并轻轻混合溶液。分装到微量离心管中,并储存于 -20°C。避免反复冻融循环,以免损坏 IgG 和影响产品性能。

Analysis Note

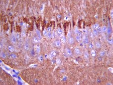
免疫组化(石蜡): 大鼠海马神经元中突触蛋白的代表性染色模式/形态。组织用枸橼酸(pH 6.0),抗原回收预处理。使用HRP-DAB的IHC-Select试剂,将先前批次的该抗体稀释成1:1000。 免疫反应性与神经元胞体末端直接相关。
IHC-石蜡染色及抗原表位修复:大鼠海马
对照
小鼠海马原代神经元,小鼠脑裂解液,PC-12细胞。

Other Notes

浓度:请参考批次特异性浓缩物的检验报告。

Legal Information

CHEMICON is a registered trademark of Merck KGaA, Darmstadt, Germany

Disclaimer

除非我们的产品目录或产品附带的其他公司文档另有说明,否则我们的产品仅供研究使用,不得用于任何其他目的,包括但不限于未经授权的商业用途、体外诊断用途、离体或体内治疗用途或任何类型的消费或应用于人类或动物。


Still not finding the right product?

Explore all of our products under 抗突触素I抗体

或者

试用我们的 产品选型工具 工具缩小选择范围


存储类别

10 - Combustible liquids

wgk

WGK 1

flash_point_f

Not applicable

flash_point_c

Not applicable



分析证书(COA)

输入产品批号来搜索 分析证书(COA) 。批号可以在产品标签上"批“ (Lot或Batch)字后找到。

已有该产品?

在文件库中查找您最近购买产品的文档。

访问文档库


相关内容

Glutamate is an excitatory neurotransmitter found in the synaptic vesicles of glutamatergic synapses. The post-synaptic neurons in these synapses contain ionotropic and metabotropic glutamate receptors. Glutamate binds to AMPA (α-amino-3-hydroxy-5- methylisoxazole-4-propionic acid) subtype glutamate receptors, leading to sodium influx into the post-synaptic cell and resulting in neuronal excitability and synaptic transmission. The NMDA (N-methyl-d-aspartate) subtype glutamate receptors, on the other hand, regulate synaptic plasticity, and can influence learning and memory. The metabotropic g-protein coupled mGluRs modulate downstream calcium signaling pathways and indirectly influence the synapse’s excitability. The synaptic architecture includes intracellular scaffolding proteins (PSD-95, GRIP), intercellular cell adhesion molecules (NCAMs, N-Cadherins), and a variety of signaling proteins (CaMKII/PKA, PP1/PP2B). Processes critical for synaptic transmission and plasticity are influenced by these molecules and their interactions. When the function of these molecules is disrupted, it leads to synaptic dysfunction and degeneration, and can contribute to dementia as seen in Alzheimer’s disease.


Cleavage of the vesicular glutamate transporters under excitotoxic conditions.
Lobo, Andrea C, et al.
Neurobiology of Disease, 44, 292-303 (2011)
TPM3 and TPM4 gene products segregate to the postsynaptic region of central nervous system synapses.
Guven, K; Gunning, P; Fath, T
Bioarchitecture null
Interaction of NMDA receptors and L-type calcium channels during early odor preference learning in rats.
Jerome, David, et al.
The European Journal of Neuroscience, 36, 3134-3141 (2012)



全球贸易项目编号

货号GTIN
AB154304053252331008