跳转至内容
Merck
CN

AB1543P

抗突触素I抗体

Chemicon®, from rabbit

别名:

Synapsin-1

登录 查看组织和合同定价。

选择尺寸

变更视图

关于此项目

UNSPSC Code:
12352203
NACRES:
NA.41
eCl@ss:
32160702
Conjugate:
unconjugated
Clone:
polyclonal
Application:
ELISA, ICC, IHC (p), IP, WB
Citations:
86
技术服务
需要帮助?我们经验丰富的科学家团队随时乐意为您服务。
让我们为您提供帮助


biological source

rabbit

Quality Level

conjugate

unconjugated

antibody form

affinity purified immunoglobulin

antibody product type

primary antibodies

clone

polyclonal

species reactivity

human, mouse, rat, bovine

manufacturer/tradename

Chemicon®

technique(s)

ELISA: suitable, immunocytochemistry: suitable, immunohistochemistry (formalin-fixed, paraffin-embedded sections): suitable, immunoprecipitation (IP): suitable, western blot: suitable

NCBI accession no.

UniProt accession no.

shipped in

dry ice

target post-translational modification

unmodified

Gene Information

human ... SYN1(6853)

General description

77 & 80 kDa
突触蛋白是一个蛋白质家族,长期以来一直参与突触中神经递质释放的调节。具体而言,它们被认为参与调节可在任何时候通过胞吐作用释放的突触小泡的数量。突触蛋白由三个不同的基因编码,突触蛋白I,II和III,不同的神经元末端将编码不同数量的突触蛋白。突触素在任何时候都将占总脑蛋白的1%。
目前的研究表明,突触素的作用具有以下假设:突触素将突触小泡与细胞骨架的成分结合,从而阻止它们迁移到突触前膜并释放递质。在动作电位期间,突触蛋白被Ca2+/钙调蛋白依赖性蛋白激酶II磷酸化,释放突触小泡,使其移动到膜上并释放其神经递质。

Immunogen

从牛脑中纯化的突触素I(Ia & Ib的混合物)。

Application

研究子类别
突触&突触生物学
研究类别
神经科学
蛋白质印迹:
使用先前批次的1:200-1:1,000稀释液。

免疫细胞化学:
使用先前批次的1:500-1:2,000稀释液。

免疫沉淀:
从200 μg大鼠脑蛋白的SDS匀浆中提取1 μg先前批次的突触素I免疫沉淀全部。

注:以上稀释液均用35S-蛋白A;使用ECL时,可能需要更高的稀释度才能获得特异性免疫标记。

免疫组织化学:
1:500-1:2,500

ELISA:
1:2,500-1:10,00

最佳工作稀释度必须由最终用户确定。
该抗突触素I抗体经验证可用于ELISA,IC,IH,IH(P),IP,WB中检测突触素I。

Biochem/physiol Actions

突触素I(Mr 80,000和77,000)。突触素仅位于脑神经末梢,是突触的极佳标记。免疫标记被突触素I预先吸附抗体所阻断。

Physical form

免疫亲和纯化
形式:纯化
纯化的兔多克隆抗体溶于5 mM碳酸氢盐铵冻干的缓冲液中。用50 μL PBS复溶。

Preparation Note

自收到之日起在-20ºC可稳定保存1年。

Analysis Note

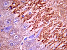
免疫组化(石蜡):
大鼠海马神经元中突触蛋白(AB1543P)的代表性染色模式/形态。组织用枸橼酸(pH 6.0),抗原回收预处理。使用带有HRP-DAB的IHC-Select试剂,将该批次抗体稀释成1:1000。 免疫反应性与神经元胞体末端直接相关。
IHC-石蜡染色及抗原表位修复:
大鼠海马
对照
脑组织。

Other Notes

替代品:MAB355
浓度:请参考批次特异性浓缩物的检验报告。

Legal Information

CHEMICON is a registered trademark of Merck KGaA, Darmstadt, Germany

Disclaimer

除非我们的产品目录或产品附带的其他公司文档另有说明,否则我们的产品仅供研究使用,不得用于任何其他目的,包括但不限于未经授权的商业用途、体外诊断用途、离体或体内治疗用途或任何类型的消费或应用于人类或动物。


Still not finding the right product?

Explore all of our products under 抗突触素I抗体

或者

试用我们的 产品选型工具 工具缩小选择范围


存储类别

11 - Combustible Solids

wgk

WGK 1



分析证书(COA)

输入产品批号来搜索 分析证书(COA) 。批号可以在产品标签上"批“ (Lot或Batch)字后找到。

已有该产品?

在文件库中查找您最近购买产品的文档。

访问文档库



M P Cid et al.
Neuroscience, 189, 337-344 (2011-06-04)
We previously found that the glutamate release was decreased in synaptosomes from rat cerebral cortex during the development of experimental autoimmune encephalomyelitis (EAE), the animal model of multiple sclerosis. Various other reports have shown a deficit in the expression of
LRRTMs and neuroligins bind neurexins with a differential code to cooperate in glutamate synapse development.
Siddiqui TJ, Pancaroglu R, Kang Y, Rooyakkers A, Craig AM
The Journal of Neuroscience null
Ling Li et al.
PloS one, 5(7), e11503-e11503 (2010-07-17)
Proper function of the mammalian brain relies on the establishment of highly specific synaptic connections among billions of neurons. To understand how complex neural circuits function, it is crucial to precisely describe neuronal connectivity and the distributions of synapses to



全球贸易项目编号

货号GTIN
AB1543P04053252323324