跳转至内容
Merck
CN

AB2219

抗水通道蛋白1抗体

1.0 mg/mL, Chemicon®

别名:

Aquaporin-1, AQP-1, Aquaporin-CHIP, Water channel protein for red blood cells and kidney proximal tubule

登录 查看组织和合同定价。

选择尺寸

变更视图

关于此项目

UNSPSC Code:
12352203
NACRES:
NA.41
eCl@ss:
32160702
Conjugate:
unconjugated
Clone:
polyclonal
Application:
IHC, WB
Citations:
37
技术服务
需要帮助?我们经验丰富的科学家团队随时乐意为您服务。
让我们为您提供帮助


biological source

rabbit

Quality Level

conjugate

unconjugated

antibody form

affinity purified immunoglobulin

antibody product type

primary antibodies

clone

polyclonal

purified by

affinity chromatography

species reactivity

rat, mouse, human

species reactivity (predicted by homology)

sheep (based on 100% sequence homology), bovine (based on 100% sequence homology), primate (based on 100% sequence homology)

manufacturer/tradename

Chemicon®

concentration

1.0 mg/mL

technique(s)

immunohistochemistry: suitable, western blot: suitable

NCBI accession no.

UniProt accession no.

shipped in

wet ice

target post-translational modification

unmodified

Gene Information

human ... AQP1(358)

General description

28 kDa
水通道蛋白1是一种完整的膜蛋白,最初在红细胞和肾近端小管中鉴定。AQP1也由脉络丛和各种其他组织表达。它形成水特异性通道,为红细胞和肾脏近端小管的质膜提供对水的高渗透性,从而使水沿渗透梯度的方向移动。

Immunogen

与大鼠水通道蛋白1的拓扑结构域相对应的KLH偶联的线性肽。
表位:拓扑结构域

Application

抗水通道蛋白1抗体可检测水通道蛋白1水平 & 已出版 & 并经过验证可用于ELISA、WB、IH。
研究子类别
发育信号转导
研究类别
神经科学
蛋白质印迹:1-10 μg/mL,使用化学发光技术。免疫印迹显示两个条带,一个较低的28 kDa条带对应于未糖基化形式,一个较高的高分子35-60 kDa糖基化成分(Denker et al.1988;Smith& Agre 1991)。我们建议在全部一抗/二抗-酶偶联物孵育中使用0.5-1.0%牛奶,以抑制非特异性条带。
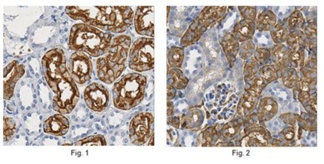
免疫组织化学分析:来自代表性批次的1:2,000稀释液在人肾脏和小鼠肾脏组织中检测到水通道蛋白1。

Physical form

免疫亲和纯化
在含 0.1 M Tris-甘氨酸(pH 7.4),150 mM NaCl 和 0.05% 叠氮化钠的缓冲液中的纯化的兔多克隆抗体。

Preparation Note

自收到之日起,在 2-8° 以未稀释的等分试样可保存 1 年。

Analysis Note

通过蛋白质印迹在人肾组织裂解液中进行了评估。

蛋白质印迹分析:2.0 µg/mL的该抗体在10 µg人肾组织裂解液中检测到水通道蛋白1。

Other Notes

替代品:AB3065

Legal Information

CHEMICON is a registered trademark of Merck KGaA, Darmstadt, Germany

Disclaimer

除非我们的产品目录或产品附带的其他公司文档另有说明,否则我们的产品仅供研究使用,不得用于任何其他目的,包括但不限于未经授权的商业用途、体外诊断用途、离体或体内治疗用途或任何类型的消费或应用于人类或动物。


Still not finding the right product?

Explore all of our products under 抗水通道蛋白1抗体

或者

试用我们的 产品选型工具 工具缩小选择范围


存储类别

12 - Non Combustible Liquids

wgk

WGK 1

flash_point_f

Not applicable

flash_point_c

Not applicable



分析证书(COA)

输入产品批号来搜索 分析证书(COA) 。批号可以在产品标签上"批“ (Lot或Batch)字后找到。

已有该产品?

在文件库中查找您最近购买产品的文档。

访问文档库



The mouse C2C12 myoblast cell surface N-linked glycoproteome: identification, glycosite occupancy, and membrane orientation.
Gundry, RL; Raginski, K; Tarasova, Y; Tchernyshyov, I; Bausch-Fluck, D; Elliott et al.
Molecular and Cellular Proteomics null
A new AQP1 null allele identified in a Gypsy woman who developed an anti-CO3 during her first pregnancy.
Saison, C; Peyrard, T; Landre, C; Ballif, BA; Schlosser, KA; Dettori, I; Chicheportiche et al.
Vox Sanguinis null
null



全球贸易项目编号

货号GTIN
AB221904053252274879