跳转至内容
Merck
CN

AB2233

Anti-Galanin Antibody

serum, from rabbit

别名:

galanin prepropeptide, galanin-message-associated peptide, galanin-related peptide

登录 查看组织和合同定价。

选择尺寸

变更视图

关于此项目

UNSPSC Code:
12352203
NACRES:
NA.41
eCl@ss:
32160702
Conjugate:
unconjugated
Clone:
polyclonal
Application:
IHC
Citations:
3
技术服务
需要帮助?我们经验丰富的科学家团队随时乐意为您服务。
让我们为您提供帮助


biological source

rabbit

Quality Level

conjugate

unconjugated

antibody form

serum

antibody product type

primary antibodies

clone

polyclonal

species reactivity

rat

species reactivity (predicted by homology)

mouse, boar, human

technique(s)

immunohistochemistry: suitable (paraffin)

NCBI accession no.

UniProt accession no.

shipped in

wet ice

target post-translational modification

unmodified

Gene Information

human ... GAL(51083)

General description

13.3 kDa
Galanin is a neuropeptide which is not a member of any known family of neuropeptides, despite repeated efforts to discover related peptides. Its actions are mediated via Gi-protein-coupled receptors (GPCR’s) and ion channels, usually producing inhibition of secretion of a transmitter or hormone in the nervous and endocrine system. In many respects, these inhibitory actions of galanin remind us of those of gamma-aminobutyric acid (GABA) and of neuropeptide Y (NPY). Galanin coexists with GABA, noradrenaline, 5-hydroxytryptamine (5-HT), and NPY in several regions of the brain. Galanin and it’s receptor are over expressed in limbic region of the brain in patients suffering from Alzheimer′s disease. However it is not clear whether galanin exacerbates or is a protective response to the disease.

Immunogen

Synthetic Linear Peptide

Application

Detect Galanin using this Anti-Galanin Antibody validated for use in IH(P).
Research Category
Neuroscience
Research Sub Category
Neurochemistry & Neurotrophins

Biochem/physiol Actions

Cat. # AB2233 recognizes Galanin
Reactivity with other species has not been determined.

Physical form

Serum with 0.05% NaN3

Preparation Note

Maintain at -20°C for up to 1 year from date of receipt.

Analysis Note

Control
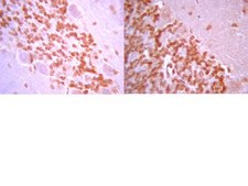
Rat Cerebellum Tissue
Routinely evaluated by Immunhistochemistry on rat cerebellum tissue.

Disclaimer

Unless otherwise stated in our catalog or other company documentation accompanying the product(s), our products are intended for research use only and are not to be used for any other purpose, which includes but is not limited to, unauthorized commercial uses, in vitro diagnostic uses, ex vivo or in vivo therapeutic uses or any type of consumption or application to humans or animals.


Still not finding the right product?

Explore all of our products under

或者

试用我们的 产品选型工具 工具缩小选择范围


存储类别

10 - Combustible liquids

wgk

WGK 1



分析证书(COA)

输入产品批号来搜索 分析证书(COA) 。批号可以在产品标签上"批“ (Lot或Batch)字后找到。

已有该产品?

在文件库中查找您最近购买产品的文档。

访问文档库



Joanna L Elson et al.
Neurotoxicity research, 34(1), 16-31 (2017-12-09)
Parkinson's disease (PD) is conventionally seen as resulting from single-system neurodegeneration affecting nigrostriatal dopaminergic neurons. However, accumulating evidence indicates multi-system degeneration and neurotransmitter deficiencies, including cholinergic neurons which degenerate in a brainstem nucleus, the pedunculopontine nucleus (PPN), resulting in motor
Marta Gańko et al.
Journal of molecular neuroscience : MN, 54(2), 188-198 (2014-03-20)
The main goal of our research was to study the possible alterations of the chemical coding of the dorsal motor vagal nucleus (DMX) neurons projecting to the porcine stomach prepyloric region following prolonged acetylsalicylic acid supplementation. Fast Blue (FB) was



全球贸易项目编号

货号GTIN
AB223304053252321740