跳转至内容
Merck
CN

AB2255

抗-GABA B受体R2抗体

serum, from guinea pig

别名:

G protein-coupled receptor 51, G-protein coupled receptor 51, GABA-B receptor 2, gamma-aminobutyric acid (GABA) B receptor, 2, gamma-aminobutyric acid B receptor, 2, GABA-B-R2, GABA(B)R2

登录 查看组织和合同定价。

选择尺寸

变更视图

关于此项目

UNSPSC Code:
12352203
NACRES:
NA.41
eCl@ss:
32160702
Conjugate:
unconjugated
Clone:
polyclonal
Application:
IHC, WB
Citations:
4
技术服务
需要帮助?我们经验丰富的科学家团队随时乐意为您服务。
让我们为您提供帮助


biological source

guinea pig

Quality Level

conjugate

unconjugated

antibody form

serum

antibody product type

primary antibodies

clone

polyclonal

species reactivity

rhesus macaque, rat

species reactivity (predicted by homology)

canine (based on 100% sequence homology), bovine (based on 100% sequence homology), human (based on 100% sequence homology), horse (based on 100% sequence homology), rhesus monkey (based on 100% sequence homology), chimpanzee (based on 100% sequence homology), mouse (based on 100% sequence homology)

technique(s)

immunohistochemistry: suitable, western blot: suitable

NCBI accession no.

UniProt accession no.

shipped in

wet ice

target post-translational modification

unmodified

Gene Information

human ... GABBR2(9568)

General description

尽管在计算的105 kDa分子量周围观察到一条条带,但由于该条带与存在的其他非特异性条带相比较弱,因此该抗体不推荐使用蛋白质印迹法。
γ-氨基丁酸(GABA)是哺乳动物中枢神经紧张的系统中主要的抑制性神经递质。GABA通过离子型[GABA(A/C)]受体发挥其作用,以产生快速的突触抑制,而代谢型[GABA(B)]受体则产生缓慢,延长的抑制信号。GABA(B)受体由两个相关的7跨膜受体GABA(B)受体1和GABA(B)受体2的异二聚体组成。GABA(B)受体1基因被定位到靠近HLA-F基因的HLA I类区域内的染色体6p21.3。多发性硬化、癫痫和精神分裂症的易感基因座也已定位于该区域。该基因的可变剪接产生4个转录物变体。

Immunogen

在大鼠GABA-B-R2的C末端的牛甲状腺球蛋白偶联的线性肽。

Application

抗GABAB受体R2抗体是用于IH & WB的抗GABAB受体R2的抗体。

Biochem/physiol Actions

该抗体可识别大鼠GABA-B-R2的C端。

Analysis Note

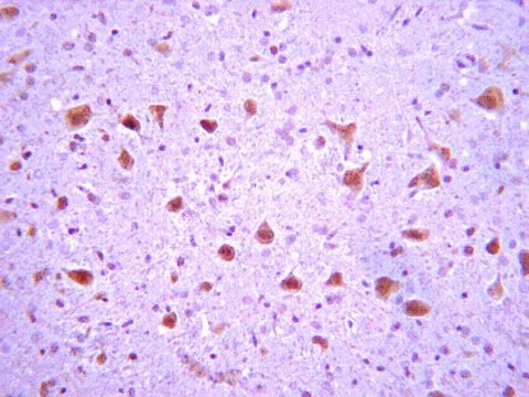
对照
大鼠中脑区的浦肯野细胞
通过免疫组化对大鼠中脑区浦肯野细胞进行了评估。

免疫组化分析: 该抗体的1:300稀释液在大鼠中脑区域的浦肯野细胞中检测到GABA-B-R2。

Other Notes

替代品:AB5394


Still not finding the right product?

试用我们的 产品选型工具 工具缩小选择范围


存储类别

12 - Non Combustible Liquids

wgk

WGK 1

flash_point_f

Not applicable

flash_point_c

Not applicable



分析证书(COA)

输入产品批号来搜索 分析证书(COA) 。批号可以在产品标签上"批“ (Lot或Batch)字后找到。

已有该产品?

在文件库中查找您最近购买产品的文档。

访问文档库



Yupeng Miao et al.
Nature communications, 12(1), 4518-4518 (2021-07-28)
Multiplexed optical imaging provides holistic visualization on a vast number of molecular targets, which has become increasingly essential for understanding complex biological processes and interactions. Vibrational microscopy has great potential owing to the sharp linewidth of vibrational spectra. In 2017
Francisco Ciruela et al.
The European journal of neuroscience, 32(8), 1265-1277 (2010-09-18)
The stimulation of inhibitory neurotransmitter receptors, such as γ-aminobutyric acid type B (GABA(B) ) receptors, activates G protein-gated inwardly-rectifying K(+) (GIRK) channels, which influence membrane excitability. There is now evidence suggesting that G protein-coupled receptors and G protein-gated inwardly-rectifying K(+)
Chuanyin Hu et al.
Molecular medicine reports, 15(2), 975-980 (2016-12-31)
Chemotherapeutic drugs commonly induce peripheral neuropathic pain, which limit their clinic use. In the present study, the effect of fucoidan on the development of vincristine‑induced neuropathic pain was evaluated and the underlying mechanism was examined. A neuropathy model was established



全球贸易项目编号

货号GTIN
AB225504053252409790