跳转至内容
Merck
CN

AB2301

抗钙结合蛋白抗体

from rabbit, purified by affinity chromatography

别名:

Calnexin, IP90, Major histocompatibility complex class I antigen-binding protein p88, p90

登录 查看组织和合同定价。

选择尺寸

变更视图

关于此项目

UNSPSC Code:
12352203
NACRES:
NA.41
eCl@ss:
32160702
Conjugate:
unconjugated
Clone:
polyclonal
Application:
ICC, IHC, WB
Citations:
8
技术服务
需要帮助?我们经验丰富的科学家团队随时乐意为您服务。
让我们为您提供帮助


biological source

rabbit

Quality Level

conjugate

unconjugated

antibody form

affinity isolated antibody

antibody product type

primary antibodies

clone

polyclonal

purified by

affinity chromatography

species reactivity

mouse, rat, human, horse, pig

species reactivity (predicted by homology)

equine (based on 100% sequence homology), rhesus macaque (based on 100% sequence homology), chimpanzee (based on 100% sequence homology), bovine (based on 100% sequence homology), porcine (based on 100% sequence homology)

packaging

antibody small pack of 25 μL

technique(s)

immunocytochemistry: suitable, immunohistochemistry: suitable (paraffin), western blot: suitable

NCBI accession no.

UniProt accession no.

shipped in

wet ice

target post-translational modification

unmodified

Gene Information

human ... CANX(821)

General description

观测值〜70 kDa
钙联蛋白是在 ER 跨膜中发现的 Ca ++ 结合蛋白,其与在新合成的蛋白上发现的特定的 n-连接的寡糖结合。钙联蛋白与 ER 膜磷酸糖蛋白、信号序列受体 SSRμ 结合,并已被确定为与主要组织相容性复合物(MHC)I 类重链结合,以及在组装这些多聚体复合物之前与 T 细胞受体和膜免疫球蛋白结合的 ER 蛋白。因此,钙联蛋白可以代表一种 ER 膜中的分子伴侣,其对新转移至 ER 的不完全折叠的寡聚膜蛋白具有选择性。

Immunogen

KLH 偶联的线性肽,对应于人钙联蛋白的 C 末端。
表位:C端

Application

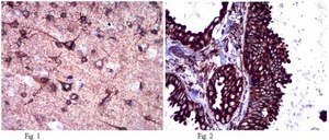
免疫细胞化学分析: 一个代表性批次以 1:500 的稀释度在 NIH/3T3 细胞中检测到钙联蛋白。

免疫组化分析:一个代表性批次以 1:1,000-2,000 的稀释度在人脑和前列腺组织中检测到了钙联蛋白。
抗钙联蛋白抗体是针对钙联蛋白的抗体,用于WB,IC,IH(P)。
研究子类别
发育神经科学
研究类别
神经科学

Biochem/physiol Actions

该抗体识别钙联蛋白的 C 端。

Physical form

亲和纯化
在含 0.1 M Tris-甘氨酸(pH 7.4),150 mM NaCl 和 0.05% 叠氮化钠的缓冲液中的纯化的兔多克隆抗体。

Preparation Note

自收到之日起,在 2-8°C 条下可稳定保存 1 年。

Analysis Note

对照
人脑组织裂解液
通过蛋白质印迹在人脑组织裂解物中进行了评估。

蛋白质印迹分析:该抗体以 1:10,000 的稀释度在 10 µg 人脑组织裂解液中检测到钙联蛋白。

Other Notes

浓度:请参考批次特异性浓缩物的分析证书。

Disclaimer

除非我们的产品目录或产品附带的其他公司文档另有说明,否则我们的产品仅供研究使用,不得用于任何其他目的,包括但不限于未经授权的商业用途、体外诊断用途、离体或体内治疗用途或任何类型的消费或应用于人类或动物。


Still not finding the right product?

试用我们的 产品选型工具 工具缩小选择范围


存储类别

12 - Non Combustible Liquids

wgk

WGK 1

flash_point_f

Not applicable

flash_point_c

Not applicable

法规信息

常规特殊物品
低风险生物材料

此项目有



分析证书(COA)

输入产品批号来搜索 分析证书(COA) 。批号可以在产品标签上"批“ (Lot或Batch)字后找到。

已有该产品?

在文件库中查找您最近购买产品的文档。

访问文档库



Carly N Logan et al.
Psychopharmacology, 237(7), 2007-2018 (2020-05-10)
The beta-lactam antibiotic ceftriaxone reliably attenuates the reinstatement of cocaine seeking. While the restoration of nucleus accumbens core (NA core) GLT-1 expression is necessary for ceftriaxone to attenuate reinstatement, AAV-mediated GLT-1 overexpression is not sufficient to attenuate reinstatement and does
Adela S Oliva Chávez et al.
Nature communications, 12(1), 3696-3696 (2021-06-19)
Extracellular vesicles are thought to facilitate pathogen transmission from arthropods to humans and other animals. Here, we reveal that pathogen spreading from arthropods to the mammalian host is multifaceted. Extracellular vesicles from Ixodes scapularis enable tick feeding and promote infection
Caroline M Gorvin et al.
JCI insight, 2(3), e91103-e91103 (2017-02-15)
Heterozygous germline gain-of-function mutations of G-protein subunit α11 (Gα11), a signaling partner for the calcium-sensing receptor (CaSR), result in autosomal dominant hypocalcemia type 2 (ADH2). ADH2 may cause symptomatic hypocalcemia with low circulating parathyroid hormone (PTH) concentrations. Effective therapies for



全球贸易项目编号

货号GTIN
AB2301-25UL04054839337758