跳转至内容
Merck
CN

AB5405

抗视蛋白抗体,红色/绿色

Chemicon®, from rabbit

别名:

Anti-CBBM, Anti-CBP, Anti-COD5, Anti-RCP, Anti-ROP

登录 查看组织和合同定价。

选择尺寸

变更视图

关于此项目

UNSPSC Code:
12352203
NACRES:
NA.41
eCl@ss:
32160702
Conjugate:
unconjugated
Clone:
polyclonal
Application:
IHC
Citations:
236
技术服务
需要帮助?我们经验丰富的科学家团队随时乐意为您服务。
让我们为您提供帮助


biological source

rabbit

Quality Level

conjugate

unconjugated

antibody form

purified antibody

antibody product type

primary antibodies

clone

polyclonal

species reactivity

mouse

manufacturer/tradename

Chemicon®

technique(s)

immunohistochemistry: suitable (paraffin)

NCBI accession no.

UniProt accession no.

shipped in

wet ice

target post-translational modification

unmodified

Gene Information

human ... OPN1LW(5956)

General description

长波敏感视蛋白1/中波敏感视蛋白1(UniProt:P04000/P04001;也称为红色视锥细胞感光色素/绿色视锥细胞感光色素、红色敏感视蛋白/绿色敏感视蛋白、ROP/GOP)是由人类OPN1LW/OPN1MW(也称为RCP/GCP)基因(基因ID:5956/2652)所编码的。人类的全部颜色辨别是基于三种视锥细胞感光器的存在和功能。每种视锥类型都具有由11-顺式视黄醛和独特的视蛋白组成的光敏色素-蛋白复合物,其在光谱的短波长(S视锥,峰值灵敏度约为420 nm),中波长(M视锥,峰值灵敏度约为530 nm,具有多态性)和长波长(L视锥,峰值灵敏度约为560 nm,具有多态性)下都具有灵敏度。视蛋白是多次跨膜蛋白,属于G蛋白偶联受体1家族。它们由四个细胞外域、七个螺旋域和四个细胞质域组成。三种类型的视锥蛋白和视杆感光视紫红质基因的基因似乎是同源的,具有不同的保守程度。最强的保守性在X染色体上的中波长(绿色)和长(红色)波长敏感色素之间,表明相对较新的复制/发散事件。S视锥细胞(蓝色)的视蛋白似乎与视紫红质更守恒。人的视锥细胞光受体分布主要由M和L视锥色素控制。已知OPN1MW和OPN1LW基因的突变会导致色盲,其特征是红绿色混淆的二色性,但不损失亮度,光谱也未偏移或缩短。一些突变还会导致视锥营养不良,导致视锥感光细胞进行性退化,而杆细胞功能得到一定程度的保留。(参考文献:Neitz, M., and Neitz, J. (2000).Arch.Ophthalmol.118(5); 691-700)。

Immunogen

全长重组人红/绿视蛋白。
重组人红/绿视蛋白。

Application

抗红/绿视蛋白(货号AB5405)是一种兔多克隆抗体,可检测红/绿视蛋白,并且经测试可用于免疫组织化学实验(石蜡切片)。

Biochem/physiol Actions

小鼠。 与其他物种的反应性尚未确定
这种兔多克隆抗体可检测红色敏感视蛋白/绿色敏感视蛋白。

Physical form

形式:纯化
纯化的兔多克隆抗体,溶于含有0.02 M磷酸盐缓冲液(pH 7.6)、0.25 M NaCl和0.1%叠氮化钠的缓冲液中。

Preparation Note

建议储存:+2°C至+8°C。

Analysis Note

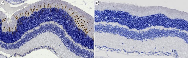
通过免疫组织化学(石蜡)评价小鼠视网膜组织切片。免疫组织化学(石蜡)分析:该抗体的1:250稀释液在大鼠肾脏组织切片中检测到红/绿视蛋白。

Other Notes

浓度:请参考批次特异性浓缩物的分析证书。

Legal Information

CHEMICON is a registered trademark of Merck KGaA, Darmstadt, Germany


Still not finding the right product?

Explore all of our products under 抗视蛋白抗体,红色/绿色

或者

试用我们的 产品选型工具 工具缩小选择范围


存储类别

12 - Non Combustible Liquids

wgk

WGK 2

flash_point_f

Not applicable

flash_point_c

Not applicable



分析证书(COA)

输入产品批号来搜索 分析证书(COA) 。批号可以在产品标签上"批“ (Lot或Batch)字后找到。

已有该产品?

在文件库中查找您最近购买产品的文档。

访问文档库



Rescue of retinal degeneration by intravitreally injected adult bone marrow-derived lineage-negative hematopoietic stem cells.
Otani, Atsushi, et al.
The Journal of Clinical Investigation, 114, 765-774 (2004)
Unique photoreceptor arrangements in a fish with polarized light discrimination.
Novales Flamarique I
The Journal of Comparative Neurology null
In vivo and in vitro development of S- and M-cones in rat retina.
Arango-Gonzalez, B; Szabo, A; Pinzon-Duarte, G; Lukats, A; Guenther, E; Kohler, K
Investigative Ophthalmology & Visual Science null



全球贸易项目编号

货号GTIN
AB540504053252275609