biological source
rabbit
Quality Level
conjugate
unconjugated
antibody form
affinity isolated antibody
antibody product type
primary antibodies
clone
polyclonal
purified by
affinity chromatography
species reactivity
human
manufacturer/tradename
Chemicon®
technique(s)
immunohistochemistry: suitable, western blot: suitable
NCBI accession no.
UniProt accession no.
shipped in
wet ice
target post-translational modification
unmodified
Gene Information
human ... BACE1(23621)
General description
70 kDa
Alzheimer′s disease (AD) is characterized by the progressive formation in the brain of insoluble amyloid plaques and vascular deposits consisting of the 4-kD amyloid b-peptide (Ab). Ab generation is initiated by proteolytic cleavage of the amyloid precursor protein (APP) at the N-terminal of Ab by b-secretase. The Ab peptide is then released by proteolytic cleavage at its C-terminus by g-secretase. Because both these proteases are prime candidates for therapeutic intervention, an intense search has been underway to identify these two enzymes.A human transmembrane aspartic-protease (Asp2), referred to as BACE, has been characterized and shown to have all the properties of b-secretase. Four groups in all have now confirmed that BACE (or Asp2) is a convincing candidate for b-secretase.
BACE is an N-glycosylated integral membrane aspartyl protease with Mr=70 kDa. Mature BACE is produced from the immature form through a series of post-translational proteolytic cleavages and glycosylation. Sequence analysis has revealed that the immature form of BACE contains an N-terminal signal sequence (residues 1-21) followed by a large catalytic domain, a single transmembrane domain (residues 461-477), and a short cytoplasmic domain (residues 478-501). The signal sequence (1-21) is cleaved from the immature form by a signal peptidase located in the endoplasmic reticulum (ER), yielding the proBACE protein (Mr=75 kDa) which starts at residue 22. The proBACE protein is modified by cleavage of 24 N-terminal residues (aa 22-45), producing the mature BACE protein.
BACE is an N-glycosylated integral membrane aspartyl protease with Mr=70 kDa. Mature BACE is produced from the immature form through a series of post-translational proteolytic cleavages and glycosylation. Sequence analysis has revealed that the immature form of BACE contains an N-terminal signal sequence (residues 1-21) followed by a large catalytic domain, a single transmembrane domain (residues 461-477), and a short cytoplasmic domain (residues 478-501). The signal sequence (1-21) is cleaved from the immature form by a signal peptidase located in the endoplasmic reticulum (ER), yielding the proBACE protein (Mr=75 kDa) which starts at residue 22. The proBACE protein is modified by cleavage of 24 N-terminal residues (aa 22-45), producing the mature BACE protein.
Application
This Anti-BACE Antibody, C-terminus is validated for use in WB, IH for the detection of BACE.
Western blot on COS7 transfected cells. The antibody recognizes a band of ~70-75 kDa. It also recognizes a band at ~45 kDa.
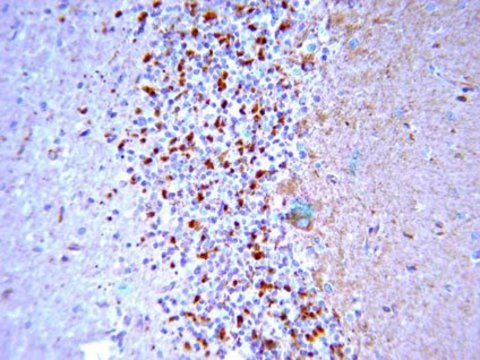
Immunohistochemistry on rat and monkey.
Optimal working dilutions must be determined by end user.
Immunohistochemistry on rat and monkey.
Optimal working dilutions must be determined by end user.
Biochem/physiol Actions
BACE (beta-site APP Cleaving Enzyme).
Analysis Note
Control
Tested on human brain tissue lysate.
Tested on human brain tissue lysate.
Legal Information
CHEMICON is a registered trademark of Merck KGaA, Darmstadt, Germany
Still not finding the right product?
试用我们的 产品选型工具 工具缩小选择范围
存储类别
12 - Non Combustible Liquids
wgk
WGK 1
flash_point_f
Not applicable
flash_point_c
Not applicable
相关内容
Alzheimer’s Disease: Amyloid Cascade and Beyond Product Focus
Shengliang Li et al.
Molecular therapy. Nucleic acids, 1, e20-e20 (2013-01-25)
The fluorescent quantum dots (QDs) delivered small interfering RNAs (siRNAs) targeting β-secretase (BACE1) to achieve high transfection efficiency of siRNAs and reduction of β-amyloid (Aβ) in nerve cells. The CdSe/ZnS QDs with the conjugation of amino-polyethylene glycol (PEG) were synthesized.
Michela Guglielmotto et al.
Journal of neurochemistry, 108(4), 1045-1056 (2009-02-07)
While it is well established that stroke and cerebral hypoperfusion are both significant risk factors for Alzheimer's disease, the molecular link between ischemia and amyloid precursor protein processing has only been recently established. Specifically, hypoxia significantly increases beta-site APP cleaving
Ju-Fang Huang et al.
BMC complementary and alternative medicine, 12, 189-189 (2012-10-23)
Our previous studies indicated that oxidative stress up-regulated the expression of β-amyloid precursor protein cleavage enzyme-1 (BACE1) in rat retina. Pharmacological reports have shown Timosaponin-BII, a purified extract originating from Chinese medical herb Rhizoma Anemarrhenae, is characterized as an antioxidant.
全球贸易项目编号
| 货号 | GTIN |
|---|---|
| AB5940 | 04053252471674 |