跳转至内容
Merck
CN

AB6004

Anti-MT1-MMP Antibody, hinge region

from rabbit, purified by affinity chromatography

别名:

MT-MMP 1, Membrane-type matrix metalloproteinase 1, Membrane-type-1 matrix metalloproteinase, matrix metallopeptidase 14 (membrane-inserted), matrix metalloproteinase 14, matrix metalloproteinase 14 (membrane-inserted), membrane type 1 metalloprotease

登录 查看组织和合同定价。

选择尺寸

变更视图

关于此项目

UNSPSC Code:
12352203
NACRES:
NA.41
eCl@ss:
32160702
Conjugate:
unconjugated
Clone:
polyclonal
Application:
IHC, WB
Citations:
25
技术服务
需要帮助?我们经验丰富的科学家团队随时乐意为您服务。
让我们为您提供帮助


biological source

rabbit

Quality Level

conjugate

unconjugated

antibody form

affinity isolated antibody

antibody product type

primary antibodies

clone

polyclonal

purified by

affinity chromatography

species reactivity

human, rat

technique(s)

immunohistochemistry: suitable (paraffin), western blot: suitable

UniProt accession no.

shipped in

wet ice

target post-translational modification

unmodified

Gene Information

human ... MMP14(4323)

General description

Matrix metalloproteinases (MMPs) are a family of secreted and membrane-bound zinc endopeptidases. Collectively, these enzymes degrade the components of extracellular matrix, including fibrillar and non-fibrillar collagens, fibronectin, laminin and basement membrane glycoproteins. MMPs play an important role in wound healing, apoptosis, bone elongation, embryo development, angiogenesis, cancer metastases, and tissue remodeling within many disease states.
Most MMP′s are secreted as inactive proproteins which are activated when cleaved by extracellular proteinases. However, MT1-MMP (MMP-14) is a member of the membrane-type subfamily. Each member of this subfamily contains a potential transmembrane domain suggesting that these proteins are expressed at the cell surface rather than secreted. MT1-MMP is capable of mediating pericellular proteolysis of extracellular matrix components and is therefore thought to be an important molecular tool for cellular remodeling of the surrounding matrix. This protein also activates MMP2 protein, and this activity may be involved in tumor invasion.
~ 65 kDa

Immunogen

KLH conjugated synthetic peptide selected from the hinge region of human MT1-MMP.

Application

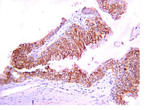
Detect MT1-MMP using this Anti-MT1-MMP Antibody, hinge region validated for use in WB, IH(P).

Biochem/physiol Actions

Predicted to cross react with mouse, (95% sequence homology) and monkey chimpanzee, canine and bovine (100% sequence homology). Reactivity with other species has not been tested.
The antibody recognizes human and rat MT1-MMP. It does not cross react with MMP-1, MMP-2, MMP-8, MMP-9, and MMP-13.

Analysis Note

Control
Rat lung lysate.
Evaluated on a representative lot by Western blot on rat lung lysate using Anti-MT1-MMP.

Other Notes

Concentration: Please refer to the Certificate of Analysis for the lot-specific concentration.
Replaces: AB815


Still not finding the right product?

试用我们的 产品选型工具 工具缩小选择范围


存储类别

12 - Non Combustible Liquids

wgk

WGK 1

flash_point_f

Not applicable

flash_point_c

Not applicable



分析证书(COA)

输入产品批号来搜索 分析证书(COA) 。批号可以在产品标签上"批“ (Lot或Batch)字后找到。

已有该产品?

在文件库中查找您最近购买产品的文档。

访问文档库



Yuko Matsuura-Hachiya et al.
Biochemistry and biophysics reports, 4, 180-186 (2015-09-21)
The renin-angiotensin system is known to be involved in skin remodeling and inflammation. Previously, we reported that ultraviolet B (UVB) irradiation enhanced angiotensin-converting enzyme (ACE) expression and angiotensin II levels in hairless mouse skin, and an ACE inhibitor, enalapril maleate
Survivin, MMP-2, MT1-MMP, and TIMP-2: their impact on survival, implantation, and proliferation of endometriotic tissues.
Ambrogio P Londero,Angelo Calcagno,Tiziana Grassi,Stefania Marzinotto,Maria Orsaria et al.
Virchows Archiv null
Membrane-type-3 matrix metalloproteinase (MT3-MMP) functions as a matrix composition-dependent effector of melanoma cell invasion.
Tatti, O; Arjama, M; Ranki, A; Weiss, SJ; Keski-Oja, J; Lehti, K
Testing null



全球贸易项目编号

货号GTIN
AB600404053252620157