跳转至内容
Merck
CN

AB9678

Anti-GABA A Receptor α 5 Antibody

Chemicon®, from rabbit

登录 查看组织和合同定价。

选择尺寸

变更视图

关于此项目

UNSPSC Code:
12352203
NACRES:
NA.41
eCl@ss:
32160702
Conjugate:
unconjugated
Clone:
polyclonal
Application:
WB
Citations:
19
技术服务
需要帮助?我们经验丰富的科学家团队随时乐意为您服务。
让我们为您提供帮助


biological source

rabbit

Quality Level

conjugate

unconjugated

antibody form

affinity purified immunoglobulin

antibody product type

primary antibodies

clone

polyclonal

purified by

affinity chromatography

species reactivity

rat, mouse

manufacturer/tradename

Chemicon®

technique(s)

western blot: suitable

NCBI accession no.

UniProt accession no.

shipped in

dry ice

target post-translational modification

unmodified

Gene Information

human ... GABRA5(2558)

Immunogen

Fusion protein from the Cytosolic loop of rat the GABAA Receptor alpha 5 subunit.

Application

Anti-GABA A Receptor α 5 Antibody is an antibody against GABA A Receptor α 5 for use in WB.

Biochem/physiol Actions

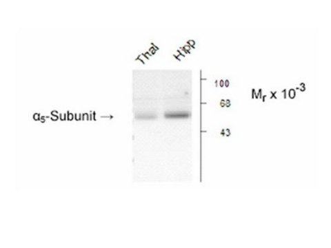
GABAA Receptor alpha 5 subunit. The antibody recognizes a protein of ~55 kDa corresponding to GABAA Receptor alpha 5 subunit in lysates from rat hippocampus and thalamus.

Legal Information

CHEMICON is a registered trademark of Merck KGaA, Darmstadt, Germany


Still not finding the right product?

试用我们的 产品选型工具 工具缩小选择范围


存储类别

10 - Combustible liquids

wgk

WGK 2



分析证书(COA)

输入产品批号来搜索 分析证书(COA) 。批号可以在产品标签上"批“ (Lot或Batch)字后找到。

已有该产品?

在文件库中查找您最近购买产品的文档。

访问文档库



Liang Li et al.
Frontiers in neurology, 12, 591223-591223 (2021-03-13)
Post-operative cognitive dysfunction (POCD) is a common complication during the post-operative period. It affects the recovery time of the patient after surgery and the stay time in hospital, which causes a great deal of burden to patients and families emotionally
Gene expression changes in GABA(A) receptors and cognition following chronic ketamine administration in mice.
Tan, S; Rudd, JA; Yew, DT
Testing null
George Gallos et al.
American journal of physiology. Lung cellular and molecular physiology, 308(9), L931-L942 (2015-02-11)
The clinical need for novel bronchodilators for the treatment of bronchoconstrictive diseases remains a major medical issue. Modulation of airway smooth muscle (ASM) chloride via GABAA receptor activation to achieve relaxation of precontracted ASM represents a potentially beneficial therapeutic option.



全球贸易项目编号

货号GTIN
AB967804053252511479