跳转至内容
Merck
CN

AB9714-I

抗-RAGE

from rabbit, purified by affinity chromatography

别名:

Advanced glycosylation end product-specific receptor, Receptor for advanced glycosylation end products, RAGE

登录 查看组织和合同定价。

选择尺寸

变更视图

关于此项目

UNSPSC Code:
12352203
NACRES:
NA.43
eCl@ss:
32160702
Clone:
polyclonal
Species reactivity:
mouse, rat
Application:
IHC, WB
Citations:
-
技术服务
需要帮助?我们经验丰富的科学家团队随时乐意为您服务。
让我们为您提供帮助


biological source

rabbit

Quality Level

antibody form

affinity isolated antibody

antibody product type

primary antibodies

clone

polyclonal

purified by

affinity chromatography

species reactivity

mouse, rat

species reactivity (predicted by homology)

human (based on 100% sequence homology)

technique(s)

immunohistochemistry: suitable (paraffin), western blot: suitable

NCBI accession no.

UniProt accession no.

shipped in

ambient

target post-translational modification

glycosylation

Gene Information

human ... AGER(177)

General description

晚期糖基化终产物特异性受体(UniProt:Q15109;也称为晚期糖基化终产物受体,RAGE)由人的AGER(也称为RAGE)基因编码(基因ID:177)。RAGE是一种单程I型膜蛋白,包含两个Ig样C2型结构域,一个Ig样V型结构域,一个21个氨基酸的跨膜结构域和一个41个氨基酸的胞质结构域。RAGE介导晚期糖基化终产物(AGE)的各种相互作用,晚期糖基化终产物是非酶促糖基化蛋白质,在衰老时在血管组织中积累,并加速在糖尿病积累。在诸如动脉粥样硬化和糖尿病并发症等疾病中,RAGE可作为急性和慢性血管炎症的介质。据报告,阻断RAGE可抑制动脉粥样硬化和血管疾病的发展。RAGE由内皮细胞、单核吞噬细胞、神经元和平滑肌细胞表达。在发育过程中,观察到RAGE的较高表达,特别是在中枢神经系统中,并且其水平在成熟过程中下降。除了与晚期糖基化终产物(AGE)结合外,RAGE还与淀粉样β肽,S100家族蛋白和白细胞整联蛋白结合。大脑中过量的淀粉样肽(Ab)会导致RAGE的过度刺激。RAGE-Ab相互作用被认为会导致氧化应激,从而导致神经元变性。
观察分子量为〜48 kDa;计算分子量为42.80 kDa。在某些裂解物中可以观察到未鉴定的条带。

Immunogen

KLH偶联的线性肽,对应人RAGE N末端区域的20个氨基酸。

Application

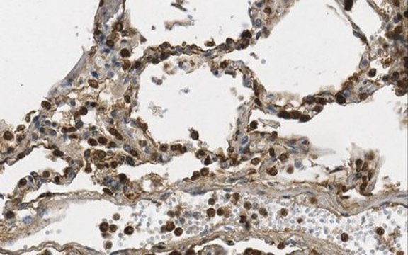
免疫组化分析:代表性批次的1:1,000的稀释液在人肺组织中检测到RAGE。
抗RAGE,目录号AB9714-I,是一种高度特异性的兔多克隆抗体,靶向晚期糖基化终产物特异性受体,并已在免疫组化(石蜡)和蛋白质印迹中进行了测试。
研究类别
神经科学

Biochem/physiol Actions

该多克隆抗体可检测晚期糖基化终产物的受体(RAGE)。该抗体靶向人RAGE N-末端区域中与21个氨基酸相对应的表位。人,小鼠和大鼠RAGE在该表位区域显示95%的同源性。

Physical form

亲和纯化
纯化的兔多克隆抗体,溶于含有0.1 M Tris-甘氨酸(pH 7.4)、150 mM NaCl和0.05%叠氮化钠的缓冲液中。

Preparation Note

自收到之日起,在 2-8°C 条件下可稳定保存1年

Analysis Note

通过蛋白质印迹在小鼠肺组织裂解物中进行了评估。

蛋白质印迹分析:2 µg/mL的该抗体在10 µg小鼠肺组织裂解物中检测到RAGE。


Other Notes

替代品:AB9714
浓度:请参考特定批次的数据表。

Disclaimer

除非我们的产品目录或产品附带的其他公司文档另有说明,否则我们的产品仅供研究使用,不得用于任何其他目的,包括但不限于未经授权的商业用途、体外诊断用途、离体或体内治疗用途或任何类型的消费或应用于人类或动物。


Still not finding the right product?

试用我们的 产品选型工具 工具缩小选择范围


存储类别

12 - Non Combustible Liquids

wgk

WGK 1



分析证书(COA)

输入产品批号来搜索 分析证书(COA) 。批号可以在产品标签上"批“ (Lot或Batch)字后找到。

已有该产品?

在文件库中查找您最近购买产品的文档。

访问文档库



全球贸易项目编号

货号GTIN
AB9714-I04054839167522